19 листопада, 2025
Вплив едоксабану на резолюцію тромбу та феномен спонтанного контрастування у вушку лівого передсердя в пацієнтів із фібриляцією передсердь
Фібриляція передсердь (ФП) – одна із найчастіших форм аритмій, що асоційована з високим ризиком тромбоемболічних ускладнень. Очікується, що поширеність ФП подвоїться протягом наступних кількох десятиліть унаслідок старіння населення, зростання тягаря супутніх захворювань, а також поліпшення обізнаності та імплементації нових технологій виявлення. Одним із підходів до лікування ФП є застосування прямих оральних антикоагулянтів (ПОАК), зокрема едоксабану. Проте його використання за персистуючої форми ФП і тромбу у вушку лівого передсердя (ВЛП) перед плановим відновленням синусового ритму шляхом електричної кардіоверсії (ЕКВ) потребує подальшого вивчення. Було проведене вітчизняне дослідження з метою оцінки ефективності ПОАК едоксабану в дозі 60 мг/добу протягом 4 і 12 тижнів у пацієнтів із персистуючою формою ФП щодо резолюції тромбу у ВЛП та зменшення феномена спонтанного контрастування (ФСК) 4+ за даними трансезофагеальної ехокардіографії (трЕхоКГ). Пропонуємо вам ознайомитися із результатами цього дослідження.
У 2024 р. були опубліковані рекомендації Європейського товариства кардіологів (ESC) у співпраці з Європейською асоціацією кардіоторакальної хірургії (EACTS) щодо менеджменту пацієнтів із ФП, сфокусовані на ранньому виявленні аритмії, персоніфікованій стратифікації тромбоемболічного ризику та перевагах антикоагулянтної терапії (АКТ) ПОАК. Новий багатоступеневий підхід AF-CARE поєднує скринінг і менеджмент коморбідності (C), профілактику інсульту (A), контроль симптомів (R) та динамічну повторну оцінку (E) [1]. Реалізація нового алгоритму в Україні дозволить знизити частоту інсультів, передчасної смертності та покращити якість життя пацієнтів.
Основною метою АКТ є профілактика нових тромбоутворень. У понад 90% випадків тромби при ФП утворюються у ВЛП. Виявлення тромбу або ФСК у вушку лівого передсердя значно ускладнює проведення кардіоверсії або абляції. Проте нові оральні антикоагулянти демонструють потенціал до сприяння ендогенному лізису вже наявних тромбів.
«Готовність» ВЛП до утворення тромбу залежить від його морфології. ВЛП має високий ступінь морфологічної варіабельності, причому форма та структура визначені як важливі фактори тромбоутворення. Варіанти анатомії ВЛП можуть впливати на вибір лікувальної тактики, особливо щодо методів профілактики тромбоемболічних ускладнень у пацієнтів із ФП. Пацієнти із формами ВЛП, котрі сприяють стазу крові, потребують більш ретельних (деталізованих) рішень щодо АКТ.
Виділяють чотири основні типові форми ВЛП («куряче крило», «вітровик», «кактус», «цвітна капуста»), які корелюють із різним рівнем застою крові та ризиком тромбоутворення. Варіант «куряче крило» вважається найбільш «безпечним» щодо тромбоутворення та зустрічається у 48‑50% пацієнтів. Особливістю морфологічного типу «кактус», який виявляється у 30% випадків, є вищий ризик тромбоутворення через наявність кількох заглиблень у вигляді кишень. У разі варіанта «вітровик», що характерна для 19‑23% хворих, широка, об’ємна форма сприяє стазу крові, що збільшує ймовірність тромбоутворення. Тип ВЛП «цвітна капуста» відзначається наявністю багатьох відділів та кишеньок і також пов’язаний із підвищеним ризиком тромбоутворення, але зустрічається лише у 5% випадків [2]. Наведені форми ВЛП представлені на рисунку 1. Пацієнти з об’ємними або багатокамерними варіантами потребують ретельнішої стратифікації та, ймовірно, тривалішої АКТ.
Рис. 1. Морфологічна класифікація ВЛП
При ФП пікова швидкість кровотоку у ВЛП порівняно із синусовим ритмом знижується практично вдвічі. ФП призводить до розширення порожнини ЛП, порушення його скоротливої функції, відсутності повноцінної систоли передсердь, тому спорожнення ВЛП відбувається пасивно за рахунок скорочення прилеглої стінки лівого шлуночка (ЛШ). Це зумовлює сповільнення кровотоку у ВЛП, а порушення скоротливої здатності ЛШ перетворює ВЛП на статичний мішок, заповнений кров’ю, що сприяє тромбоутворенню.
ВЛП є анатомічною структурою, де часто виникають стаз крові, турбулентний потік і локальне запалення, що разом з активацією згортальної системи та ендотеліальною дисфункцією утворює так звану тріаду Вірхова [3]. Це ідеальні умови для формування тромбу. Маркером підвищеної тромбоутворювальної активності у ЛП вважається ФСК, особливо ступеня 4+. Він також відображає стагнацію крові у ВЛП та корелює зі зниженою функцією передсердя, високим ризиком утворення тромбу та емболічних ускладнень, незалежно від клінічного стану.
Одним з ефективних підходів до розв’язання цієї проблеми є терапія ПОАК, яка спрямована не лише на профілактику тромбоутворення, але й на резолюцію вже наявних тромбів. Разом із тим, слід враховувати фактори, що впливають на ефективність АКТ:
- Розмір та давність тромбу: менші та «свіжі» тромби мають кращу динаміку.
- Функція нирок: визначає доцільність призначення повної або зниженої дози.
- Тривалість терапії: для лізису зазвичай потрібно не менш ніж чотири тижні.
- Моніторинг: трЕхоКГ, що за рекомендаціями ESC (2024) представлена як «золотий стандарт» візуалізації тромбу ВЛП, чи комп’ютерна томографія до та після лікування.
Едоксабан є представником нової генерації ПОАК, який привертає увагу науковців завдяки своїм фармакокінетичним властивостям і потенційному впливу на динаміку тромболізису. Механізм впливу едоксабану на лізис тромбу залишається предметом вивчення, але його ефективність підтверджено даними досліджень щодо таких чинників, як:
- пригнічення перетворення протромбіну на тромбін;
- зменшення активації фібрину;
- відсутність впливу на вже наявні фактори згортання (на відміну від варфарину);
- створення умови для природного лізису тромбів за рахунок зменшення тромбін-опосередкованої стабілізації фібрину.
Едоксабан має велику доказову базу. Одним із найбільших є дослідження ENGAGE AF-TIMI 48, що включало 21 105 пацієнтів із ФП [4]. Едоксабан (висока та знижена доза – 60 і 30 мг/добу відповідно) продемонстрував не меншу ефективність, ніж варфарин щодо запобігання інсульту та системній емболії. Хоча первинною кінцевою точкою було не лікування тромбів, окремі підгрупові аналізи показали зниження ризику формування нових тромбів у ВЛП. Також було встановлений високий рівень безпеки едоксабану, який полягав у нижчій частоті великих кровотеч (особливо внутрішньочерепних) і смерті від усіх причин, а також сприятливому профілі при нирковій недостатності.
У дослідженні OBSERVATIONAL DATA вивчалося застосування едоксабану в пацієнтів із вже виявленими тромбами у ВЛП. Приймання едоксабану сприяло лізису тромбу за 4‑12 тижнів, що спостерігався у 50‑60% випадків [5]. Результати випробування ENSURE-AF показали ефективність едоксабану порівняно з еноксапарином/варфарином щодо профілактики тромбоемболічних подій [6]. За даними ехокардіографії з контрастуванням, можливе зменшення об’єму тромбу у ВЛП через 4‑6 тижнів після початку терапії едоксабаном.
В іншій роботі, де порівнювали ефективність різних ПОАК щодо резолюції тромбу у ВЛП, було продемонстровано подібну або навіть вищу частоту резолюції тромбу на тлі лікування едоксабаном порівняно із ривароксабаном та апіксабаном. На додаток, 41% пацієнтів із тромбом у ВЛП мали його повну резолюцію після 4‑6 тижнів використання едоксабану. Ефективність АКТ щодо резолюції тромбу була безпосередньо пов’язана із покращенням скоротливої здатності ВЛП [7, 8].
Зростання швидкості спорожнення вушка вказує на поліпшення гемодинаміки та зменшення турбулентності кровотоку, що сприяє лізису тромбів. Дані низки обсерваційних досліджень вказують на зменшення або повну резолюцію ФСК під впливом ПОАК, зокрема едоксабану. Так, в одному випробуванні у 68% пацієнтів із ФСК було відзначено нормалізацію параметрів гемодинаміки та зникнення ФСК через 3‑4 тижні лікування едоксабаном [9]. Проте дані щодо особливостей застосування едоксабану в осіб із персистуючою формою ФП та тромбом у ВЛП перед плановим відновленням синусового ритму шляхом ЕКВ потребують подальших досліджень.
Метою вітчизняного дослідження була оцінка ефективності приймання препарату едоксабан (Едоксакорд) у дозі 60 мг/добу протягом 4 та 12 тижнів щодо резолюції тромбу ВЛП та зменшення ФСК 4+ у пацієнтів із персистуючою формою ФП за даними трЕхоКГ.
Матеріали й методи дослідження
Одноцентрове проспективне відкрите клінічне дослідження було проведене на базі відділу клінічної аритмології та електрофізіології ДУ «ННЦ «Інститут кардіології, клінічної та регенеративної медицини ім. акад. М.Д. Стражеска» НАМН України» (м. Київ). Дизайн дослідження представлений на рисунку 2.
Рис. 2. Дизайн дослідження
У дослідження увійшло 49 пацієнтів із вперше діагностованою або персистуючою / тривало персистуючою формою ФП, яким було заплановано ЕКВ із метою відновлення синусового ритму. У 17 (34,7%) хворих при первинному обстеженні за даними ТрЕхоЕГ було виявлено тромб ВЛП у 22,5% та ФСК 4+ у 12,2%, залежно від чого учасників розподілили на дві групи: до 1-ї (n=11) увійшли особи із мобільними тромбами у ВЛП, до 2-ї (n=6) – пацієнти із ФСК 4+.
Основними нозологічними діагнозами у 10 пацієнтів була ішемічна хвороба серця, із них у чотирьох – в комбінації з гіпертонічною хворобою, у п’яти – гіпертонічною хворобою ІІ ст. 2 ст., у двох осіб мав місце міокардіофіброз. Cередній вік обстежених становив 61,7±7,5 року. Середня тривалість пароксизму була 6,6±1,2 місяця, ризик тромбоемболій за шкалою CHA2DS2-VA – 3,85±1,3 бала. Фракція викиду (ФВ) ЛШ була 51,3±4,3%. Серцеву недостатність функціонального класу (ФК) I за критеріями Нью-Йоркської асоціації серця (NYHA) діагностовано у двох пацієнтів, ФК II – у 10, ФК III – у п’ятьох обстежених.
Варто наголосити, що серед усіх пацієнтів, що були скеровані до відділу клінічної аритмології та електрофізіології для планової госпіталізації та відновлення синусового ритму, нажаль, на догоспітальному етапі лише двом хворим було призначено варфарин, але цільових значень міжнародного нормалізованого відношення не досягнуто.
Усі пацієнти пройшли клінічне обстеження, що включало: загальний аналіз крові та сечі, біохімічний аналіз крові (визначення загального білірубіну, креатиніну, швидкості клубочкової фільтрації за формулою Кокрофа – Голта, сечової кислоти, АЛТ, АСТ, амілази крові, калію, натрію, глюкози, глікованого гемоглобіну, ліпідограми), оцінку тиреотропного гормону, вільного Т3 та Т4, проведення електрокардіограми, зокрема 24-годинного холтерівського моніторингу, ЕхоКГ. Для верифікації тромбів у серці чи ФСК виконували трЕхоКГ на початку лікування, через 4 та 12 (віддалені результати) тижні від початку АКТ із повторною оцінкою наявності тромбу та ступеня ФСК 4+. Дослідження здійснювали за стандартним протоколом із фазовим аналізом серцевого циклу шляхом проведення доплерографії.
Персистуючу форму ФП діагностували відповідно до рекомендацій із діагностики та лікування ФП Асоціації кардіологів України / Асоціації аритмологів України (2020). Бали за шкалою CHA2DS2-Va розраховували відповідно до настанови ESC у співпраці з EACTS щодо менеджменту пацієнтів із ФП (2024).
Всім пацієнтам було призначено препарат Едоксакорд у дозуванні 60 мг/добу та патогенетичну терапію відповідно до чинних протоколів лікування наявної нозології. Учасникам було надано інформацію щодо дослідження, яке проводили згідно із Законом України «Про клінічні засоби» та етичними принципами, що викладені у Гельсінській декларації, а також відповідно до «Інструкції з проведення клінічних досліджень та експертизі матеріалів при клінічних дослідженнях», затвердженої наказом МОЗ України від 01.11.2000 р.
Критерії включення: уперше виявлена, персистуюча або тривало персистуюча ФП; наявність тромбу або ФСК 4+ у ВЛП при першій трЕхоКГ; запланована ЕКВ; підписана інформована згода на участь у дослідженні.
Критерії виключення: гострий коронарний синдром протягом останніх трьох місяців; механічні клапанні протези; помірний або тяжкий мітральний стеноз (ІІ‑IV ст.); перенесена тромбоемболія легеневої артерії протягом останніх трьох місяців; біологічне протезування клапанів терміном до трьох місяців; міастенія гравіс; тяжка печінкова недостатність (АЛТ, АСТ, ГГТ ≥3ЧВМН; білірубін ≥2ЧВМН); кліренс креатиніну <30 мл/хв; тиреотоксикоз; гостре порушення мозкового кровообігу за останні три місяці; вагітність чи грудне вигодовування.
Оцінку даних і статистичний аналіз проводили за допомогою програмного забезпечення Microsoft Excel та IBM SPSS Statistics, визначаючи рівень значущості менш ніж 0,05 (95% довірчий інтервал).
Результати дослідження
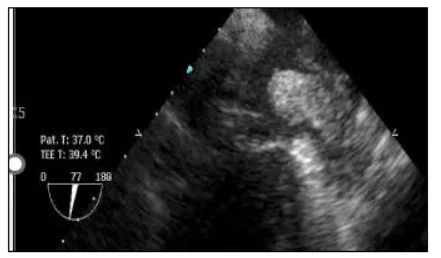
На початку дослідження за даними трЕхоКГ практично у кожного третього (34,7%)із 49 учасників, які готувалися для проведення планової ЕКВ, були виявлені тромб ВЛП (22,5%) та ФСК 4+ (12,2%). Частота появи тромбу ВЛП (рис. 3) становила 22,4% (n=11), що співпадає із даними інших випробувань, де вона коливалася від 1,2 до 22,6%, причому значна варіація показника залежала від декількох клінічних і гемодинамічних факторів, а саме тривалості й форми ФП, супутніх факторів ризику (CHA2DS2-VA), гемодинамічних та анатомічних чинників, комплаєнсу при проведенні АКТ. Висока частота виявлення тромбоутворення та ФСК 4+ у дослідженні, що розглядається, підкреслює необхідність проведення максимально ефективних діагностичних підходів (трЕхоКГ чи комп’ютерної томографії) в алгоритмі підготовки пацієнта із персистуючою формою ФП до планового відновлення синусового ритму шляхом ЕКВ.
Рис. 3. Тромб ВЛП
За даними повторної трЕхоКГ, через один місяць приймання едоксабану в дозі 60 мг/добу кількість осіб із тромбом ВЛП зменшилася більш ніж наполовину (-54,5%) (рис. 4). Тільки у 5 з 11 хворих при повторному проведенні трЕхоКГ було візуалізовано ознаки тромбоутворення. Частка учасників із ФСК 4+ за один місяць спостереження зменшилася з 6 до 4 (-33,3%).
Рис. 4. Зменшення виявлення тромбу ВЛП та ФСК 4+ через один місяць приймання едоксабану в дозі 60 мг
Відомо, що одним із головних маркерів ризику тромбоутворення та предиктором ефективності АКТ є швидкість спорожнення вушка лівого передсердя (ШСВЛП). Тому був проведений аналіз динаміки даного показника на тлі лікування едоксабаном у пацієнтів з ознаками тромбоутворення або ФСК 4+. На підставі отриманих результатів було встановлено загальну закономірність змін характеристик ШСВЛП залежно від виявлення або відсутності тромбу чи ФСК 4+ наприкінці 1-го місяця лікування едоксабаном у дозі 60 мг/добу.
На початку дослідження відзначалися зіставні показники ШСВЛП у пацієнтів всіх груп. Через один місяць проведення АКТ спостерігалося достовірне збільшення ШСВЛП у хворих 1-ї групи. Відсутність тромбу ВЛП через місяць приймання Едоксакорду по 60 мг/добу наприкінці дослідження асоціювалася із достовірним зростанням ШСВЛП із 18,4±1,3 до 24,3±2,0 см/с (р<0,05) (рис. 5). Серед хворих 2-ї групи, в яких через один місяць лікування тромб був відсутній, або ФСК зменшувався до ≤2+, було виявлено тенденцію до збільшення ШСВЛП із 16,2±3,7 см/с на початку до 20,6±6,2 см/с при повторному обстеженні за даними трЕхоКГ. Окрім того, в учасників 1-ї та 2-ї груп, в яких наприкінці дослідження продовжували візуалізовуватися тромб ВЛП або ФСК 4+, даний показник практично не змінювався. Отримані результати свідчать, що зникнення ФСК 4+ або тромбу напряму пов’язане із відновленням скоротливої здатності ВЛП, що підтверджується зростанням ШСВЛП у відповідних пацієнтів.
Рис. 5. Динаміка показника ШСВЛП у пацієнтів 1-ї групи залежно від результатів лікування
Отже, отримані дані демонструють ефективність едоксабану щодо зменшення тромботичного навантаження у ВЛП. На особливу увагу заслуговує поліпшення скоротливої здатності ВЛП у пацієнтів із резолюцією тромботичних мас, що підтверджується достовірним збільшенням ШСВЛП, тоді як в осіб зі збереженням тромбу або ФСК позитивної динаміки не відзначено. Це ще раз свідчить про необхідність проведення трЕхоКГ до та під час лікування ПОАК для оцінки функції ВЛП разом із візуалізацією тромбів у хворих, яким рекомендовано планову ЕКВ.
За результатами дослідження було виконано порівняльний аналіз між іншими показниками у пацієнтів 1-ї групи залежно від наявності або відсутності тромбу ВЛП через один місяць АКТ. Як було зазначено вище, при проведенні трЕхоКГ у 6 з 11 учасників на тлі АКТ тромб був відсутній, а у п’яти залишився без змін. Дані проведеного аналізу наведені в таблиці.
|
Таблиця. Характеристики пацієнтів залежно від наявності або відсутності тромбу через один місяць АКТ за даними повторної трЕхоКГ |
||
|
Показник |
Тромб + |
Тромб – |
|
Вік, роки |
63,15±10,4 |
57,12±6,4 |
|
CHA2DS2-VA, бали |
4,25±0,4 |
2,42±0,12 |
|
Тривалість епізоду ФП, міс. |
10,2±1,6 |
4,4 ±1,3* |
|
ФВ ЛШ, % |
48,4±1,9 |
55,2±0,9* |
|
Індекс об’єму ЛП, мл/м2 |
34,3±1,5 |
27,4±1,4* |
|
Примітка: * p<0,001 порівняння між 1-ю та 2-ю групами. |
||
Як бачимо з таблиці, учасники, в яких за даними трЕхоКГ залишився тромб ВЛП через один місяць АКТ, були старші за віком та мали достовірно вищий бал CHA2DS2-VA, ніж хворі з резолюцією тромбу (4,25±0,4 vs 2,42±0,12). Це свідчить про тяжчий у клінічному плані та вищий прокоагуляційний потенціал у даного контингенту пацієнтів і потребує більш ретельного та пролонгованого аналізу ефективності АКТ перед проведенням планової ЕКВ.
Інший показник, який впливав на результат АКТ, належить до часових характеристик, а саме тривалість епізоду ФП в анамнезі. В осіб із меншою тривалістю епізоду ФП в анамнезі (4,4±1,3 місяця) ефективність АКТ була вищою, що проявлялося у повній резолюції тромбу ВЛП на тлі приймання едоксабану в дозі 60 мг/добу протягом одного місяця у 54,5% пацієнтів порівняно із тими, в кого цей показник був достовірно вищим (10,2±1,6 місяця), і відзначалася наявність тромбу ВЛП. Поясненням цієї залежності може бути той факт, що довгострокові пароксизми ФП створюють умови для стагнації крові у ВЛП та підвищують ризик утворення тромбів, які зазвичай стають більших розмірів і складнішими для лізису порівняно із тими, які формуються при пароксизмах ФП меншої тривалості [10].
Ще одним параметром, який корелює з ефективністю АКТ у пацієнтів із тромбом ВЛП, є ФВ ЛШ, при зниженні якої швидкість кровотоку загалом уповільнюється, зокрема й у ЛП, що сприяє більшій стагнації крові та впливає на результати лікування [11]. Це підтверджується також у дослідженні, що розглядається, коли пацієнти із резолюцією тромбу через один місяць АКТ мали кращі показники скоротливої функції ЛШ. Як видно із таблиці, особи з тромбом ВЛП до та через один місяць АКТ мали помірно знижену ФВ ЛШ (48,4±1,9%), яка була достовірно меншою (р<0,05), ніж у хворих з успішною резолюцією (55,2±0,9%).
Крім того, на процес тромбоутворення та лікування може впливати розмір ЛП. Дані літератури підтверджують зв’язок між збільшенням ЛП та створенням умови для тромбоутворення у ВЛП, зменшенням ефективності терапії. Ймовірно, це пов’язано із тим, що в такій ситуації складніше досягти достатньої концентрації тромболітичних препаратів у ВЛП, що може сповільнити процес лізису тромбу. Це знайшло своє відображення у представленій роботі [12]. Так, як зазначалося вище, у пацієнтів із тромбом ВЛП через один місяць АКТ спостерігалася не лише найдовша тривалість пароксизму ФП і помірно знижена ФВ ЛШ, але й прояви дилатації ЛП (34,3±1,5 мл/м2), що достовірно перевищувало цей показник в осіб із резолюцією тромбу (27,4±1,4мл/м2).
Загалом можна припустити, що ланцюжок часових та гемодинамічних факторів, патогенетично поєднаних між собою, відіграє ключову роль в ефективності АКТ у пацієнтів із персистуючою формою ФП та тромбом ВЛП. Це підкреслює важливість своєчасного проведення трЕхоКГ із динамічним контролем при лікуванні тромбу ВЛП та ФСК 4+ з урахуванням супутніх факторів ризику. Всім хворим, у яких через один місяць АКТ при проведенні повторної трЕхоКГ не візуалізовувалися тромб ВЛП або ФСК 4+, було виконано успішну кардіоверсію зі 100% відновленням синусового ритму, який зберігався під час подальшого спостереження протягом двох місяців.
Наступним фрагментом роботи стала оцінка віддалених результатів дослідження, а саме проспективне спостереження впродовж трьох місяців від початку АКТ за пацієнтами, у котрих зберігалися прояви ФСК 4+ або тромбу ВЛП за даними трЕхоКГ через один місяць АКТ. Таких учасників залишилося дев’ять, із них у п’яти був тромб ВЛП, у чотирьох – ФСК 4+, та надалі їх оцінювали разом. Приймання Едоксакорду в дозі 60 мг/добу протягом наступних двох місяців дозволило зменшити ознаки тромбу або ФСК 4+ на 77,2%. Так, у семи учасників при повторному трЕхоКГ ознаки тромбу або ФСК 4+ не діагностувалися.
Це свідчить про те, що в деяких клінічних ситуаціях при підготовці пацієнта до проведення планової кардіоверсії необхідно пролонгувати АКТ, особливо за наявності таких факторів ризику, як низька ШСВЛП, похилий вік, тривалий пароксизм ФП, високий бал за шкалою CHA2DS2-Va тощо. У проведеному дослідженні саме в групі хворих, вік яких був вищий за середній (65,8±1,5 vs 61,7±7,5 року), тривалість пароксизму ФП також перевищувала медіанне значення (8,8±1,2 vs 6,6±1,2 місяця), як і бали CHA2DS2-Va (5,6±0,2 vs 3,85±1,3 бала). Резолюція тромбу ВЛП та ФСК 4+ за даними трЕхоКГ відбувалася у пізніший термін лікування, а саме через три місяці АКТ Едоксакордом у дозі 60 мг/добу, але в значної частки пацієнтів (77,2%). Це зумовлює потребу в динамічному контролі за таким контингентом хворих із проведенням трЕхоКГ через три місяці постійної АКТ перед плановим відновленням синусового ритму.
Таким чином, із 17 пацієнтів, в яких на початку дослідження за даними трЕхоКГ візуалізовувалися тромб ВЛП або ФСК 4+, на тлі терапії Едоксакордом по 60 мг/добу через один місяць ці ознаки були відсутні у 8 (47,1%), тоді як через три місяці АКТ – у 15 (88,2%) хворих. В усіх осіб із резолюцією тромбу ВЛП та ФСК 4+ через три місяці від початку АКТ відбулося відновлення синусового ритму методом ЕКВ без розвитку тромбоемболічних або інших ускладнень. Це свідчить про необхідність більш пролонгованої підготовки едоксабаном хворих на ФП із тромбом чи ФСК 4+ у ВЛП до відновлення синусового ритму, ніж впродовж «класичних» чотирьох тижнів.
Висновки
- Згідно з результатами дослідження, у пацієнтів із персистуючою формою ФП за даними трЕхоКГ у 22,5% випадків було виявлено тромб ВЛП та в 12,2% – ФСК 4+. Це підкреслює необхідність застосування максимально ефективних методів візуалізації, а саме трЕхоКГ, у хворих при плануванні відновлення синусового ритму шляхом ЕКВ.
- Доведено доцільність проведення трЕхоКГ через три місяці АКТ в осіб із персистуючою формою ФП та тромбом ВЛП або ФСК 4+, яким заплановано ЕКВ, за умови, що не було отримано позитивного результату через один місяць терапії едоксабаном по 60 мг/добу.
- Продемонстровано високу ефективність едоксабану в дозі 60 мг/добу через один місяць лікування. Це асоціювалося з резолюцією тромбу ВЛП у 54,5% хворих та зменшенням проявів ФСК 4+ у 33,3% із досягненням максимальної ефективності через три місяці проведення АКТ, коли сукупна кількість пацієнтів із тромбом ВЛП та ФСК 4+ зменшилася на 88,2% від початкової.
- Встановлено, що в осіб із персистуючою формою ФП успішна резолюція тромбу ВЛП корелювала з достовірним збільшенням ШСВЛП із 18,4±1,3 до 24,3±2,0 см/с та тенденцією до зростання при ФСК 4+, що може виступати маркером ефективності АКТ у протоколі оцінки відповіді на лікування при плануванні ЕКВ.
- Виявлено, що ефективність АКТ у пацієнтів із персистуючою ФП зменшується зі збільшенням віку хворих, тривалості пароксизму, кількості балів за шкалою CHA2DS2-Va, розміру ЛП та зменшенням ФВ ЛШ.
- Наявність тромбу або ФСК 4+ на початку дослідження не впливала на зменшення ефективності ЕКВ щодо відновлення та утримання синусового ритму після 4 та 12 тижнів АКТ в осіб із персистуючою формою ФП.
Список літератури знаходиться в редакції
Тематичний номер «Кардіологія. Ревматологія. Кардіохірургія» № 5 (102) 2025 р.




