10 листопада, 2025
Ідіопатичний легеневий фіброз. Клінічна настанова, заснована на доказах
Ідіопатичний легеневий фіброз (ІЛФ) належить до групи ідіопатичних інтерстиційних пневмоній (ІІП), подібними ознаками яких є: переважне ураження інтерстиційної тканини, прогресуючий процес фіброзу в легенях, що супроводжується задишкою, яка наростає з часом, і рестриктивними порушеннями вентиляційної функції легень. Наказом МОЗ України від 24.12.2019 № 2664 ІЛФ додано до Переліку рідкісних (орфанних) захворювань, що призводять до скорочення тривалості життя хворих або їх інвалідизації та для яких існують визнані методи лікування.
Визначення
Ідіопатичний легеневий фіброз – це специфічна форма хронічної прогресуючої фіброзуючої інтерстиційної пневмонії невідомої етіології, що виникає переважно в осіб літнього віку, обмежується легенями та асоціюється з гістопатологічними і/або рентгенологічними ознаками звичайної інтерстиційної пневмонії (ЗІП). Встановлення діагнозу ІЛФ потребує виключення інших відомих причин інтерстиційної пневмонії, таких як інші ІІП та ЗІП, пов’язані з впливом факторів навколишнього середовища, застосуванням лікарських засобів або системним захворюванням.
Епідеміологія
Показники захворюваності та поширеності ІЛФ значною мірою залежать від віку. Так, захворюваність на ІЛФ серед осіб старше 70 років у 10 разів перевищує аналогічний показник у загальній популяції [8].
Показники поширеності ІЛФ в осіб у загальній популяції коливаються від 2 до 29 випадків на 100 тисяч. Такий широкий діапазон, імовірно, пояснюється відсутністю єдиного визначення, яке використовували для виявлення випадків ІЛФ, а також відмінностями в дизайні та популяції досліджень. Згідно з аналізом заяв на оплату медичних послуг у рамках великого плану медичного обслуговування у США поширеність ІЛФ коливається від 14,0 до 42,7 випадку на 100 тис осіб залежно від використовуваного визначення. Останніми роками кількість хворих на ІЛФ збільшується. Невідомо, чи впливають на частоту виникнення і поширеність ІЛФ географічні, етнічні, культурні чи расові фактори.
Коментар робочої групи. Найточніші дані про захворюваність і поширеність ІЛФ отримані в дослідженні, проведеному в США, за участю пацієнтів >50 років із наявним патерном ЗІП при патогістологічному вивченні біоптатів легень або комп’ютерній томографії (КТ). У процесі дослідження було встановлено, що захворюваність на ІЛФ становила 8,8 випадку на 100 тис населення на рік, поширеність – 27,9 випадку на 100 тис осіб [186].
Оскільки епідеміологічні дослідження захворюваності та поширеності ІЛФ, що засновані на активному виявленні хворих, потребують значних економічних витрат, в Україні дотепер їх не проводили.
Клінічна картина
Наявність ІЛФ необхідно підозрювати в пацієнтів із незрозумілою хронічною задишкою під час фізичного навантаження, при цьому часто спостерігають кашель, хрипи в нижніх відділах легень на вдиху та симптом барабанних паличок [28, 29].Частота виникнення захворювання зростає з віком, причому типові ознаки виникають на 6-7-му десятилітті життя. Випадки ІЛФ у віці до 50 років нечисленні, і згодом у таких пацієнтів можуть спостерігатись явні ознаки основного захворювання сполучної тканини (ЗСТ), що мало субклінічний перебіг на момент діагностування ІЛФ. Повідомляють, що в чоловіків ІЛФ виникає частіше, ніж у жінок, а більшість пацієнтів мають куріння в анамнезі [29].
Потенційні фактори ризику
Хоча ІЛФ за визначенням – захворювання невідомої етіології, описані потенційні фактори ризику його розвитку.
Куріння. Куріння значною мірою асоціюється з розвитком ІЛФ, передусім в осіб зі стажем куріння понад 20 пачко-років [9, 10].
Вплив факторів довкілля. Значно підвищений ризик пов’язаний з експозицією до пилу металів (латунь, свинець, сталь) та деревини (сосна). Вплив факторів навколишнього середовища підтверджує наявність у лімфатичних вузлах хворих на ІЛФ підвищеної кількості неорганічних частинок, що виявляється під час аутопсії [11, 12].
Мікробні агенти. У кількох дослідженнях вивчали можливу роль в етіології ІЛФ хронічної вірусної інфекції [13-19]. Більшість досліджень було зосереджено на вірусах Епштейна–Барр (EBV) та гепатиту C. І білок, і ДНК EBV були виявлені в легеневій тканині пацієнтів з ІЛФ, зазвичай в альвеолярних епітеліальних клітинах [13, 15].
Проте попередня імуносупресивна терапія в багатьох пацієнтів, яка може робити інфекцію потенційним ускладненням, а також висока поширеність EBV в загальній популяції поки не дають можливості зробити остаточні висновки про роль інфекції в розвитку ІЛФ [14, 16, 19].
Гастроезофагеальний рефлюкс (ГЕР). Результати декількох досліджень показали, що ГЕР, унаслідок мікроаспірації, є фактором ризику ІЛФ [20-22].
Генетичні фактори. Є повідомлення щодо сімейної форми ІЛФ (наявність захворювання у ≥2 біологічних членів сім’ї), хоча кількість таких випадків становить <5% [23-27]. Значна географічна концентрація випадків сімейного легеневого фіброзу серед жителів Фінляндії підтверджує значущість генетичних факторів у розвитку ІЛФ [25].
Коментар робочої групи. Етіологія ІЛФ невідома. Проте окремі ланки патогенезу ІЛФ досить широко обговорюються в літературі. На думку членів мультидисциплінарної робочої групи, у настанові доцільно навести ключові ланки патогенезу ІЛФ, схематично описані в роботі Р.М. Дю Буа (2010).
Унаслідок впливу якого-небудь невстановленого фактора ушкоджується прошарок, який розділяє порожнину альвеоли від просвіту капіляра. Він складається з епітеліальних клітин, базальної мембрани та ендотеліальних клітин капіляра. Далі активізуються репаративні процеси з вивільненням епітеліально-клітинних медіаторів і проникненням факторів крові, у тому числі факторів коагуляції, у просвіт альвеол. Процес набуває організуючого характеру, з ініціюванням рубцювання, і на якомусь етапі фіброзування виходить із-під контролю. Причини ушкодження, як і причини прогресуючого фіброзування, дотепер не встановлені.
Природний перебіг ІЛФ
Природний перебіг ІЛФ описують як прогресуюче зниження суб’єктивних та об’єктивних показників легеневої функції від дихальної недостатності або ускладненого супутнього захворювання аж до смерті. Наявні результати лонгітюдних досліджень не дають змоги чітко оцінити медіану виживаності при ІЛФ. У ретроспективних лонгітюдних дослідженнях медіана виживаності з моменту встановлення діагнозу становила від 2 до 3 років. Однак у пацієнтів зі збереженою легеневою функцією така оцінка може бути заниженою.
Є кілька можливих варіантів природного перебігу ІЛФ. Для кожного конкретного пацієнта на момент встановлення діагнозу природний перебіг непередбачуваний. У більшості пацієнтів спостерігають повільне поступове прогресування протягом багатьох років. Стан деяких пацієнтів залишається стабільним, тоді як в інших прогресування хвороби прискорюється. У деяких хворих може виникнути гостре погіршення респіраторної функції. Невідомо, чи ці різні варіанти природного перебігу являють собою різні фенотипи ІЛФ, чи на природний перебіг впливають географічні, етнічні, культурні, расові або інші фактори. На перебіг захворювання можуть впливати інші супутні захворювання, такі як емфізема та легенева гіпертензія (ЛГ).
Загострення ІЛФ
Гостре погіршення респіраторної функції щороку відбувається у невеликої кількості пацієнтів з ІЛФ (приблизно 5-10%). Такі епізоди можуть виникати на тлі поширених захворювань, таких як пневмонія, легенева емболія (ЛЕ), пневмоторакс або серцева недостатність (СН). Коли неможливо встановити причину гострого зниження респіраторної функції, використовують термін «гостре загострення ІЛФ». Наразі незрозуміло, чи гостре загострення ІЛФ є проявом неідентифікованого респіраторного ускладнення (такого як ЛЕ або інфекція), що сприяє гострому погіршенню в пацієнта з ІЛФ, чи властивим прискоренням патобіологічних процесів, залучених до ІЛФ. Останні дані профілювання експресії генів у пацієнтів із гострим загостренням ІЛФ не вказують на інфекційну етіологію.
Традиційно критерії гострого загострення ІЛФ охоплювали незрозуміле посилення задишки протягом місяця, ознаки гіпоксемії, що визначаються погіршенням або серйозним порушенням газообміну, новими рентгенографічними альвеолярними інфільтратами та відсутністю альтернативного пояснення, такого як інфекція, ЛЕ, пневмоторакс або СН. Гостре загострення може виникнути в будь-який момент під час ІЛФ та іноді може бути його справжнім проявом. Спостерігають посилення кашлю, гарячку і/або збільшення кількості мокротиння. Хоча фактори ризику гострого загострення ІЛФ невідомі, повідомляють про гостру респіраторну декомпенсацію після торакальної хірургічної операції і бронхоальвеолярного лаважу (БАЛ). Незрозуміло, чи ці явища являють собою справжні гострі загострення чи ускладнення відповідних процедур.
Гістологічно гостре загострення ІЛФ проявляється гострим або організуючим дифузним альвеолярним пошкодженням (ДАП), або, рідше, організуючою пневмонією в зонах відносно збереженої легеневої тканини на відстані від найбільш фіброзних ділянок. Окремі випадки свідчать про те, що проблеми із забором зразків у деяких пацієнтів можуть призвести до того, що зразки демонструватимуть лише неускладнену ЗІП або організуючу фазу ДАП без гістологічних ознак основної ЗІП в досліджуваному зразку.
Патогістологічні ознаки ЗІП
Idiopathic Pulmonary Fibrosis (an Update) and Progressive Pulmonary Fibrosis in Adults An Official ATS/ERS/JRS/ALAT Clinical Practice Guideline (2022)
Патогістологічні критерії, що характеризують ЗІП та ймовірну ЗІП, було переглянуто і підтверджено. Діагноз ЗІП, встановлений за допомогою біопсії, ґрунтується на поєднанні таких ознак: вогнищевий щільний фіброз із порушенням архітектоники (тобто утворення деструктивних рубців і/або стільниковість); схильність до субплевральної та парасептальної паренхіми легень; вогнища фібробластів, а також – відсутність ознак, які дають можливість припустити альтернативний діагноз. Коли наявні всі ці ознаки, можна з упевненістю встановити патерн ЗІП. «Імовірна ЗІП» ґрунтується на результатах біопсії, яка виявляє деякі з цих ознак, за відсутності характеристик, які дають змогу припустити альтернативний діагноз.
Diagnosis of Idiopathic Pulmonary Fibrosis: An Official ATS/ERS/JRS/ALAT Clinical Practice Guideline (2018)
Рекомендується класифікувати патогістологічні результати біопсії за категоріями «ЗІП», «імовірна ЗІП», «невизначена ЗІП» та «альтернативний діагноз» (табл. 1).
|
Таблиця 1. Патогістологічні патерни ЗІП |
|||
|
ЗІП |
Імовірна ЗІП |
Невизначена (сумнівна) ЗІП |
Альтернативний діагноз |
|
Щільний фіброз з архітектурним спотворенням (тобто деструктивне рубцювання і/або стільниковість). Переважає субплевральний і/або парасептальний розподіл фіброзу. Неоднорідне (плямисте) ураження паренхіми фіброзом. Вогнища фібробластів. Відсутність ознак, які передбачають альтернативний діагноз |
Деякі гістологічні ознаки зі стовпчика 1, але не такою мірою, щоб встановити певний діагноз ЗІП/ІЛФ. Відсутність ознак, які передбачають альтернативний діагноз або Тільки стільниковість |
Фіброз з архітектурним спотворенням або без нього, з особливостями або на користь патерна, відмінного від ЗІП, або на користь ЗІП, вторинної щодо іншої причини*. Деякі гістологічні ознаки зі стовпчика 1, однак з ознаками, які передбачають альтернативний діагноз** |
Ознаки гістологічних патернів інших ІІП (таких як відсутність вогнищ фібробластів або м’який фіброз) в усьому матеріалі біопсії. Гістологічні знахідки, які вказують на інші захворювання (гіперсенситивний пневмоніт, ЛКГ, саркоїдоз, ЛАМ) |
|
Примітки. ЛАМ – лімфангіолейоміоматоз, ЛКГ – лангергансклітинний гістіоцитоз; * – гранульоми, гіалінові мембрани (крім випадків, пов'язаних із загостренням ІЛФ, яке може бути проявом у деяких пацієнтів), виражені зміни в центральних відділах дихальних шляхів, ділянки інтерстиційного запалення без асоційованого фіброзу, виражений хронічний фіброзний плеврит, організуюча пневмонія. Такі особливості можуть бути неочевидні або непомітні для непідготовленого ока, і їх часто необхідно спеціально шукати; ** – ознаки, які мають стати насторожувальним фактором щодо ймовірності альтернативного діагнозу: запальний інфільтрат клітин далеко від ділянок стільникових змін, виражена лімфоїдна гіперплазія і чіткий бронхіолоцентричний розподіл, зокрема велика перибронхіолярна метаплазія. |
|||
Коментар робочої групи. У 2000 р. Американське торакальне товариство (ATS – American Thoracic Society) і Європейське респіраторне товариство (ERS – European Respiratory Society) опублікували першу міжнародну угоду з діагностики та лікування ІЛФ [187]. Положення передбачало обов'язкову верифікацію діагнозу методом хірургічної біопсії легень. Ця рекомендація була заснована на результатах оцінки достовірності діагностики ІЛФ на основі клінічних симптомів, даних рентгенографії та КТ органів грудної клітки в порівнянні з результатами біопсії. Так, достовірність діагнозу, заснованого тільки на клінічних даних, становила 62%, а застосування рентгенографії і КТ підвищувало точність діагностики всього до 76%. Досвід наукових досліджень, накопичений із моменту опублікування у 2000 р. вищезазначеного документу стосовно ІЛФ, зумовив необхідність уточнення критеріїв діагностики захворювання і перегляду деяких принципів лікування хворих. Перш за все це було пов'язано з розвитком технологій у галузі КТ. За наступні 10 років діагностичні можливості КТ зросли настільки, що за результатом морфологічної діагностики цей метод став успішно конкурувати з патогістологічним дослідженням. У зв’язку із цим у наступні роки було розроблено критерії КТ-діагностики ІЛФ, чутливість якої сягала 90-100%.
Ознаки патерну ЗІП на КТ з високою роздільною здатністю
Найпоширенішими ознаками ЗІП на КТ з високою роздільною здатністю (КТВРЗ) є стільниковість, тракційні бронхоектази і тракційні бронхіолоектази, які можуть спостерігатися на тлі помутніння за типом матового скла (ПМС) та легкої ретикуляції.
Стільниковість належить до кластерних кістозних повітряних просторів із типовим діаметром кіст 3-10 мм, але іноді й більше, з товстими, чітко окресленими стінками. Це зазвичай поєднується з ретикулярними змінами внаслідок тракційних бронхо- і бронхіолоектазів [31]. Стільниковість частіше представлена скупченнями кіст у кілька шарів, але іноді субплевральні кісти можуть бути розташовані в один шар, що створює труднощі для диференційної діагностики з парасептальною емфіземою і бронхіолоектазами [32].
Тракційні бронхоектази і бронхіолоектази є ключовою ознакою легеневого фіброзу, вони варіюють від тонких нерівностей бронхіальної стінки до значного спотворення архітектури з варикозоподібними розширеннями [33-37]. Бронхіолоектази частіше розташовані субплеврально по сусідству зі стільниковими кістами [16].
Симптом «матового скла» – це ділянка помутніння паренхіми зі збереженням на його тлі бронхо-судинного малюнку. Діагностичне значення для ЗІП ділянки «матового скла» набувають тоді, коли на них накладається ніжний сітчастий малюнок унаслідок бронхіолоектазів [47].
Виділено 4 діагностичні категорії, які складаються з КТ-симптомів (табл. 2 доповнена у 2022 р.). Ці категорії охоплюють ЗІП-патерн (рис. 1), імовірний ЗІП-патерн (рис. 2), невизначений (сумнівний) ЗІП-патерн (рис. 3) і альтернативний діагноз (рис. 4).
|
Таблиця 2. Патерни ІЛФ на КТВРЗ |
||||
|
Параметр |
Патерн на КТВРЗ |
|||
|
Патерн ЗІП |
Патерн імовірної ЗІП |
Невизначена (сумнівна) ЗІП |
Результати КТ, які вказують на альтернативний діагноз |
|
|
Рівень достовірності відносно ЗІПгістології |
Високий (>90%) |
Умовно високий (7089%) |
Умовно низький (5169%) |
Низький чи дуже низький (≤50%) |
|
Розподіл |
Переважає субплевральна і базальна локалізація. Розподіл часто неоднорідний (ділянки нормальної легені перемежовуються ділянками фіброзу). Періодичне дифузне поширення. Можлива асиметрія |
Переважає субплевральна і базальна локалізація. Розподіл часто неоднорідний (ділянки нормальної легені перемежовуються ділянками ретикуляції та тракційними бронхоектазами / бронхіолоектазами) |
Дифузний розподіл без субплеврального переважання |
Переважає перибронховаскулярна локалізація із субплевральним збереженням структури (розглянути НСІП). Перилімфатичний розподіл (розглянути саркоїдоз). Верхній або середній відділ легені (розглянути фіброзний ГП, ЗСТІЗЛ і саркоїдоз). Субплевральне збереження структури (розглянути НСІП або ІП, пов’язану з курінням) |
|
Ознаки на КТ |
Стільниковість із тракційними бронхоектазами/бронхіолоектазами чи без них. Наявність нерівномірного потовщення міжчасткових перегородок. Зазвичай перекривається ретикулярним рисунком, легке ПМС. Можлива легенева осифікація |
Ретикулярний рисунок із тракційними бронхоектазами/бронхіолоектазами. Імовірність легкого ПМС. Відсутність субплеврального збереження структури |
Ознаки легеневого фіброзу на КТ, які не вказують на конкретну етіологію |
Зміни в легенях. Кісти (розглянути ЛАМ, ЛКГ, ЛІП та ДІП). Мозаїчне послаблення або «легеня сироварів» (розглянути ГП). Переважання ПМС (розглянути ГП, хворобу, пов’язану з курінням, медикаментозну токсичність і гостре загострення фіброзу). Профузні центрилобулярні мікровузлики (розглянути ГП або хворобу, пов’язану з курінням). Вузлики (розглянути саркоїдоз). Консолідація (розглянути пневмонію, що організується, тощо). Зміни в середостінні. Плевральні бляшки (розглянути асбестоз). Розширений стравохід (розглянути ЗСТ) |
|
Примітки. ДІП – десквамативна інтерстиційна пневмонія; ГП – гіперсенситивний пневмоніт; ІП – інтерстиційна пневмонія; ЛІП – лімфоїдна ІП; НСІП – неспецифічна ІП; ЛКГ – лангергансклітинний гістіоцитоз. |
||||
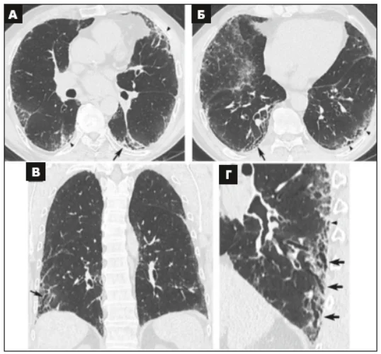
Рис. 1. КТВРЗ демонструє патерн ЗІП.
Поперечні (аксіальні) зрізи КT (А, Б, Г), корональна реконструкція (В), що показують наявність стільникових змін із субплевральним і базальним переважанням. Наявне м’яке ПМС (Г). Збільшене зображення лівої нижньої частки, на якому показані типові характеристики стільників, що складаються зі скупчень кістозних повітряних просторів із чітко окресленими стінками і варіабельним діаметром, видимі в одному або декількох шарах (стрілки) [3].
Рис. 2. КТВРЗ-патерн імовірної ЗІП.
Поперечні зрізи (A, Б), корональна реконструкція обох легень (В), збільшене сагітальне зображення правої нижньої частки (Г) ілюструють наявність ретикулярного патерну – ериферичні бронхіолоектази із субплевральним і базальним переважанням. Залежно від орієнтації відносно площини КТ-зрізу периферичні тракційні бронхіолоектази виглядають як тубулярнi (стрілки) або кістозні (наконечники стрілок) структури. Наявне помірне ПМС в субплевральних ділянках обох легень і відсутні стільникові зміни [3].
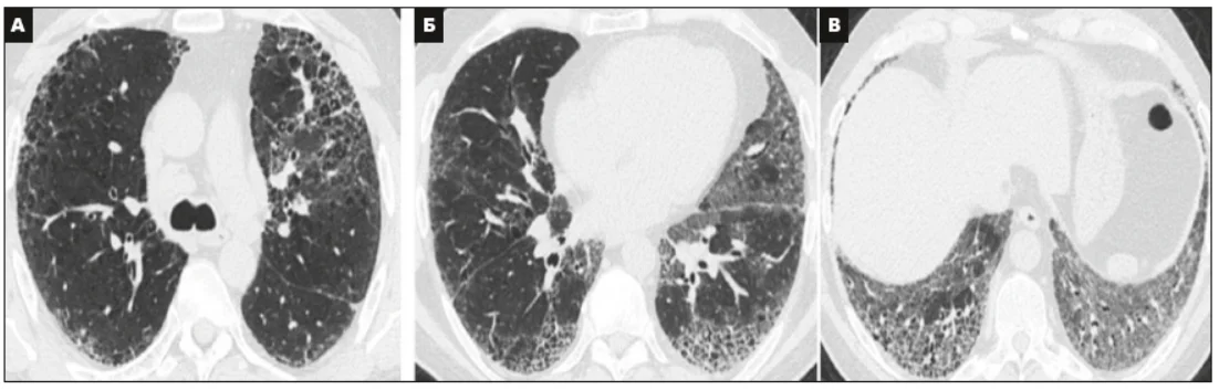
Рис. 3. КТВРЗ-патерн невизначеної (сумнівної) ЗІП (А, Б, В).
Поперечні зрізи показують значну інфільтрацію легень, що поєднує в собі стільники, ПМС від легкого до помірного ступеня, асиметричний розподіл між обома легенями і відсутність субплеврального переважання [3].
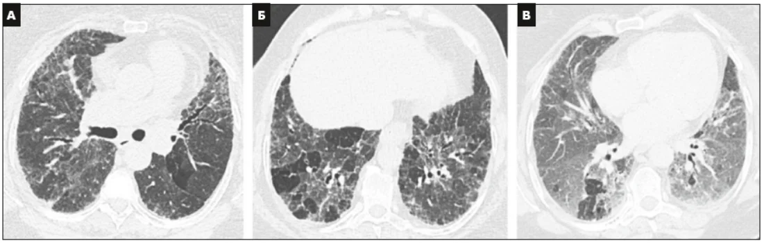
Рис. 4. КТВРЗ-патерн, який дає підстави для альтернативного діагнозу.
Поперечні зрізи КТ (А і Б), отримані на глибокому вдиху, показують дисеміновану інфільтрацію легень, зберігаються деякі вторинні легеневі часточки в базальних відділах легень. Поперечний зріз КT, отриманий на видиху (В), підтверджує часткову повітряну пастку. Усі дані свідчать про хронічний гіперсенситивний пневмоніт [31].
Idiopathic Pulmonary Fibrosis (an Update) and Progressive Pulmonary Fibrosis in Adults An Official ATS/ERS/JRS/ALAT Clinical Practice Guideline (2022)
Останнім часом з’являється все більше доказів того, що в пацієнтів із патерном імовірної ЗІП і патерном ЗІП на КТВРЗ характеристики та клінічний перебіг хвороби є подібними [38-40]. При цьому вірогідність гістологічного підтвердження ЗІП у пацієнтів із патерном імовірної ЗІП коливається від 80 до 85% [38, 41, 42].
Хоча патерн ЗІП та патерн імовірної ЗІП залишаються відокремленими (табл. 3), діагностичні підходи для цих нозологічних одиниць подібні, а гістологічне підтвердження зазвичай непотрібне, якщо немає клінічного занепокоєння щодо альтернативного діагнозу [4].
|
Таблиця 3. Діагноз ІЛФ, заснований на КТВРЗ і гістопатологічному патернах [4] |
|||||
|
Підозра на ІЛФ* |
Гістопатологічний патерн |
||||
|
ЗІП |
Імовірна ЗІП |
Сумнівна ЗІП або біопсія не проводилася |
Альтернативний діагноз |
||
|
КТВРЗпатерн |
ЗІП |
ІЛФ |
ІЛФ |
ІЛФ |
Не ІЛФ |
|
Імовірна ЗІП |
ІЛФ |
ІЛФ |
Можливий ІЛФ** |
Не ІЛФ |
|
|
Невизначена ЗІП |
ІЛФ |
Можливий ІЛФ** |
Невизначений ІЛФ*** |
Не ІЛФ |
|
|
Альтернативний діагноз |
Можливий ІЛФ** |
Невизначений ІЛФ*** |
Не ІЛФ |
Не ІЛФ |
|
|
Примітки. * – патерн білатерального легеневого фіброзу неясного ґенезу, із симптомами або без, на рентгенограмі або КТ, бібазилярні інспіраторні хрипи, вік – старше 60 років (пацієнти віком >40 років і <60 років, особливо з ризиком сімейного легеневого фіброзу, рідко можуть мати той самий клінічний сценарій, що й типовий пацієнт старше 60 років); ** – діагноз ІЛФ можливий за наявності однієї з таких ознак: 1) помірнорізко виражені тракційні бронхоектази/бронхіолоектази (визначаються як незначно виражені бронхо/бронхіолоектази в чотирьох і більше частках, у тому числі язичкові, що враховуються як частки, або помірнорізко виражені у двох і більше частках у чоловіків >50 років і у жінок >60 років; 2) ретикулярні зміни >30% на КТВРЗ у пацієнтів >70 років; 3) збільшення кількості нейтрофілів і/або відсутність лімфоцитів у рідині БАЛ; 4) мультидисциплінарна дискусія (МДД) впевнено схиляється до діагнозу ІЛФ; *** – сумнівний діагноз ІЛФ: 1) без адекватної біопсії ІЛФ малоймовірний; 2) при адекватній біопсії може бути встановлений більш конкретний діагноз після МДД або додаткових консультацій. |
|||||
Діагностичний підхід
Група експертів оновила діагностичний підхід Настанови з діагностики ІЛФ від 2018 року. Основною зміною в діагностичному алгоритмі є те, що стратегія ведення пацієнтів із патерном імовірної ЗІП на КТВРЗ тепер співпадає зі стратегією для пацієнтів із ЗІП, а це означає зменшення ймовірності взяття зразка легені після початкового багатопрофільного обговорення (рис. 5). Ключова зміна рисунка, який описує поєднання патерну на КТВРЗ та гістологічної картини, полягає в тому, що патерн на КТВРЗ, який свідчить про альтернативний діагноз у поєднанні з гістопатологічною картиною ймовірної ЗІП, тепер вважають патерном невизначеної ІЛФ, а не не-ІЛФ. Обґрунтуванням є спостереження експертів щодо того, що пацієнти з такою комбінацією результатів можуть мати неоднорідні патерни характеристик і результатів захворювання, у тому числі іноді подібні до таких у пацієнтів з ІЛФ, тому позначення цього патерну як невизначеного здається кращим перед більш обмежувальними вказівками, наданими в попередній настанові.
Рис. 5. Діагностичний алгоритм для ІЛФ, розроблений шляхом консенсусу в процесі обговорення
Коментар робочої групи. Діагностичний алгоритм для ІЛФ широко та успішно використовують у Центрі легеневого фіброзу при ННЦ ФПА НАМН України. Алгоритм показав досить високу ефективність у практичній роботі, а також при виконанні міжнародних програм клінічних випробувань антифібротичних препаратів.
Однак треба зазначити, що трансбронхіальна кріобіопсія легень (ТБКЛ) застосовується в обмеженої кількості пацієнтів, оскільки фахівці Центру (бронхологи та патоморфологи) не зазначають суттєвих переваг ТБКЛ у порівнянні з традиційною трансбронхіальною біопсією легень (ТББЛ).
Diagnosis of Idiopathic Pulmonary Fibrosis: An Official ATS/ERS/JRS/ALAT Clinical Practice Guideline» (2018)
У таблиці 4 подані рекомендації ATS/ERS/JRS/ALAT щодо застосування деяких методів діагностики.
|
Таблиця 4. Рекомендації щодо застосування деяких методів діагностики |
||
|
Методи |
КТВРЗ-патерни ймовірної, сумнівної ЗІП та альтеративного діагнозу |
КТВРЗ-патерн ЗІП |
|
Клітинний аналіз БАЛ |
Ми вважаємо, що клітинний аналіз БАЛ може бути виконаний (умовна рекомендація) |
Ми вважаємо, що клітинний аналіз БАЛ не треба виконувати (умовна рекомендація) |
|
ХБЛ |
Ми вважаємо, що ХБЛ може бути виконана (умовна рекомендація) |
Ми пропонуємо не виконувати ХБЛ (сильна рекомендація) |
|
ТББЛ |
Рекомендації щодо ТББЛ (за або проти) не зроблено |
Ми пропонуємо не виконувати ТББЛ (сильна рекомендація) |
|
Кріобіопсія легені |
Рекомендації щодо кріобіопсії легені (за або проти) не зроблено |
Ми пропонуємо не виконувати кріобіопсію легені (сильна рекомендація) |
|
Медичний анамнез вживання ліків та впливу навколишнього середовища |
Ми пропонуємо зібрати докладну історію як прийому ліків, так і впливу навколишнього середовища вдома, на роботі та в інших місцях, де пацієнт часто буває, для виключення потенційних причин ІЗЛ |
|
|
Серологічне тестування для виключення ЗСТ |
Ми пропонуємо серологічне тестування для виключення ЗСТ як потенційної причини ІЗЛ |
|
|
МДД |
Ми вважаємо, що для ухвалення рішення необхідно проводити МДД (умовна рекомендація) |
|
|
Біомаркери сироватки |
Ми пропонуємо не визначати сироваткові рівні MMP‑7, SPD, CCL‑18 або KL‑6 з метою відрізнити ІЛФ від інших ІЗЛ (сильна рекомендація) |
|
|
Примітки. ІЗЛ – інтерстиційне захворювання легень; KL‑6 – Кребс фон ден Лунген‑6; MMP‑7 – матрична металопротеїназа 7; SPD –сурфактантний протеїн D; CCL‑18 – хемокіновий ліганд 18. |
||
An Official ATS/ERS/JRS/ALAT Statement: Idiopathic Pulmonary Fibrosis: Evidence-based Guidelines for Diagnosis and Management (2011)
Висновки
1. ІЛФ визначається як специфічна форма хронічної прогресуючої фіброзної ІП невідомої причини, яка виникає переважно в літніх людей, обмежена легенями та супроводжується гістопатологічною та/або рентгенологічною картиною ЗІП.
2. Для діагностики ІЛФ потрібні:
- виключення інших відомих причин ІЗЛ (наприклад, вплив навколишнього середовища вдома та на виробництві, ЗСТ і токсичність ліків);
- наявність картини ЗІП на КТВРЗ у пацієнтів, яким не проводили ХБЛ;
- специфічні комбінації КТВРЗ і ХБЛ.
3. Точність діагностики ІЛФ підвищується завдяки МДД пульмонологами, рентгенологами і патологами, які мають досвід діагностики ІЗЛ.
4. ІЛФ – смертельне захворювання легень; його перебіг мінливий і непередбачуваний:
- більшість пацієнтів з ІЛФ повідомляють про поступове погіршення легеневої функції протягом багатьох років; у меншості пацієнтів стан залишається стабільним або швидко погіршується;
- деякі пацієнти можуть відчувати епізоди гострого погіршення респіраторної функції, незважаючи на попередній стабільний стан.
5. Прогресування захворювання проявляється посиленням респіраторних симптомів, погіршенням результатів тесту на легеневу функцію, прогресуючим фіброзом на КТВРЗ, гострим зниженням дихання або смертю.
6. Пацієнти з ІЛФ можуть мати субклінічні або явні супутні захворювання, у тому числі ЛГ, ГЕР, обструктивне апное сну, ожиріння та емфізему. Вплив цих станів на результат лікування пацієнтів з ІЛФ неясний.
Рекомендації з лікування
1. Рекомендація проти використання таких засобів для лікування ІЛФ є сильною:
- монотерапія кортикостероїдами (КС) (⊕)
- колхіцин (⊕)
- циклоспорин А (⊕)
- комбінована терапія КС та імуномодуляторами (⊕⊕)
- інтерферон-γ 1b (⊕⊕⊕⊕)
- бозентан (⊕⊕⊕)
- етанерцепт(⊕⊕⊕).
2. Рекомендації проти використання таких засобів для лікування ІЛФ є слабкими; тобто ці методи лікування не можна застосовувати в більшості пацієнтів з ІЛФ, але вони можуть бути розумним вибором для меншості:
- комбінація ацетилцистеїну, азатіоприну і преднізону (⊕⊕)
- монотерапія ацетилцистеїном (⊕⊕)
- антикоагулянти (⊕⊕⊕)
- пірфенідон (⊕⊕).
3. Рекомендація щодо тривалої кисневої терапії в пацієнтів з ІЛФ та клінічно значущим спокоєм – сильна (⊕).
4. Рекомендація щодо трансплантації легень відповідним пацієнтам з ІЛФ є сильною (⊕).
5. Рекомендації проти проведення штучної вентиляції легень (ШВЛ) у пацієнтів із дихальною недостатністю внаслідок ІЛФ є слабкими; тобто ШВЛ не можна використовувати в більшості пацієнтів з ІЛФ, але вона може бути обґрунтованим вибором у меншості (⊕⊕).
6. Рекомендації щодо легеневої реабілітації в пацієнтів з ІЛФ є слабкими; тобто легеневу реабілітацію потрібно застосовувати в більшості пацієнтів з ІЛФ, але для меншості відмова від легеневої реабілітації може бути обґрунтованим вибором (⊕⊕).
7. Рекомендації щодо КС у пацієнтів із гострим загостренням ІЛФ є слабкими; тобто КС треба застосовувати в більшості пацієнтів із гострим загостренням ІЛФ, але невикористання КС може бути обґрунтованим вибором для меншості (⊕).
8. Рекомендації проти лікування ЛГ, пов’язаної з ІЛФ, є слабкими; тобто ЛГ не треба лікувати в більшості пацієнтів з ІЛФ, але лікування може бути обґрунтованим вибором для меншості (⊕).
9. Рекомендації щодо лікування безсимптомного ГЕР в пацієнтів з ІЛФ є слабкими; тобто безсимптомний ГЕР потрібно лікувати в більшості пацієнтів з ІЛФ, але відсутність лікування безсимптомного ГЕР може бути обґрунтованим вибором (⊕).
Згідно з опублікованими на сьогодні доказами, перевіреної фармакологічної терапії ІЛФ не існує. Попри те що кілька досліджень показали потенційну користь від деяких фармакологічних засобів, рекомендації, розроблені групою експертів щодо цих препаратів, були «слабка рекомендація проти». Для добре поінформованого пацієнта, який наполягає на фармакологічному лікуванні, пропонується вибирати засіб із переліку препаратів, який отримав слабку рекомендацію проти їх використання («слабка рекомендація проти»).
Лікарі, пацієнти та спонсори мають докладати спільних узгоджених зусиль для проведення добре спланованих клінічних досліджень, спрямованих на поліпшення результатів, у тому числі якості життя, у пацієнтів з ІЛФ. Група експертів визнає необхідність оновити рекомендації щодо лікування, коли з’являться нові та відповідні високоякісні докази щодо використання інших терапевтичних засобів, які стануть доступними для наукового дослідження.
Коментар робочої групи. На момент розробки клінічної настанови лікарський засіб із міжнародною непатентованою назвою преднізон зареєстровано в Україні лише у формі ректальних супозиторіїв.
В Україні замість преднізону використовують преднізолон.
An Official ATS/ERS/JRS /ALAT Clinical Practice Guideline: Treatment of Idiopathic Pulmonary Fibrosis. An Update of the 2011 Clinical Practice Guideline (2015)
Наступні рекомендації є новими або переглянутими порівняно з Настановою 2011 року, як показано в таблиці 5.
|
Таблиця 5. Порівняння рекомендацій у керівництвах із лікування ІЛФ 2015 і 2011 рр. |
||
|
Препарат |
Керівництво 2015 року |
Керівництво 2011 року |
|
Нові й переглянуті рекомендації |
||
|
Антикоагулянти (варфарин) |
Сильна рекомендація проти використання* |
Умовна рекомендація проти використання‡ |
|
Комбінація преднізону + азатіоприну + Nацетилцистеїну |
Сильна рекомендація проти використання† |
Умовна рекомендація проти використання† |
|
Селективний антагоніст рецепторів ендотеліну (амбрізентан) |
Сильна рекомендація проти використання† |
Не розглядався |
|
Нінтеданіб, інгібітор тирозинкінази з однією мішенню |
Сильна рекомендація проти використання* |
Не розглядався |
|
Нінтеданіб, інгібітор тирозинкінази з декількома мішенями |
Умовна рекомендація на користь використання* |
Не розглядався |
|
Пірфенідон |
Умовна рекомендація на користь використання* |
Умовна рекомендація проти використання† |
|
Подвійні антагоністи рецепторів ендотеліну (мацитентан, бозентан) |
Умовна рекомендація проти використання† |
Сильна рекомендація проти використання* |
|
Інгібітор фосфодіестерази‑5 (силденафіл) |
Умовна рекомендація проти використання* |
Не розглядався |
|
Рекомендації без змін |
||
|
Антацидна терапія |
Умовна рекомендація на користь використання‡ |
Умовна рекомендація на користь використання‡ |
|
Nацетилцистеїн у монотерапії |
Умовна рекомендація проти використання |
Умовна рекомендація проти використання† |
|
Терапія ЛГ за наявності ІЛФ |
Повторна оцінка попередньої рекомендації була відкладена |
Умовна рекомендація проти використання‡ |
|
Трансплантація легені: однобічна або двобічна трансплантація легені |
Формулювання рекомендації щодо однобічної або двобічної трансплантації легень була відкладена |
Не розглядалася |
|
Примітки.* – помірна переконливість оцінки ефекту; † – низька переконливість оцінки ефекту; ‡ – дуже низька переконливість оцінки ефекту. |
||
Коментар робочої групи. На момент розробки цієї клінічної настанови лікарський засіб із міжнародною непатентованою назвою мацитентан в Україні не зареєстрований.
Коментар робочої групи. Члени МРГ вважають за доцільне акцентувати увагу фахівців на лікарських засобах, що не рекомендуються до застосування при лікуванні ІЛФ:
• монотерапія КС. Сильна рекомендація, низька переконливість оцінки ефекту. За даними ретроспективних досліджень, монотерапія КС не впливає на виживання хворих з ІЛФ [1, 2], а їх тривале використання може супроводжуватися серйозними побічними ефектами [3, 4];
• цитостатики, як у вигляді монотерапії, так і в комбінації з КС. Сильна рекомендація, низька переконливість оцінки ефекту Немає достовірних доказів про поліпшення виживаності хворих на ІЛФ, які отримували цитостатики (аналоги азотистого іприту – циклофосфамід та інші імуносупресанти – азатіоприн) у вигляді монотерапії і в комбінації з КС [5, 6]. Терапія цитостатиками може супроводжуватися розвитком серйозних побічних ефектів;
• монотерапія N-ацетилцистеїном. Умовна рекомендація, низька переконливість оцінки ефекту. Монотерапія ацетилцистеїном порівняно з плацебо достовірно не поліпшувала жодного зі значущих для хворого показників, у тому числі FVC (-0,18 л і -0,19 л відповідно; р=0,77), виживаність (4,9 проти 2,5%; р=0,30) і частоту загострень ІЛФ (2,3% у кожній групі; р>0,99) [7];
• комбінована терапія ацетилцистеїном, азатіоприном і преднізолоном. Сильна рекомендація, низька переконливість оцінки ефекту. Комбінована терапія ацетилцистеїном, азатіоприном та преднізолоном у порівнянні з плацебо збільшує смертність і частоту госпіталізацій, а також не має значущих відмінностей щодо зміни FVC, DLCO і показників якості життя [7];
• антикоагулянти (варфарин). Сильна рекомендація, низька переконливість оцінки ефекту. Застосування варфарину в лікуванні ІЛФ пов'язане з підвищенням ризику летального наслідку [8]. Ця рекомендація стосується тільки перорального варфарину з цільовим міжнародним нормалізованим відношенням 2,0-3,0 і не передбачає використання інших антикоагулянтів за іншими показаннями. Пацієнти, які мають альтернативні і/або відомі показання до антикоагулянтної терапії, такі як венозна тромбоемболічна хвороба або фібриляція передсердь, мають дотримуватися рекомендацій щодо лікування цих захворювань незалежно від наявності в них основного захворювання ІЛФ;
• іматиніб, селективний інгібітор тирозинкінази, який пригнічує диференціювання і проліферацію легеневих фібробластів-міофібробластів, а також інгібує вироблення позаклітинного матриксу шляхом пригнічення ТФР і сигнального шляху трансформуючого фактору росту-β. Сильна рекомендація, помірна переконливість оцінки ефекту. Поки немає доказів користі іматинібу в пацієнтів з ІЛФ відносно запобігання прогресуванню захворювання або смертності. У контексті відсутності доведеної клінічної користі в цій рекомендації велике значення надається небажаним явищам і суттєвій вартості лікування [9;
• силденафіл, інгібітор фосфодіестерази‑5. Умовна рекомендація, помірна переконливість оцінки ефекту. Силденафіл не показав значного позитивного впливу щодо смертності (низька переконливість) або загострення ІЛФ (низька переконливість). При застосуванні силденафілу спостерігали деяке поліпшення якості життя при оцінці за респіраторним опитувальником лікарні Св. Георгія (помірна переконливість) і не було суттєвого поліпшення інших показників: FVC (помірна переконливість), DLCO (низька переконливість), задишка за шкалою Борга (помірна переконливість), насичення крові киснем (низька переконливість) або дистанція в тесті з 6-хвилинною ходьбою (низька переконливість) [10, 11];
• амбрізентан, селективний антагоніст рецепторів ендотеліну (ERA). Сильна рекомендація, низька переконливість оцінки ефекту. Амбрізентан сприяє прогресуванню захворювання, яке визначається як погіршення DLCO або FVC, незалежно від наявності або відсутності ЛГ (помірна переконливість). Крім того, амбрізентан не призводить до поліпшення показників відстані дистанції, пройденої в тесті з 6-хвилинною ходьбою, та якості життя [12];
• бозентан або мацитентан, подвійні антагоністи рецепторів ендотеліну (ERA та ERB). Умовна рекомендація, низька переконливість оцінки ефекту. При використанні бозентану або мацитентаму в пацієнтів з ІЛФ не виявлено загального впливу на смертність чи прогресування захворювання (низький ступінь переконливості), а також FVC (помірна переконливість), частоту небажаних явищ (висока переконливість) або серйозних небажаних явищ (висока переконливість) [13-15]. Крім того, не встановлено позитивного впливу терапії бозентаном на легеневу гемодинаміку в пацієнтів з ІЛФ із діагностованою ЛГ за результатами катетеризації правих відділів серця [16].
Для лікування пацієнтів з ІЛФ умовно рекомендовані такі фармакологічні засоби:
• Нінтеданіб, інгібітор тирозинкінази, який діє на кілька тирозинкіназ, у тому числі на фактор росту ендотелію судин, фактор росту фібробластів і рецептори ТФР (⊕⊕⊕, помірна впевненість в оцінках ефекту).
• Пірфенідон (⊕⊕⊕), помірна впевненість в оцінках ефекту).
Коментар робочої групи. Незважаючи на докази ефективності антифібротичних препаратів (уповільнення темпів прогресування ІЛФ) та прийнятний профіль безпеки, найгострішою проблемою їх застосування в Україні є висока вартість цих засобів.
Наказом МОЗ України від 24.12.2019 № 2664 «Про затвердження Змін до Переліку рідкісних (орфанних) захворювань, що призводять до скорочення тривалості життя хворих або їх інвалідизації та для яких існують визнані методи лікування» ІЛФ віднесено до рідкісних (орфанних) захворювань.
У настанові 2022 року внесено зміни щодо антацидної терапії: «Ми пропонуємо не лікувати пацієнтів з ІЛФ антацидними препаратами з метою покращення респіраторних результатів (умовна рекомендація, докази дуже низької якості)». Відповідно до настанов щодо ГЕР антацидні препарати та інші втручання можуть бути доцільними для пацієнтів і з ІЛФ, і із симптомами гастроезофагеальної рефлюксної хвороби (ГЕРХ) для поліпшення наслідків, пов’язаних із ГЕР. Крім того, не була рекомендована антирефлюксна операція для поліпшення респіраторних результатів у пацієнтів з ІЛФ: «Ми пропонуємо не направляти пацієнтів з ІЛФ на антирефлюксну операцію для поліпшення респіраторних результатів (умовна рекомендація, докази дуже низької якості)». Відповідно до настанов щодо ГЕР антирефлюксна операція може бути доцільною для пацієнтів з ІЛФ та симптомами ГЕРХ з метою покращення результатів, пов’язаних із ГЕР.
Висновки
Незважаючи на відсутність медикаментозних утручань, які підтримуються сильними рекомендаціями з лікування, надані умовні рекомендації з лікування новими препаратами, такими як пірфенідон і нінтеданіб.
Клініцисти, які займаються лікуванням пацієнтів з ІЛФ, мають приймати індивідуальні рішення спільно зі своїми пацієнтами, як це пропонується в умовних рекомендаціях, та обережно підходити до порівняння відносної чистої користі від одного втручання з іншим. Значні відмінності в умовах включення, заснованих на фізіологічних і анатомічних змінних, між дослідженнями, включеними в ці резюме доказів, а також варіабельність рівня переконливості загальної достовірності наявних оцінок ефекту є важливими факторами, які необхідно враховувати клініцисту при лікуванні пацієнта з ІЛФ.
Можливості комбінованих, послідовних або додаткових схем лікування з використанням препаратів, які увійшли до цього керівництва, на сьогодні не вивчені, тому рекомендації не надані. Для вирішення цих важливих питань необхідні майбутні прямі порівняльні РКД терапевтичних утручань. Крім того, невідома тривалість позитивного ефекту від застосування цих нових препаратів.
Необхідні подальші дослідження для більш точного визначення оптимальної тривалості терапії. Можна сподіватися, що результати таких очікуваних і поточних досліджень допоможуть знайти відповідь на ці питання найближчим часом.
Важливо зазначити, що в переважній більшості випадків пацієнти з ІЛФ старше 60 років вважаються літніми людьми і в них проявляється все більше супутніх захворювань, які потребують швидкого виявлення та визначення стратегії лікування. До них належать такі захворювання, як ЛГ, емфізема, обструкція дихальних шляхів, ГЕРХ, апное уві сні, ішемічна хвороба серця та ожиріння.
Паліативна терапія таких симптомів, як задишка, кашель і слабкість, а також симптоматична терапія невиліковно хворих необхідні пацієнтам з ІЛФ в кінці життя. У майбутніх дослідженнях необхідно розглянути ці питання як кінцеві точки при оцінці відповіді на нові стратегії лікування.
Трансплантація легень показана для підгрупи пацієнтів з ІЛФ, які відповідають критеріям; проте неясно, чи є однобічна або двобічна трансплантація легень кращою з точки зору довгострокових результатів. Оскільки в більшості центрів клінічне рішення щодо однобічної або двобічної трансплантації легень визначається декількома складними і, на перший погляд, довільними факторами, необхідні подальші багатоцентрові дослідження для визначення найбільш оптимального використання донорських легень, щоб максимально ефективно використовувати наявні органи.
Нарешті, підходи до персоналізованої медицини, такі як стратифікація лікування за анатомічними, клінічними або фізіологічними біомаркерами, виявленими в периферичній крові або в легенях (тканини або БАЛ), а також дослідження з використанням фармакогеноміки і фармакоекономіки варті майбутнього вивчення. Це дасть можливість лікарям, які лікують пацієнтів з ІЛФ, краще зрозуміти роль усе складніших і дорожчих лікувальних заходів, спрямованих на поліпшення результатів лікування пацієнтів із цим захворюванням.
Найголовніше, що за умови продовження спільних клінічних і фундаментальних досліджень на високому рівні, цілеспрямованих зусиль і наявності достатніх ресурсів і коштів надії на запобігання прогресуванню захворювання і, зрештою, на лікування цієї хвороби будуть виправдані.
Склад мультидисциплінарної робочої групи
Ю.І. Фещенко – генеральний директор ДУ «Національний науковий центр фтизіатрії, пульмонології та алергології імені Ф.Г. Яновського НАМН України», голова громадської організації «Асоціація фтизіатрів та пульмонологів України» (за згодою);
В.К. Гаврисюк – завідувач відділення інтерстиційних захворювань легень ДУ «Національний науковий центр фтизіатрії, пульмонології та алергології імені Ф.Г. Яновського НАМН України», заступник голови робочої групи (за згодою);
Н.Г. Горовенко – завідувачка кафедри лабораторної та медичної генетики Національного університету охорони здоров’я України імені П.Л. Шупика;
О.Я. Дзюблик – завідувач відділення технологій лікування неспецифічних захворювань легень ДУ «Національний науковий центр фтизіатрії, пульмонології та алергології імені Ф.Г. Яновського НАМН України» (за згодою);
Т.О. Перцева – ректор Дніпровського державного медичного університету, професор кафедри внутрішньої медицини 1;
М.М. Островський – завідувач кафедри фтизіатрії і пульмонології з курсом професійних хвороб Івано-Франківського національного медичного університету;
Я.О. Дзюблик – провідний науковий співробітник відділення інтерстиційних захворювань легень ДУ «Національний науковий центр фтизіатрії, пульмонології та алергології ім. Ф.Г. Яновського НАМН України» (за згодою);
Л.І. Конопкіна – завідувачка кафедри внутрішньої медицини 1 Дніпровського медичного університету;
Т.В. Кірєєва – доцент кафедри внутрішньої медицини 1 Дніпровського державного медичного університету;
Є.О. Меренкова – провідний науковий співробітник відділення інтерстиційних захворювань легень ДУ «Національний науковий центр фтизіатрії, пульмонології та алергології імені Ф.Г. Яновського НАМН України» (за згодою);
Н.Д. Рудницька – доцент кафедри фтизіатрії і пульмонології Львівського національного медичного університету імені Д. Галицького, завідувачка пульмонологічного відділу Львівського регіонального фтизіопульмонологічного центру (за згодою).
Методологічний супровід та інформаційне забезпечення
О.І. Гуленко – заступник директора Департаменту – начальник управління стандартизації медичної та реабілітаційної допомоги Департаменту стандартів у сфері охорони здоров’я ДП «Державний експертний центр Міністерства охорони здоров’я України», заступник голови робочої групи з методологічного супроводу;
О.О. Шилкіна – начальник відділу стандартизації медичної та фармацевтичної допомоги управління стандартизації медичної та реабілітаційної допомоги Департаменту стандартів у сфері охорони здоров’я ДП «Державний експертний центр Міністерства охорони здоров’я України».
Рецензенти:
А.В. Басанець – заступник директора з науки ДП «Науковий центр превентивної токсикології, харчової та хімічної безпеки імені академіка Л.І. Медведя МОЗ України»; член-кореспондент Національної академії медичних наук України, д. мед. н., професор.
Т.В. Константинович – професор кафедри пропедевтики внутрішньої медицини Вінницького національного медичного університету ім. М.І. Пирогова, д. мед. н., професор.
Перегляд клінічної настанови заплановано на 2030 рік.
Список літератури – у редакції.
Текст подано у скороченні. Текст адаптовано і уніфіковано відповідно до стандартів Тематичного випуску Медичної газети «Здоров’я України».
Повний текст настанови за посиланням: https://www.dec.gov.ua/wp-content/uploads/2025/07/2025_05_14_kn_ilf‑26.pdf
Тематичний номер «Пульмонологія. Алергологія. Риноларингологія» №3-4 (71-72), 2025 р.




