1 лютого, 2026
Позиціонування хворих та особливості анестезіологічного забезпечення при виконанні лапароскопічної (робот-асистованої) простатектомії з приводу доброякісної гіперплазії та раку простати
Автори: В.І. Горовий, к. мед. н., доцент, М.Л. Гомон, д. мед. н., професор, В.О. Шапринський, д. мед. н., професор, Р.Г. Церковнюк, к. мед. н., доцент, М.Д. Соснін, к. мед. н., доцент, О.М. Чайка, к. мед. н., доцент, Р.П. Морару-Бурлеску, д. філос. н., Г.В. Бевз, к. мед. н., доцент, С.К. Ліваковський, лікар-уролог

У статті представлено принцип позиціонування пацієнтів та особливості анестезіологічного забезпечення при виконанні лапароскопічної (робот-асистованої) простатектомії з приводу доброякісної гіперплазії та раку простати. Описано фізіологічні й патологічні стани, які супроводжують виконання даного втручання, а також пов’язані з ним ускладнення. Наведено методики належної фіксації пацієнтів при виконанні лапароскопічної (робот-асистованої) простатектомії та заходи профілактики ускладнень, пов’язаних із позиціонуванням. Розглянуто етапи передопераційної анестезіологічної підготовки, інтра- та післяопераційного ведення таких хворих.
Ключові слова: доброякісна гіперплазія та рак простати, положення Тренделенбурга, пневмоперитонеум, простатектомія, фіксація пацієнта, анестезіологічне ведення, ускладнення анестезії.
Лапароскопічна (робот-асистована) простатектомія як метод хірургічного втручання має значні переваги порівняно з відкритими операціями: чудова візуалізація, мінімальний розріз, менші травматичність втручання та крововтрата, менший післяопераційний больовий синдром, мінімальний відсоток інфекційних ускладнень, рання вертикалізація пацієнта, коротші післяопераційний ліжко-день та період реабілітації. Проте лапароскопічна (робот-асистована) хірургія простати не позбавлена специфічних ризиків, які зумовлені створенням пневмоперитонеуму, специфічним (під кутом 25-45 градусів) і тривалим перебуванням пацієнта в положенні Тренделенбурга, а також хірургічними й технічними складнощами з можливими вісцеральними та судинними ушкодженнями. Робот-асистовані операції на простаті, які виконують в основному з приводу раку простати, складають понад 60% усіх роботизованих хірургічних втручань [15]. З кожним роком збільшується кількість лапароскопічних робот-асистованих втручань з приводу доброякісної гіперплазії простати [20-22, 37].
Фізіологічні та патологічні стани, характерні для лапароскопічних (робот-асистованих) втручань на органах таза
При лапароскопічних (робот-асистованих) операціях на простаті з приводу доброякісної гіперплазії та раку простати використовують багатокомпонентну мультимодальну загальну анестезію з інтубацією трахеї та введенням міорелаксантів центральної дії. Лапароскопічна операція складається з чотирьох фаз: індукція (введення) анестезії, абдомінальна інсуфляція (наповнення газом), абдомінальна десуфляція та вихід з анестезії (рис. 1). Кожна фаза характеризується гемодинамічними та вентиляційними змінами.
Рис. 1. Фази лапароскопічної операції та гемодинамічні зміни у пацієнтів [7]:
SVR – системний опір судин; MAP – середній артеріальний тиск (АТ) (визначають як суму діастолічного АТ та третину різниці між систолічним і діастолічним АТ); CO – серцевий викид; HR – частота серцевих скорочень; RAP – тиск у правому передсерді; PCWP – тиск заклинювання в легеневих капілярах; CO/CI – співвідношення «серцевий викид /серцевий індекс»
Для створення пневмоперитонеуму використовують вуглекислий газ (СО2). Індукований СО2 пневмоперитонеум (карбоперитонеум) призводить до розвитку певних фізіологічних і патофізіологічних ефектів за допомогою двох механізмів: 1) механічних, пов’язаних із підвищенням внутрішньочеревного тиску (ВЧТ); 2) хімічних властивостей вуглекислого газу.
У нормі рівень ВЧТ коливається від 0 до 5 мм рт. ст. [1, 34]. Підвищення його відмічають при ожирінні, пухлинах органів черевної порожнини, асциті, вагітності, внутрішньочеревній кровотечі, кашлю, сміху. Існує шкала ВЧТ, яка впливає на тактику ведення хворих: І ступінь – 12-15 мм рт. ст.; ІІ ступінь – 16-20 мм рт. ст.; ІІІ ступінь – 21-25 мм рт. ст.; ІV ступінь – >25 мм рт. ст. [1]. Із підвищенням ВЧТ до рівня >20 мм рт. ст. виникає зменшення абдомінального перфузійного тиску до <60 мм рт. ст. і розвивається абдомінальний компартмент-синдром, який супроводжується органною дисфункцією. Ознаками абдомінального компартмент-синдрому є гіпоксемія, гіперкапнія, високий піковий інспіраторний і внутрішньоплевральний тиск, олігурія та напружений живіт.
Механічні ефекти. У відповідь на підвищення ВЧТ відбувається двофазна реакція організму. Спочатку кров басейну мезентеріальних судин спрямовується в бік торакального компартменту, збільшуються венозний притік і серцевий викид. Далі при підвищенні ВЧТ серцевий викид знижується, оскільки ємність мезентеріальних судин вже зменшена (рис. 2).
Рис. 2. Венозний притік крові до серця і серцевий викид у нормі (а) та при пневмоперитонеумі (б) [34]
Із підвищенням ВЧТ до 14-16 мм рт. ст. знижується серцевий викид (на 20%), значно (на 65%) підвищується загальний периферичний і легеневий (на 90%) опір, зменшується (на 24%) циркуляція крові у верхній мезентеріальній артерії (рис. 3) [1].
Рис. 3. Кровотік у мезентеріальних артеріях у нормі (а) та при пневмоперитонеумі (б) [34]
Збільшення системного судинного опору зберігається 1-2 год після десуфляції і є наслідком механічного стискання артеріальних стовбурів черевної порожнини, а також активації ренін-ангіотензивної системи у відповідь на зниження ниркового кровотоку. Коли ВЧТ сягає 15 мм рт. ст., кровотік зменшується в усіх органах черевної порожнини, крім надниркових залоз, а через 3 год після цього виникає транслокація бактерій. При таких показниках ВЧТ може виникати олігурія, а при його підвищенні до 30 мм рт. ст. розвивається анурія в результаті ішемічного ураження паренхіми нирок та розвитку гострої ниркової недостатності (ГНН). За даними D.F. Maerz et al. (2017) [25], ГНН після тривалих лапароскопічних операцій розвивається у 0,4-5,8% хворих.
Карбоперитонеум зумовлює підвищення ВЧТ із підняттям діафрагми, що призводить до зниження життєвої ємності легень, збільшення внутрішньогрудного тиску та зменшення функціональної залишкової ємності легень (functional residual capacity – FRC), зміни коефіцієнта вентиляції (ventilation perfusion ratio – V/Q), збільшення внутрішньолегеневого шунтування крові, гіпоксемії (рис. 4, 5). Ці функціональні порушення можливо частково компенсувати за рахунок збільшення частоти механічної вентиляції легень, оптимізації позитивного тиску наприкінці видиху (positive end-expiratory pressure – PEEP), а також збільшення частки вдихуваного кисню (FiO2). PEEP на рівні 5 мм рт. ст. слід вважати цільовим під час лапароскопічних операцій для зменшення можливого інтраопераційного ателектазу, спричиненого пневмоперитонеумом [23]. Це збільшує FRC, тим самим покращуючи газообмін та оксигенацію. Інтраопераційне підвищення тиску в дихальних шляхах на 40% збільшує ризик розвитку пневмотораксу, особливо у пацієнтів із хронічними захворюваннями дихальної системи [1].
Рис. 4. Нормальне розташування діафрагми у лежачому положенні пацієнта (а).
Вплив пневмоперитонеуму (б) та положення Тренделенбурга (в) на дихальну систему пацієнта під час лапароскопічних операцій [23]: Ecw – позаклітинна рідина; FRC – функціональна залишкова ємність легень
Рис. 5. Вплив пневмоперитонеуму (підвищення ВЧТ) та гіперкапнії на організм пацієнта (а, б) [7]
Зміна положення тіла хворого на операційному столі (положення Тренделенбурга) може призводити до респіраторних і кардіоваскулярних порушень. Тривале перебування в положенні Тренделенбурга зумовлює зниження венозного повернення крові до серця, у результаті чого серцевий викид зменшується на 30% (рис. 6, 7). У такому положенні виникає значне зниження індексу споживання кисню та коефіцієнта утилізації кисню тканинами, а також життєва ємність легень зменшується на 20%. Натомість спостерігається підвищення тиску на нижніх кінцівках і центрального венозного тиску.
Рис. 6. Вплив пневмоперитонеуму та положення Тренделенбурга на дихальну систему пацієнта при лапароскопічній (робот-асистованій) простатектомії [33]
Рис. 7. Вплив пневмоперитонеуму та положення Тренделенбурга на організм пацієнта при лапароскопічній (робот-асистованій) простатектомії [5]
Хімічні ефекти виникають при всмоктуванні СО2 судинним руслом, що може зумовити гіперкапнію та змішаний ацидоз. Збільшення тиску СО2 в артеріальній крові погіршує скоротливу здатність міокарда, синоатріальну провідність, знижує АТ, підвищує тонус блукаючого нерва, зміщує криву дисоціації оксигемоглобіну вправо (зменшення спорідненості до кисню). Газові емболії можуть спричиняти серцево-судинний колапс. Зі збільшення ВЧТ підвищується системний судинний опір за рахунок як механічного стиснення черевної аорти, так і продукції нейрогуморальних факторів, таких як вазопресин (активація ренін-ангіотензин-альдостеронової системи). Стиснення нижньої порожнистої вени зменшує венозне повернення крові та серцевий викид із подальшим зниженням АТ, особливо якщо хворий перебуває у стані гіповолемії.
Гіперкапнія, ацидоз, симпатична та вагусна стимуляція, розтягування очеревини можуть спричиняти порушення серцевого ритму у вигляді шлуночкової екстрасистолії, шлуночкової тахікардії і навіть фібриляції шлуночків. Вагусна стимуляція може також викликати брадиаритмію. Для запобігання цим негативним ефектам лапароскопії ВЧТ не має перевищувати 12 мм рт. ст. Зворотна позиція Тренделенбурга (підняття головного кінця хворого) також може призводити до гіпотонії через зменшення переднавантаження на серце за рахунок венозного наповнення нижніх кінцівок і таза та зменшення венозного повернення крові. Підвищення ВЧТ сприяє підвищенню внутрішньомозкового тиску, як і круте (максимально – 30-45 градусів) положення Тренделенбурга, що може спричиняти набряк мозку. Це викликає тимчасові неврологічні порушення, які пацієнти часто відмічають під час виходу із тривалих лапароскопічних операцій. Круте положення Тренделенбурга може призводити до набряку верхніх дихальних шляхів, який проявляться стридорозним диханням після екстубації (гучний, високочастотний дихальний шум, який виникає в дихальних шляхах, зазвичай у гортані чи трахеї, внаслідок звуження або обструкції). За даними літератури [25], набряк дихальних шляхів при лапароскопічних і робот-асистованих операціях виникає у 0,7-26% хворих.
Частота виникнення тромбоемболічних ускладнень після лапароскопічних операцій становить 0,5-0,6% і залежить від величини ВЧТ та положення Тренделенбурга [1, 2, 22, 25, 36]. Підвищення ВЧТ до 14-16 мм рт. ст. і положення Тренделенбурга спричиняють розвиток стійкого стазу крові у стегновій вені, а також її дилатацію (рис. 8).
Рис. 8. Стегнова вена в нормі (а) та розширення її зі стазом крові (б) при пневмоперитонеумі та положенні Тренделенбурга [34]
Крім того, виникають порушення в системі гемостазу. Основними причинами розвитку тромбоемболії при лапароскопічних операціях є пневмоперитонеум і положення Тренделенбурга, а також тріада Вірхова (ушкодження стінок судин, уповільнення кровотоку, зміна згортальних властивостей крові) [10, 13, 25]. Це слід враховувати при проведенні профілактики тромбоемболічних ускладнень у хворих перед простатектомією.
Таким чином, карбоперитонеум та позиціонування пацієнта (положення Тренделенбурга) можуть призводити до негативних легеневих, серцево-судинних, спланхнологічних та неврологічних порушень.
Патофізіологічні наслідки напруженого карбоперитонеуму та позиціонування пацієнта:
1) компресія нижньої порожнистої вени з наступним зменшенням венозного притоку крові до правих відділів серця;
2) порушення кровотоку в артеріях органів черевної порожнини;
3) порушення серцевої діяльності, що характеризуються зниженням серцевого викиду та ударного об’єму;
4) компресія легень при піднятті діафрагми зі зменшенням залишкової ємності, збільшенням мертвого простору, що призводить до гіперкапнії;
5) підвищення тиску в нижніх кінцівках, що призводить до різкого стазу крові, патологічної дилатації та ризику тромбоемболічних ускладнень;
6) подразнення діафрагмового й блукаючого нервів, що може ускладнюватися гикавкою, брадикардією, аритмією тощо;
7) набряк верхніх дихальних шляхів, що призводить до стридорозного дихання;
8) підвищення внутрішньочерепного та внутрішньоочного тиску, що може призводити до зміни/втрати зору;
9) позиціонування в положенні Тренделенбурга може спричиняти зміщення ендотрахеальної трубки, ушкодження нервів верхніх і нижніх кінцівок.
Підняття нижніх кінцівок сприяє порушенню артеріального притоку крові, а стиснення вен ніг фіксаторами для нижніх кінцівок та порушення венозного відтоку крові посилює гіпоксію м’язів нижніх кінцівок із виникненням болю, іноді – із розвитком рабдоміолізу та гострої ниркової недостатності внаслідок викиду у кровотік вільного міоглобіну з блокадою ниркових канальців у результаті міоглобінурійного нефрозу (компартмент-синдром нижніх кінцівок).
Фактори ризику цих ускладнень включають хірургічне втручання тривалістю більше 4 год, наявність у пацієнта ожиріння та розвинених м’язів нижніх кінцівок, захворювання периферичних судин, гіпотонію. Ці ризики можна зменшити, використовуючи під час втручання компресійні панчохи, регулярно рухаючи ногами пацієнта та використовуючи м’які підкладки для опори під щиколотки замість опор під литки/коліна. При тривалій операції пацієнта повертають у горизонтальне положення кожні 2 год, а нижні кінцівки масажують протягом 5-10 хвилин, перш ніж знову повернути в положення Тренделенбурга. Пульсоксиметр також розміщують на великому пальці ноги протягом усієї операції, щоб оцінити адекватність кровотоку дистальних ділянок нижніх кінцівок.
Інтраопераційна гіпотермія призводить до затримки виходу хворого з анестезії, збільшення частоти післяопераційних ускладнень, уповільнення репаративних процесів тощо. Під гіпотермією розуміють зниження центральної температури тіла нижче 36 °C. Для профілактики гіпотермії використовують підтримання постійної температури в операційній не нижче 21 °C, зігрівання розчинів для внутрішньовенного введення; вкривання хворого ковдрами або термовідбиваючими плівками; електро- або водяні матраци; інфрачервоне випромінювання, зігріваючі пристрої конвекційного тепла; зігрівання та зволоження газів, які потрапляють у дихальні шляхи.
Ускладнення, які виникають під час проведення анестезії та лапароскопічних (робот-асистованих) втручань [1]
А. Механічні (ендопорожнинні):
- синдром голки Veress (підшкірна емфізема тощо);
- синдром первинного троакара (ушкодження органів черевної порожнини та заочеревинного простору);
- синдром вторинних троакарів (ушкодження судин);
- візуальний синдром (аподактильне оперування в умовах карбоперитонеуму).
Б. Екстрапорожнинні ускладнення карбоперитонеуму:
- гемодинамічні порушення (тахікардія, аритмія, артеріальна гіпотензія або гіпертензія);
- порушення зовнішнього дихання (зниження насичення крові киснем, зменшення дихального об’єму, переміщення інтубаційної трубки в один із бронхів);
- макро- і мікрогазова емболія;
- інтраопераційна гіпотермія;
- післяопераційні нудота та блювання;
- аспірація вмісту шлунка в дихальні шляхи;
- тромбоемболічні ускладнення;
- ішемічні ускладнення;
- пневмоторакс і пневмомедіастинум;
- плечолопатковий синдром.
Правильне розміщення пацієнта у положенні Тренделенбурга при проведенні тривалих операцій на простаті може профілактувати плечолопатковий синдром, нейропатію нервових стовбурів верхніх і нижніх кінцівок, ушкодження рогівки ока (рис. 9-11).
Рис. 9. Положення Тренделенбурга при виконанні лапароскопічних операцій на простаті [26]
Рис. 10. Пристрій для захисту рогівки хворого під час виконання лапароскопічних (робот-асистованих) операцій на простаті [26]
Рис. 11. Можливі ушкодження (рогівки; плечового, малогомілкового, ліктьового нервів) при тривалому перебуванні хворого у крутому положенні Тренделенбурга при виконанні лапароскопічних (робот-асистованих) операцій на простаті [31]
За даними літератури [25], нейропатію нервових стовбурів верхніх кінцівок виявляють у 0,25-1,8% хворих після тривалих лапароскопічних операцій, нейропатію нервових стовбурів нижніх кінцівок – у 0,3-2% випадків, ушкодження рогівки ока – у 0,013-0,17%, а ішемічну нейропатію зорового нерва – у 0,05%. M.J. Danic et al. (2007) [14] після проведення 1500 лапароскопічних робот-асистованих простатектомій у хворих із раком простати виявили ушкодження рогівки ока у 3% випадків. Велике значення слід приділяти фіксації пацієнта з метою профілактики його зміщення та позиційних ускладнень (рис. 12-16).
Рис. 12. Правильна фіксація грудної клітки хворого у положенні Тренделенбурга при виконанні лапароскопічних (робот-асистованих) операцій на простаті [20]. Забезпечено вільний доступ до лівої ліктьової вени
Рис. 13. Неправильна фіксація хворого в положенні Тренделенбурга при виконанні лапароскопічних (робот-асистованих) операцій на простаті, яка обмежує рухливість грудної клітки [22]
Рис. 14. Правильне положення хворого при виконанні лапароскопічних (робот-асистованих) операцій на простаті із профілактичними застереженнями [21]
Рис. 15. Можливі ушкодження при тривалому знаходженні хворого у крутому положенні Тренделенбурга (вигляд збоку) [22]: 1 – ушкодження малогомілкового нерва; 2 – ушкодження стегнового та бічного шкірного нервів стегна при тривалому згинанні стегна; 3 – ушкодження плечового сплетення між ключицею та першим ребром; 4 – алопеція (облисіння); 5 – ушкодження кисті та пальців при згинанні; 6 – компартмент-синдром нижніх кінцівок (стаз крові, дилатація вен, ішемія м’язів); 7 – ушкодження м’яких тканин верхніх кінцівок; 8 – ушкодження м’яких тканин нижніх кінцівок; 9 – ушкодження рогівки та ока; 10 – набряк дихальних шляхів; 11 – ішемія та некроз м’язів нижніх кінцівок
Рис. 16. Можливі ушкодження при тривалому знаходженні хворого у крутому положенні Тренделенбурга (вигляд зверху) [22]
Топографія ліктьового нерва та місце його стиснення з виникненням нейропатії представлені на рис. 17, топографія малогомілкового нерва та місце його стиснення – на рис. 18. Для уникнення нейропатії малогомілкового нерва та стиснення м’язів нижньої кінцівки використовують спеціальні стремена Allen Stirrups (рис. 19). O. Raz et al. (2015) для зменшення тиску тіла на м’які тканини плечей та внутрішньоочного тиску у крутому положенні Тренделенбурга запропонували модифіковане положення (Z Trendelenburg) [30], за якого навантаження припадає на спину пацієнта, а голова знаходиться в горизонтальній позиції (рис. 20, 21).
Рис. 17. Топографія ліктьового нерва та місце його стиснення при виконанні тривалих лапароскопічних (робот-асистованих) операцій (а). Профілактика ушкодження ліктьового нерва при лапароскопічних (робот-асистованих) операціях на простаті (б)
Рис. 18. Топографія малогомілкового нерва та місце його стиснення (вказано червоною стрілкою) при лапароскопічних (робот-асистованих) операціях на простаті (а, б)
Рис. 19. Стремена “Allen Stirrups” для уникнення ушкодження малогомілкового нерва та стиснення м’язів нижньої кінцівки пацієнта в крутому (максимальному)
положенні Тренделенбурга [12]
Рис. 20. Ризик ішемічних ушкоджень тканин плечей при крутому (максимальному) положенні Тренделенбурга та застосуванні плечових підтримувачів [26]
Рис. 21. Звичайне (а) та модифіковане (Z Trendelenburg) (б) положення Тренделенбурга при виконанні лапароскопічних (робот-асистованих) операцій на простаті [30]
Для уникнення тиску на плечі у крутому положенні Тренделенбурга використовують гелієву підкладку під спину (плечі) Big Bag Positioner (див. рис. 14). Для уникнення ушкодження стегнового, малогомілкового та сідничного нервів необхідно дотримуватися правильного розташування й згинання нижніх кінцівок пацієнта у положенні Тренделенбурга (рис. 22) [4].
Рис. 22. Вимоги до розташування нижніх кінцівок пацієнта в положенні Тренделенбурга для уникнення ушкодження стегнового, малогомілкового та сідничного нервів [4]. Розведення ніг не має перевищувати 45 градусів
Ризик ушкодження
Патофізіологічним механізмом синдрому післяопераційної нудоти та блювання є активація серотонінових рецепторів центральної нервової системи, а також периферичної нервової системи. Абдомінальні операції практично завжди супроводжуються синдромом післяопераційних нудоти та блювання внаслідок стимуляції механо- та хеморецепторів травного тракту [1]. Блювання може бути причиною тяжких ускладнень: регургітації, аспірації, порушення прохідності верхніх дихальних шляхів, підвищення ВЧТ та ін.
Уведення до схеми передопераційної підготовки ондансетрону в дозуванні 4 мг внутрішньовенно болюсно або крапельно за 20 хвилин до втручання значно знижує ризик виникнення цього ускладнення. Медикаменти, які використовують для усунення післяопераційних нудоти та блювання, включають препарати наступних груп: селективні антагоністи серотонінових рецепторів, антагоністи субстанції P/рецептора нейрокініну 1, антагоністи H1-рецепторів, глюкокортикоїди, бутирофенони, похідні бензаміду та антихолінергічні засоби [21]. Аспірацію вмісту шлунка в дихальні шляхи, за даними літератури, виявляють у 0,01-0,04% хворих [25].
Ішемічні ускладнення (стенокардія, аритмія, гострий коронарний синдром, гострі порушення мозкового кровотоку, некроз стінки кишки) виникають в умовах пневмоперитонеуму у хворих похилого віку, при зниженні резервних властивостей організму, а також у пацієнтів із супутніми захворюваннями (ішемічна хвороба серця, атеросклероз, цукровий діабет та ін.). Для профілактики ішемічних ускладнень передопераційно використовують гіпербаричну оксигенацію або вводять антигіпоксанти (бемітил або неотон).
Газова емболія частіше виникає в перші хвилини лапароскопічної операції внаслідок пункції голкою Veress судин із наступним введенням газу в судинне русло або коли газ проникає через відкритий дефект у разі ушкодження вени. Клінічна картина газової емболії: раптова артеріальна гіпотензія, аритмія, ціаноз, гіпоксія, гіпер- або гіпокапнія; наявність булькаючого водно-повітряного шуму («колесо млина»); розширення комплексу QRS на електрокардіограмі; розвиток набряку легень і головного мозку, зупинка серця [1, 5, 8].
Лікувальні дії: швидка десуфляція, проведення штучної вентиляції легень (ШВЛ) чистим киснем із позитивним тиском наприкінці видиху; ШВЛ у ритмі гіпервентиляції; негайне переведення хворого в положення Дюранта (на лівому боці з опущеним головним кінцем); видалення газу із правих відділів серця шляхом пункції серця або катетеризації підключичної вени; при зупинці серця – негайна серцево-легенева і церебральна реанімація; гіпербароокситерапія.
Пневмоторакс – cкупчення газу (повітря) у плевральній порожнині з одночасним підвищенням у ній тиску, внаслідок чого розвивається поступовий колапс легені. При спонтанному пневмотораксі газ (повітря) потрапляє в плевральну порожнину через розрив емфізематозних альвеол на поверхні легені, розпад легеневої тканини (туберкульоз, пухлина, абсцес) [9, 16, 24, 33]. Пневмоторакс часто виникає у правій плевральній порожнині. Типи пневмотораксу представлені на рис. 23.
Рис. 23. Типи пневмотораксу [25]
Якщо повітря, що потрапило у плевральну порожнину, не сполучається з атмосферним повітрям, пневмоторакс називають закритим. Це найлегший тип пневмотораксу, оскільки повітря потенційно може самостійно поступово вийти з плевральної порожнини. При напруженому пневмотораксі повітря потрапляє в плевральну порожнину під час вдиху, але не виділяється при видоху, що зумовлює підвищення тиску в плевральній порожнині, подразнення нервових закінчень, зміщення середостіння та плевропульмональний колапс. Проникнення газу відбувається також через анатомічний дефект у діафрагмі (грижа діафрагми тощо). При цьому спостерігають підшкірну емфізему грудної клітки, підвищення тиску в дихальних шляхах, гіперкапнію, зниження артеріального тиску (АТ) і сатурацію кисню.
Лікувальні дії: припинення операції, негайна десуфляція, проведення рентгенографії легень, дренування плевральної порожнини (рис. 24, 25).
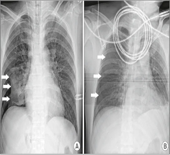
Рис. 24. Правобічний пневмоторакс на рентгенограмі грудної клітки: стрілками вказана вісцеральна плевра, що покриває праву легеню
Рис. 25. Дренування плевральної порожнини за Бюлау при правобічному пневмотораксі
За даними літератури [25], підшкірну емфізему виявляють у 0,3-3,9% хворих (рис. 26).
Рис. 26. Підшкірна емфізема живота (вказана стрілками) [32]
Абсолютні протипоказання до лапароскопічної (робот-асистованої) простатектомії у хворих на доброякісну гіперплазію простати [21, 34]:
- неконтрольована коагулопатія;
- тяжка серцево-легенева патологія;
- тяжке хронічне обструктивне захворювання легень (ХОЗЛ);
- ожиріння ІІІ ступеня (індекс маси тіла >40 кг/м2).
Відносні протипоказання до лапароскопічної (робот-асистованої) простатектомії у хворих на доброякісну гіперплазію простати:
- ожиріння;
- спайкова хвороба в результаті попередніх втручань на органах черевної порожнини;
- інфекційні процеси передньої черевної стінки;
- кишкова непрохідність;
- велика аневризма черевного відділу аорти;
- глаукома.
Передопераційний огляд пацієнта та анестезіологічна підготовка
Попередньо проводиться детальний збір анамнезу та фізикальне обстеження, щоб оцінити, чи здатний пацієнт перенести хірургічне втручання, яке пов’язане з тривалим перебуванням у положенні Тренделенбурга. Це положення має негативний вплив, особливо на серцево-судинну та дихальну системи. Легенева патологія становить високий ризик у таких випадках, оскільки призводить до високого пікового тиску в дихальних шляхах для подолання підвищеного ВЧТ, спричиненого пневмоперитонеумом і крутим (максимальним) положенням Тренделенбурга. Ожиріння створює ризик утрудненої інтубації, підвищений ризик ішемічної хвороби серця, легеневої дисфункції, діабету та довготривалості операції [1, 3, 21, 33, 34]. У таких хворих під загальною анестезією у положенні Тренделенбурга порушується артеріальна оксигенація, а пневмоперитонеум посилює це порушення. Слід виключити наявність глаукоми в анамнезі, оскільки екстремальне положення Тренделенбурга пов’язане з підвищенням внутрішньоочного та внутрішньочерепного тиску. Таким хворим необхідна консультація окуліста з відповідним обстеженням.
Слід дотримуватися протоколу профілактики тромбоемболічних ускладнень та антибіотикопрофілактики. Компресійні пристрої та панчохи відіграють велику роль у профілактиці тромбозу вен нижніх кінцівок.
Інтраопераційне ведення хворих
Простатектомія при доброякісній гіперплазії та раку простати може супроводжуватись інтраопераційною кровотечею та крововтратою, тому під час операції має бути забезпечений вільний доступ до ліктьових вен, а також слід використовувати широкопросвітні внутрішньовенні голки. Крім того, мають бути доступні всі стандартні моніторингові заходи згідно з рекомендаціями Американського товариства анестезіологів (ASA), включаючи електрокардіограму, пульсоксиметрію, контроль АТ, капнометрію та моніторинг температури тіла.
Показаний стандартний ввідний наркоз, який включає забезпечення прохідності дихальних шляхів за допомогою ендотрахеальної трубки відповідного розміру, яку слід належним чином закріпити, оскільки існує висока ймовірність її міграції. Міграція ендотрахеальної трубки призведе до колапсу невентильованої легені й посилення гіпоксемії (через положення пацієнта та пневмоперитонеум). Розташування трубки слід часто перевіряти, якщо пацієнт знаходиться у крутому положенні Тренделенбурга. Дихальний об’єм слід підтримувати в межах 6-8 мл/кг із тиском, що не перевищує 30 см вод. ст. Позитивний тиск наприкінці видиху (4-7 см вод. ст.) знижує ймовірність ателектазу, покращує механіку дихання та відновлює функціональну залишкову ємність легень.
Для запобігання зміщенню й падінню пацієнта необхідно використовувати ремені та фіксатори. Для підтримання водно-електролітного рідинного балансу перевагу віддають збалансованим сольовим розчинам. Гіпотермії слід уникати за допомогою грілки або матраців із підігрівом.
Надмірна інфузійна терапія, пневмоперитонеум і круте положення Тренделенбурга збільшують ймовірність набряку дихальних шляхів та невдалої екстубації. Когнітивне відновлення може бути уповільнене набряком головного мозку та підвищеним внутрішньочерепним тиском під час тривалої операції. Предиктором підвищення внутрішньочерепного тиску є наявність періорбітального набряку. Перед інтубацією проводять тест на герметичність дихальних шляхів для оцінки ймовірності стридору після екстубації. Пацієнтам, які не відповідають вимогам екстубації, має бути призначена планова вентиляція легень у відділенні (палаті) інтенсивної терапії.
Післяопераційне ведення хворих
Пацієнтів зазвичай екстубують на операційному столі після виконання лапароскопічної (робот-асистованої) простатектомії, і вони рідко потребують планової вентиляції легень. Однак більшість хворих потребують перебування у відділенні інтенсивної терапії протягом однієї-двох діб.
Післяопераційні ускладнення зазвичай рідкісні, як і необхідність переливання компонентів крові. Зрідка може виникнути паралітична кишкова непрохідність. Слід проводити ретельний моніторинг специфічних ускладнень, пов’язаних із пневмоперитонеумом або положенням пацієнта, таких як підшкірна емфізема, гіперкапнія, пневмоторакс.
Для запобігання легеневим ускладненням і з метою швидкого відновлення застосовують мультимодальну аналгезію. Системна аналгезія може бути забезпечена нестероїдними протизапальними препаратами, такими як парацетамол і диклофенак, а також опіоїдами (фентаніл і трамадол). Гідратацію підтримують введенням збалансованих сольових розчинів і раннім пероральним прийомом рідини. Використовують мультимодальний підхід для профілактики й лікування післяопераційних нудоти та блювання відповідно до спеціальних рекомендацій. Проводять профілактику тромбозу глибоких вен нижніх кінцівок. Важливим є проведення технік дихальної фізіотерапії для зменшення легеневих ускладнень.
Анестезіологічні ризики та особливості ведення хворих під час лапароскопічних (робот-асистованих) операцій на органах черевної порожнини й таза представлено в табл. 1-3.
|
Таблиця 1. Анестезіологічні ризики та ведення хворих під час лапароскопічних (робот-асистованих) операцій на органах черевної порожнини й таза [27, 34] |
||
|
Система організму |
Анестезіологічні ризики |
Ведення хворих |
|
Кардіоваскулярна |
Зниження венозного повернення крові до серця при пневмоперитонеумі Зменшення мезентеріальної перфузії при пневмоперитонеумі Гіпотензія Підвищений ризик тромбозу глибоких вен (ТГВ) нижніх кінцівок |
Ознайомтеся з передопераційною консультацією кардіолога у хворих із вродженими вадами та іншими хворобами серця Повільна інсуфляція Уникайте надмірної кількості кристалоїдів Забезпечте адекватне венозне повернення крові Підтримуйте адекватний середній АТ за допомогою вазопресорів за потреби Профілактика ТГВ нижніх кінцівок |
|
Респіраторна |
Гіперкапнія (зниження вентиляції внаслідок резервного об’єму видиху, функціональної залишкової ємності, інсуфляції СО2) Гіпоксемія (ателектаз та зниження вентиляції легень) |
Використовуйте найнижчий тиск перитонеальної інсуфляції, необхідний для забезпечення хірургічної візуалізації ШВЛ із контрольованим тиском |
|
Дихальні шляхи |
Набряк дихальних шляхів Підшкірна емфізема |
Перевірте правильність положення ендотрахеальної трубки Перевірте манжетку на герметичність перед екстубацією Розумне введення рідини для зменшення рівня ризику набряків дихальних шляхів |
|
Нервова |
Підвищення внутрішньочерепного тиску Підвищення внутрішньоочного тиску Зміни/втрата зору Гіпотензія Зниження церебральної перфузії |
Перевірте, чи немає обладнання, яке створює зовнішній тиск на очі, шию, голову Підтримуйте адекватний середній АТ для церебральної перфузії Ознайомтеся з консультацією невропатолога у пацієнтів із ризиком підвищення внутрішньочерепного та внутрішньоочного тиску |
|
Позиціонування |
Травма нервів Компартмент-синдром Обмежений доступ до дихальних шляхів, кінцівок |
Забезпечте належний артеріальний та венозний доступ перед позиціонуванням Адекватна амортизація всіх фіксованих ділянок тіла Зменшення ризику ковзання пацієнта: протиковзна білизна та поперечні ремені для кріплення тулуба з підкладками Використовуйте найменший кут положення Тренделенбурга та найкоротший період хірургічного втручання |
|
Таблиця 2. Позиціонування пацієнта під час лапароскопічних (робот-асистованих) операцій, фізіологічні та фізичні наслідки, ведення хворих [34] |
||
|
Позиціонування пацієнта |
Наслідки |
Ведення хворих |
|
Фізіологічні наслідки положення Тренделенбурга |
Низхідний (головний) рух діафрагми із вмістом черевної порожнини у поєднанні з пневмоперитонеумом Зменшення легеневого комплаєнсу (податливості) Зменшення функціональної залишкової ємності легень Зменшення дихального об’єму Збільшення пікового тиску плато у дихальних шляхах Невідповідність об’єму/частоти вентиляційної перфузії Зменшення життєвої ємності легень Підвищення внутрішньочерепного тиску Підвищення внутрішньоочного тиску |
Ретельна передопераційна оцінка здатності пацієнта переносити положення Тренделенбурга, наприклад при: • тяжкому захворюванні легень (ХОЗЛ) • ожирінні • глаукомі |
|
Фізичні наслідки положення Тренделенбурга |
Зміщення ендотрахеальної трубки Рефлюкс кислого вмісту шлунка Набряк верхніх дихальних шляхів, періорбітальний набряк і набряк мозку Післяопераційне ураження рогівки та втрата зору Зміщення тулуба під час позиціонування |
Забезпечте видимість обличчя хворого Розгляньте можливість використання орогастрального зонда при тривалих операціях Переконайтеся, що ендотрахеальна трубка розташована правильно Обмежте кількість інсуфляції СО2 для зменшення венозного застою у верхніх кінцівках Контролюйте кількість введення рідини Забезпечте належний захист очей, щоб уникнути ушкодження рогівки Переконайтесь, що ділянки фіксації тіла пацієнта мають м’які підкладки Більшість допоміжних засобів (таких, як плечові корсети) пов’язані з нейропатичними ураженнями Розміщення пульсоксиметра на пальці |
|
Таблиця 3. Пневмоперитонеум: можливі ускладнення та ведення хворих [34] |
||
|
Пневмоперитонеум |
Наслідки для організму |
Ведення хворих |
|
Тривала безперервна інсуфляція холодним газом |
Гіпотермія Венозна повітряна емболія Підшкірна емфізема Пневмоторакс, пневмомедіастинум, пневмоперикард |
Переконайтесь, що пацієнт має теплу білизну Усунення пневмоперитонеуму Гіпервентиляція з киснем Покладіть пацієнта на лівий бік Залиште пацієнта в положенні Тренделенбурга Розгляньте можливість аспірації за допомогою центрального венозного катетера Постійний нагляд |
|
Фізіологічні наслідки |
Зменшення венозного повернення може призвести до порушення гемодинаміки Збільшення тиску наповнення лівого шлуночка Зменшення серцевого викиду Збільшення судинного опору та середнього АТ Зменшення ниркового, черевного та портального кровотоку Активація ренін-ангіотензинової системи Збільшення рівня вазопресину Гіперкапнія та респіраторний ацидоз |
Ретельний відбір пацієнтів Зменшення діурезу, цілеспрямована інфузійна терапія Розгляньте можливість проведення ШВЛ із контрольованим тиском |
Під час лапароскопічних робот-асистованих втручань через наявність операційної консолі з панелями управління доступ до пацієнта утруднений, що вимагає раціонального розміщення анестезіологічного обладнання та систем моніторингу (рис. 27).
Рис. 27. Розміщення хірургічної бригади при виконанні лапароскопічних (робот-асистованих) операцій на простаті [21]
Таким чином, малоінвазивна лапароскопічна (робот-асистована) трансперитонеальна простатектомія у хворих на доброякісну гіперплазію та рак простати вимагає створення пневмоперитонеуму та розміщення пацієнта у положенні Тренделенбурга, що має анестезіологічні ризики проведення хірургічного втручання. Лапароскопічна (робот-асистована) екстраперитонеальна простатектомія зменшує анестезіологічні ризики втручання, але не гарантує уникнення потрапляння СО2 у черевну порожнину при ушкодженні очеревини. Злагоджена робота хірургічної й анестезіологічної бригад є запорукою успішного виконання лапароскопічної (робот-асистованої) простатектомії.
Список літератури – у редакції.
Тематичний номер «Хірургія. Ортопедія. Травматологія. Інтенсивна терапія» № 5 (67), 2025 р.
Горовий В.І.
![Рис. 10. Пристрій для захисту рогівки хворого під час виконання лапароскопічних (робот-асистованих) операцій на простаті [26] Рис. 10. Пристрій для захисту рогівки хворого під час виконання лапароскопічних (робот-асистованих) операцій на простаті [26]](/multimedia/userfiles/images/2025/Hirurg_5_2025/Hirurg_5_2025_st20_pic10.webp)
![Рис. 11. Можливі ушкодження (рогівки; плечового, малогомілкового, ліктьового нервів) при тривалому перебуванні хворого у крутому положенні Тренделенбурга при виконанні лапароскопічних (робот-асистованих) операцій на простаті [31] Рис. 11. Можливі ушкодження (рогівки; плечового, малогомілкового, ліктьового нервів) при тривалому перебуванні хворого у крутому положенні Тренделенбурга при виконанні лапароскопічних (робот-асистованих) операцій на простаті [31]](/multimedia/userfiles/images/2025/Hirurg_5_2025/Hirurg_5_2025_st20_pic11.webp)
![Рис. 13. Неправильна фіксація хворого в положенні Тренделенбурга при виконанні лапароскопічних (робот-асистованих) операцій на простаті, яка обмежує рухливість грудної клітки [22] Рис. 13. Неправильна фіксація хворого в положенні Тренделенбурга при виконанні лапароскопічних (робот-асистованих) операцій на простаті, яка обмежує рухливість грудної клітки [22]](/multimedia/userfiles/images/2025/Hirurg_5_2025/Hirurg_5_2025_st20_pic13.webp)
![Рис. 14. Правильне положення хворого при виконанні лапароскопічних (робот-асистованих) операцій на простаті із профілактичними застереженнями [21] Рис. 14. Правильне положення хворого при виконанні лапароскопічних (робот-асистованих) операцій на простаті із профілактичними застереженнями [21]](/multimedia/userfiles/images/2025/Hirurg_5_2025/Hirurg_5_2025_st20_pic14.webp)
![Рис. 15. Можливі ушкодження при тривалому знаходженні хворого у крутому положенні Тренделенбурга (вигляд збоку) [22] Рис. 15. Можливі ушкодження при тривалому знаходженні хворого у крутому положенні Тренделенбурга (вигляд збоку) [22]](/multimedia/userfiles/images/2025/Hirurg_5_2025/Hirurg_5_2025_st20_pic15.webp)
![Рис. 16. Можливі ушкодження при тривалому знаходженні хворого у крутому положенні Тренделенбурга (вигляд зверху) [22] Рис. 16. Можливі ушкодження при тривалому знаходженні хворого у крутому положенні Тренделенбурга (вигляд зверху) [22]](/multimedia/userfiles/images/2025/Hirurg_5_2025/Hirurg_5_2025_st20_pic16.webp)

![Рис. 19. Стремена “Allen Stirrups” для уникнення ушкодження малогомілкового нерва та стиснення м’язів нижньої кінцівки пацієнта в крутому (максимальному) положенні Тренделенбурга [12] Рис. 19. Стремена “Allen Stirrups” для уникнення ушкодження малогомілкового нерва та стиснення м’язів нижньої кінцівки пацієнта в крутому (максимальному) положенні Тренделенбурга [12]](/multimedia/userfiles/images/2025/Hirurg_5_2025/Hirurg_5_2025_st20_pic19.webp)
![Рис. 20. Ризик ішемічних ушкоджень тканин плечей при крутому (максимальному) положенні Тренделенбурга та застосуванні плечових підтримувачів [26] Рис. 20. Ризик ішемічних ушкоджень тканин плечей при крутому (максимальному) положенні Тренделенбурга та застосуванні плечових підтримувачів [26]](/multimedia/userfiles/images/2025/Hirurg_5_2025/Hirurg_5_2025_st20_pic20.webp)
![Рис. 21. Звичайне (а) та модифіковане (Z Trendelenburg) (б) положення Тренделенбурга при виконанні лапароскопічних (робот-асистованих) операцій на простаті [30] Рис. 21. Звичайне (а) та модифіковане (Z Trendelenburg) (б) положення Тренделенбурга при виконанні лапароскопічних (робот-асистованих) операцій на простаті [30]](/multimedia/userfiles/images/2025/Hirurg_5_2025/Hirurg_5_2025_st20_pic21.webp)
