27 жовтня, 2025
Ішемічний інсульт, ускладнений поліорганною недостатністю
Настане час, коли наші нащадки дивуватимуться, що ми не знали таких очевидних речей
Сенека Старший
Судинні захворювання головного мозку: поширеність, аспекти перебігу, прогноз

Судинні захворювання головного мозку (ГМ) залишаються найважливішою проблемою клінічної неврології. Це пояснюється значною поширеністю, високою смертністю та інвалідизацією пацієнтів після гострих порушень мозкового кровообігу (ГПМК). При цьому відзначається зростання даних показників протягом останніх років у багатьох країнах світу, зокрема й в Україні.
Щорічно у світі церебральний інсульт переносять близько 15 млн осіб. В Україні щороку госпіталізують орієнтовно 140 тис. осіб з інсультами. Лише минулого року понад 118 тис. пацієнтів потрапили до лікарні з ішемічним інсультом, а геморагічний було діагностовано у понад 21 тис. осіб. Із початком повномасштабного вторгнення в Україні кількість церебральних інсультів зросла в середньому на 16%. Є також дані про «омолодження» інсульту, при цьому частка пацієнтів віком до 55 років, які перенесли ГПМК, збільшилася із 12,9 до 18,6% [1]. Серед українців інсульти «помолодшали» на 10‑15 років через війну, постійний стрес та напруження.
Тяжкий ішемічний інсульт на сьогодні залишається значущою медичною проблемою. Тяжкість стану пацієнтів зумовлена поширеністю ураження ГМ, безпосереднім або опосередкованим ушкодженням життєво важливих центрів стовбура мозку, глибоким порушенням рівня свідомості, розвитком на цьому тлі неврологічних ускладнень, порушень дихання і ковтання. Це потребує проведення всеосяжного комплексу лікувальних заходів в умовах відділень нейрореанімації, включно із тривалою штучною вентиляцією легень (ШВЛ) [2]. Прогноз у таких пацієнтів як щодо летальності, так і якості подальшого життя залишається несприятливим.
Останніми роками, завдяки ефективній та своєчасній нейрореанімаційній допомозі, пацієнти з тяжкими формами інсульту дедалі частіше переживають найгостріший період, і неврологічні ускладнення інсульту в багатьох випадках вже не визначають тяжкості стану хворих та летальних наслідків. На перший план виступає екстрацеребральна патологія.
На тлі розвитку інсульт-асоційованих екстрацеребральних ускладнень відбувається відхилення життєво важливих показників із боку центральної нервової, дихальної, серцево-судинної та інших систем, що визначається як органна недостатність або дисфункція [3]. Гостро розвинена недостатність функцій двох та більше органів або функціональних систем, які не здатні підтримувати сталість внутрішнього середовища організму, визначається як поліорганна недостатність (ПОН). Більш ніж у половині випадків ПОН за тяжкого інсульту має багатокомпонентний характер із залученням до патологічного процесу 3‑4 органів або систем. Взаємообтяжливий вплив недостатності різних органних систем зумовлює розгляд ПОН як єдиного процесу, що впливає на перебіг та наслідки ішемічного інсульту [4].
Клінічна картина за приєднання ПОН
Приєднання ПОН значно погіршує стан пацієнтів із тяжким інсультом і підвищує ймовірність летального наслідку. Недостатність двох органів та/або функціональних систем призводить до смерті у 50%, трьох – у 75%, а чотирьох систем – у 90% випадків [4].
Із перших хвилин масивного пошкодження ГМ при інсульті страждає центральний регуляторний орган. Провідною ланкою патогенезу екстрацеребральних ускладнень, формування ПОН під час тяжкого інсульту слід розглядати порушення регуляторно-трофічних впливів ГМ внаслідок безпосереднього або опосередкованого впливу на церебро-вісцеральні зв’язки, гіпоталамо-гіпофізарну ділянку, структури лімбічної системи, а також на центри регуляції життєво важливих функцій у стовбурі ГМ. Загальновідомі патогенетичні механізми ПОН реалізуються за тяжкого інсульту в умовах глибокого пригнічення свідомості аж до коми та розвитку неврологічних ускладнень – набряку мозку, гострої обструктивної гідроцефалії, прориву крові у шлуночкову систему, а також центральних порушень дихання і ковтання, розладів вегетативної та ендокринної регуляції з розвитком гемодинамічних порушень, гіпертермії та гіподинамії [5].
ГПМК із розвитком інфаркту та/або крововиливу у ГМ призводить до раптової втрати центрального нейрогенного контролю над вісцеральними процесами. Провідна роль у розвитку поліорганної патології при тяжких інсультах відводиться порушенням вегетативної та ендокринної регуляції. Безпосереднє або опосередковане ушкодження надсегментарних вегетативних центрів спричиняє швидке виникнення трофогенної дизрегуляції та соматогенної деаферентації. Швидка активізація симпатоадреналової та гіпоталамо-гіпофізарно-наднирникової систем супроводжується посиленим викидом у кров’яне русло глюкокортикоїдів, мінералокортикоїдів та катехоламінів. Стресорна реакція за тяжких інсультів розвивається в умовах первинної дезадаптації та стає частиною патологічного процесу. Структурно-функціональні зміни під час інсульту запускають як місцеву, так і системну, а за порушень гематоенцефалічного бар’єра – запальну відповідь із розвитком цитокінемії. Центральні порушення регуляції клітинної та гуморальної ланок імунітету призводять до гіперактивації або депресії імунної відповіді [5]. Гостра дискоординація системних церебральних впливів, імовірно, пояснює високу частоту розвитку і швидкість формування ПОН при тяжких інсультах.
Майже у 40% пацієнтів із великими інфарктами мозку та масивними крововиливами у мозок багатокомпонентний ПОН формується в перші сім діб від початку інсульту. Переважна більшість пацієнтів мають найтяжчі форми інсульту, коли масивне ушкодження чи виразний набряк ГМ, гостра обструктивна гідроцефалія, прорив крові у шлуночкову систему, незважаючи на всі зусилля лікарів, спричиняють розвиток раннього первинного ПОН та подальшого летального наслідку. Залучення екстрацеребральних систем до патологічного процесу в цьому випадку відбувається практично одномоментно [6].
У 38% осіб на перебіг захворювання впливає гостра екстрацеребральна патологія. Серед можливих механізмів цього впливу, що призводить до поглиблення неврологічних розладів:
- прискорення загибелі нейронів у ділянці ішемічної напівтіні при інфаркті мозку;
- розвиток вторинних ушкоджень при інфарктах і крововиливах у ГМ внаслідок прогресувальних порушень гемодинаміки, гомеостазу та розвитку інтоксикації на тлі ПОН.
До патологічного процесу залучаються нові органи та системи, замикаються численні «порочні кола». Намагаючись їх розірвати, лікарі нерідко зазнають невдачі. З’являються тяжкі форми екстрацеребральної патології, що зумовлюють летальний наслідок у пацієнтів із тяжким інсультом, які пережили період неврологічних ускладнень [6].
У низці випадків (14%) має місце відстрочений розвиток екстрацеребральної патології, коли багатокомпонентний вторинний ПОН формується після закінчення гострого періоду інсульту. Цей варіант ПОН характерний для пацієнтів із множинними середніми і великими інфарктами мозку та невеликими крововиливами у мозок. Імовірно, у цьому випадку динаміку розвитку ПОН більшою мірою визначають механізми, спільні для критичних станів різного генезу. Тяжкість стану і летальний наслідок у таких хворих багато в чому визначає наявність ПОН [6].
Ранній початок і швидке формування багатокомпонентного ПОН при тяжких формах інсульту визначають необхідність проведення профілактичних та лікувальних заходів вже із перших годин захворювання. Основні зусилля мають бути спрямовані насамперед на профілактику тромбоемболії легеневої артерії (ТЕЛА) як основну екстрацеребральну причину смерті цієї категорії пацієнтів.
Серед основних компонентів ПОН найчастіше виділяють: церебральну, дихальну, судинну, ниркову, печінкову, коагуляторну, білково-енергетичну недостатності.
Гостра церебральна недостатність
Клінічні прояви гострої церебральної недостатності (ГЦН) різноманітні, головним з яких є пригнічення свідомості від поверхневого оглушення до коми або її якісна зміна, що включає психомоторне збудження та галюцинації. Критерієм пригнічення рівня неспання є зниження оцінки за шкалою коми Глазго (GCS) <15 балів. Також клінічними проявами ГЦН є судомний синдром, центральні порушення водно-електролітного балансу (центральний синдром втрати солі, синдром неадекватної секреції АДГ, синдром нецукрового діабету), центральна гіпертермія.
Багато дослідників у складі загальномозкової недостатності виділяють церебровісцеральні синдроми:
- церебропульмональний;
- цереброкардіальний;
- цереброренальний.
Відомо, що екстрацеребральні органічні та функціональні порушення, які виникають у пацієнтів з ішемічним інсультом, зумовлені як проявами тяжкого неврологічного дефіциту з іммобілізацією, дисфагією, когнітивними порушеннями, так і прямими церебровісцеральними взаємодіями [7].
Безпосереднім механізмом розвитку ішемічного інсульту є тромбоз церебральної артерії, найчастіше внаслідок церебрального атеросклерозу або наявності джерела кардіоемболії. Локальне зниження церебрального кровотоку з нормального рівня 50‑60 до <10 мл/100 г/хв призводить до аноксії та некрозу із формуванням зони ядра інфаркту. Перехідна зона із рівнем кровотоку 20‑30 мл/100 г/хв є зоною ішемічної напівтіні. Відомо, що церебральна гіпоксія спричиняє накопичення кальцію у клітинах, глутаматної ексайтотоксичності, набряку, активації апоптозу, зміни проникності гематоенцефалічного бар’єра, порушення авторегуляції церебрального кровотоку. Ці зміни в зоні ішемії ГМ спричиняють виникнення змішаного набряку, що включає цитотоксичний і вазогенний компоненти.
Набряк ГМ в умовах обмеженості простору черепа призводить до розвитку внутрішньочерепної гіпертензії та дислокації структур ГМ, які можуть зумовлювати появу ділянок вторинної ішемії, що є дуже несприятливим явищем. Внутрішньочерепну гіпертензію іноді посилюють ускладнення ішемічного інсульту, а саме оклюзійна гідроцефалія та геморагічна трансформація. У підсумку набряк, внутрішньочерепна гіпертензія та дислокація структур ГМ зумовлюють дифузне та локальне подразнення відділів ГМ (ділянок кори, базальних ядер, гіпоталамуса, симпатичних і парасимпатичних центрів, ретикулярної формації та органоконтролюючих центрів середнього/довгастого мозку, мозочка й інших відділів) з їх збудженням, яке потім змінюється випадінням функції, що зрештою проявляється описаними клінічними ознаками [8].
Гостра дихальна недостатність
Виникнення та прогресування патології органів дихання за тяжкого інсульту зумовлене низкою чинників, як-то:
- Центральні порушення регуляції дихання із формуванням синдромів альвеолярної гіпер- і гіповентиляції при безпосередньому або опосередкованому ураженні бульбо-понтинного респіраторного центру стовбура ГМ.
- Фарингеальний або фаринголарингеальний парез/параліч при ураженні каудальної групи ядер черепних нервів, що призводить до гіперсекреції слизу та порушення прохідності верхніх дихальних шляхів, а також дисфагії, зниження кашльового рефлексу й аспірації.
- Центральні гемодинамічні зміни легеневого кровотоку.
- Гіпостатичні процеси в легенях.
Також неминучими є ускладнення інтубації трахеї, трахеостомії та тривалого проведення апаратного дихання. За розвитку гострої патології органів дихання гіпоксія на тлі гострої дихальної недостатності (ГДН), а також інтоксикація під час пневмонії погіршують стан пацієнтів із тяжким інсультом. Розвиток тяжких форм пневмонії зумовлює летальний наслідок у 5% осіб, які пережили період неврологічних ускладнень.
У гострому періоді церебрального інсульту дихальну недостатність діагностують у 14‑39% пацієнтів [9, 10]. Її розвиток ускладнює стан хворого, збільшує тривалість госпіталізації та підвищує ймовірність розвитку соматичних ускладнень, включно із пневмонією та ПОН, а також летального наслідку [11, 12]. ГДН у гострому періоді церебрального інсульту сприяє розвитку когнітивних порушень у його віддаленому періоді та погіршує реабілітаційний прогноз [13]. На розвиток та виразність ГДН у гострому періоді церебрального інсульту впливають тяжкість ураження ГМ і порушення центральної регуляції дихання, а також супутні соматичні захворювання, тривале горизонтальне положення пацієнта, дисфункція дихальних м’язів та інші чинники ризику.
Найчастіше ГДН розвивається поступово протягом перших 5‑7 днів захворювання. Внаслідок частої незначної клінічної виразності у перші дні церебрального інсульту дихальні порушення можуть маскуватися загальним тяжким станом пацієнта та залишатися недіагностованими. Клінічно найчастіше виявляються порушення частоти та патерну дихання, епізоди гіпо-/апное, втомлення дихальних м’язів і гіповентиляція. У крові відзначається гіпоксемія, яка може посилюватися у нічний час, насамперед внаслідок епізодів апное [14]. Відсутність корекції дихальних порушень на цьому етапі може сприяти обтяженню ГДН, включно із розвитком гострого респіраторного дистрес-синдрому.
Клінічні ознаки ГДН [15]:
- задишка, ціаноз, зниження сатурації кисню (SpO2 <90%);
- лабораторні: артеріальна гіпоксемія (РaO2 <80 мм рт. ст.), гіперкапнія (РaCO2 >45 мм рт. ст.), розвиток респіраторного ацидозу (pH <7,35, дефіцит основ – менш ніж -2,5 ммоль/л).
Однією із першочергових причин розвитку ГДН у пацієнтів з ішемічним інсультом є аспірація внаслідок розвитку дисфагії з пригніченням ковтання та кашльового рефлексу. Дисфагія розвивається у 20‑50% хворих, а серед осіб із тяжкою формою поширеність дисфагії перевищує 80% [16]. Аспіраційний синдром, що діагностується методами відеофлюоро- або фіброларингоскопії, трапляється у більшості пацієнтів із дисфагією і також варіює залежно від ступеня тяжкості, причому 50% хворих схильні до «тихої аспірації». У поєднанні з іммобілізацією та обмеженням рухливості половини грудної клітки на тлі геміплегії виникають умови для розвитку виразного аспіраційного трахеобронхіту і пневмонії. Відомо, що аспіраційний синдром достовірно асоційований із розвитком внутрішньолікарняної пневмонії, несприятливими функціональними та життєвими наслідками.
Значну роль у розвитку ГДН відіграє обструктивне апное сну, яке відзначається у 30‑70% пацієнтів з ішемічним інсультом [17]. Під час апное іноді спостерігається зниження SpO2 <90%. Обструктивне апное може як передувати ішемічному інсульту та бути його незалежним чинником ризику, так і буває його клінічним проявом на тлі бульбарного або псевдобульбарного синдромів. Це порушення також достовірно асоційоване із погіршенням наслідку ішемічного інсульту. Особливо до обструктивного апное схильні пацієнти із пригніченням рівня неспання, зокрема поверхневим.
Центральні порушення дихального патерну розвиваються при ураженні як великих півкуль ГМ, так і відділів стовбура за рахунок, власне, інфаркту, набряку або дислокації [18]. Варіантами прояву є центральне апное уві сні (6‑25% пацієнтів з ішемічним інсультом), тахіпное, періодичне дихання, зокрема дихання Чейн – Стокса, брадипное аж до апное, що в жодному разі не забезпечує ефективної вентиляції та веде до розвитку ГДН.
Окрім того, ГДН може бути зумовлена декомпенсацією супутньої патології, зокрема набряком легень на тлі ХСН або гідротораксом, які можуть бути швидко усунені. Проте не виключено, що навіть нетривала декомпенсація із розвитком гіпоксії здатна погіршити результат у конкретного пацієнта [19]. Пневмоторакс та обтураційний ателектаз є нечастими ускладненнями, але також інколи мають місце у таких хворих.
Нейрогенний набряк легень також є одним з імовірних механізмів розвитку ГДН при ішемічному інсульті. Найчастіше його визначають як гострий стан, що розвивається у перші кілька діб церебрального ушкодження та має клінічний перебіг у вигляді набряку легень, який не супроводжується значним зниженням серцевого викиду. Низка авторів розглядають його як форму гострого респіраторного дистрес-синдрому із відповідними клінічними критеріями [20]. Не можна виключити, що всі описані варіанти є, по суті, одним патологічним процесом різного ступеня виразності. Відповідно, поширеність нейрогенного набряку легень оцінюється від спорадичних випадків до 10%. Ймовірним механізмом розвитку є гостра легенева гіпертензія на тлі підвищеної активації симпатичних центрів ГМ, гостра стресова кардіоміопатія (кардіоміопатія Такацубо), також є дані про роль легеневої іннервації у підвищеній проникності альвеол.
Комплекс описаних патологічних змін при ішемічному інсульті, що визначають розвиток респіраторних ускладнень, визначають як цереброреспіраторний синдром (cerebro-pulmonary crosstalk) [7].
Гіпоксемія артеріальної крові призводить до розвитку гіпоксії в тканинах, системного лактат-ацидозу та має вкрай негативний вплив на перебіг ішемічного інсульту. За рахунок зони ішемічної напівтіні й набряку в умовах гіпоксії відбувається збільшення об’єму вогнища інфаркту, також можливі рецидив та виникнення нових вогнищ ішемії. Гіперкапнія, що супроводжується розвитком респіраторного ацидозу, в умовах збереженої авторегуляції мозкового кровотоку є фактором вазодилатації та збільшення мозкової перфузії, що одночасно може зумовлювати посилення набряку [21].
Гіпокапнія, яка також часто спостерігається у пацієнтів з ішемічним інсультом на тлі тахіпное, сприяє вазоконстрикції та розглядається як механізм компенсації набряку ГМ і внутрішньочерепної гіпертензії, але одночасно може посилювати церебральну ішемію. Окрім негативного впливу на ГМ, гіпоксія при ГДН є ушкоджуючим чинником для міокарда, нирок, що може призводити до розвитку та наростання проявів серцево-судинної та ниркової недостатності. Зокрема, 15‑20% осіб з ішемічним інсультом потребують проведення ШВЛ. Такі пацієнти характеризуються високим ступенем тяжкості та частотою несприятливих наслідків.
Інфекційні респіраторні ускладнення у вигляді трахеобронхіту та пневмонії розвиваються на тлі вищезазначених порушень – аспіраційного синдрому, іммобілізації, вентиляційних порушень [22‑24]. Пневмонія у пацієнтів з ішемічним інсультом розвивається, за різними даними, у 20‑50% випадків, в осіб із тяжкою формою ця цифра зазвичай вища. Значну роль відіграють внутрішньолікарняні штами антибіотикорезистентних збудників, а також ятрогенні чинники, як-от інтубація, ШВЛ, санація трахеобронхіального дерева, які можуть зумовлювати розвиток внутрішньолікарняної пневмонії, зокрема ШВЛ-асоційованої [22]. Є дані про розвиток імуносупресії при ішемічному інсульті, яка розвивається на тлі симпатичної активації з дисфункцією Т-лімфоцитів, що також сприяє інфекційним ускладненням [24]. Пневмонія є достовірним чинником несприятливого прогнозу ішемічного інсульту [22].
Тромбоемболія легеневої артерії
Наслідком іммобілізації, окрім легеневого застою, є підвищення ризику венозних тромбоемболічних ускладнень – ТЕЛА та флеботромбозу нижніх кінцівок. ТЕЛА – найнебезпечніше ускладнення у пацієнтів із тяжким інсультом, що зумовлює летальний наслідок у кожного п’ятого хворого. На сьогодні ТЕЛА розглядається як провідна екстрацеребральна причина смерті за тяжкого інсульту. Висока частота її розвитку і значущий вплив на наслідок інсульту дають змогу виділити ТЕЛА як окрему форму екстрацеребральної патології при тяжкому інсульті. Серед безлічі чинників, що відіграють роль у виникненні ТЕЛА, провідне значення при інсульті мають: порушення свідомості до сопору або коми, розвиток глибокого рухового дефіциту та гіподинамії, похилий вік пацієнтів (від 60 років), збільшення в’язкості крові, хронічна венозна недостатність, наявність гнійних інфекцій, ожиріння, супутня серцево-судинна патологія [25].
Основними джерелами ТЕЛА є [26]:
- процес тромбоутворення в системі нижньої порожнистої вени;
- флебіти та флеботромбози внаслідок пункції або катетеризації вен.
Оцінювання істинної частоти розвитку венозних тромбоемболічних ускладнень і ТЕЛА є складним. Вони нерідко мають безсимптомний перебіг і становлять приблизно 8‑30%, а в пацієнтів із летальним наслідком патоморфологічно виявляються у 30‑50% випадків [27]. Випадки венозних тромбоемболічних ускладнень і ТЕЛА трапляються навіть на тлі проведення повноцінної профілактики, що включає антикоагулянтну терапію та реабілітаційні методи, хоча їх частота значно знижується.
Гостра серцево-судинна недостатність
Гостра серцево-судинна недостатність (ГССН) виникає у 2/3 пацієнтів. Тісний патогенетичний взаємозв’язок і взаємовплив патології серцево-судинної системи та порушень мозкового кровообігу очевидні. Переважна більшість осіб із ГПМК страждають на атеросклероз, артеріальну гіпертензію та мають хронічну серцево-судинну хворобу. На тлі атеросклеротичного стенозу коронарних артерій, характерного для пацієнтів з ішемічним інсультом, розвивається гострий інфаркт міокарда. Стійке підвищення АТ в осіб з артеріальною гіпертензією (понад 180/100 мм рт. ст.), що важко піддається медикаментозній корекції, нерідко сприяє розвитку таких неврологічних ускладнень у гострому періоді інсульту, як геморагічна трансформація вогнища інфаркту мозку та прорив крові у шлуночкову систему. ГССН та різні форми аритмій, що виникають на тлі хронічної патології серця, гострого інфаркту міокарда, а також гострих вогнищевих метаболічних змін міокарда й субендокардіальних крововиливів, призводять до церебральної та органної гіпоперфузії [28].
Гостра судинна недостатність (ГСН) клінічно проявляється артеріальною гіпотензією (САТ <90 мм рт.ст., серАТ <60 мм рт. ст.) та необхідністю застосування вазопресорів для її усунення. Часті причини ГСН у пацієнтів з ішемічним інсультом – гіповолемія, декомпенсація ХСН, стресова кардіоміопатія, гострий інфаркт міокарда, ТЕЛА [19, 29, 30]. Артеріальна гіпотензія і брадикардія є наслідком набряку та дислокації стовбура ГМ при ішемічному інсульті. Серед можливих механізмів також септичний та аритмогенний шоки, наднирникова недостатність.
Своєю чергою тривала артеріальна гіпотензія супроводжується розвитком системної гіпоперфузії та лактат-ацидозу, безпосередньо у ГМ – зниженням церебрального перфузійного тиску. Це однозначно посилює ішемію мозку та обтяжує перебіг і наслідки ішемічного інсульту. Окрім того, стійка артеріальна гіпотензія може призводити до гіпоперфузії та ішемії нирок із розвитком гострої ниркової недостатності.
Гостра ниркова недостатність
Гостра патологія нирок і сечовидільної системи трапляється майже в половини пацієнтів і включає гостру ниркову недостатність (ГНН), гострий пієлонефрит, цистити та крововиливи у слизову сечового міхура. У патогенезі ГНН за тяжкого інсульту провідну роль відіграють колапси, що спостерігаються при безпосередньому або опосередкованому впливі на судинно-руховий центр у стовбурі ГМ, розвиток гострих інфарктів нирок та попередня патологія нирок на тлі атеросклерозу й артеріальної гіпертензії. У низці випадків гостра патологія нирок – неминучий наслідок таких заходів інтенсивної терапії та нейрореанімації, як трансфузія гіперосмолярних розчинів, тривале введення антибактеріальних препаратів та вазоконстрикторів. Водно-електролітні порушення та азотемія призводять до виникнення гіперосмотичного стану при інсульті. Тяжкі форми ГНН із розвитком олігурії, уремії в 4% випадків визначають летальний наслідок пацієнтів з інсультом. Цистити та висхідна інфекція сечовивідних шляхів переважно зумовлені необхідністю тривалої катетеризації сечового міхура [28].
Критерії розвитку ГНН: наростання рівня креатиніну >26,5 мкмоль/л/добу чи у >1,5 рази від початкового, або олігурія <0,5 мл/кг/год при адекватному волемічному навантаженні [31].
Неспецифічними механізмами ГНН при ішемічному інсульті можуть бути:
- гіпоперфузія;
- гіпоксія;
- сепсис;
- інфекції сечовидільної системи;
- декомпенсація хронічної хвороби нирок.
ГСН будь-якої етіології призводить до ниркової гіпоперфузії та є чинником розвитку ГНН. Особливо до появи ГНН схильні пацієнти із початково зниженою швидкістю клубочкової фільтрації до хронічної хвороби нирок G3b і нижче. Потенційна роль відводиться нейрогенному впливу або цереброренальному синдрому [32]. Частота ГНН при ішемічному інсульті оцінюється у 5‑25%, виникає переважно після 7-ї доби як третій або четвертий компонент ГНН, на тлі вже розвиненої ГСН. Приєднання ГНН наближає летальність у цих пацієнтів до 100%. Транзиторна ГНН легкого ступеня відзначається також в осіб із середньотяжким ішемічним інсультом, а у тяжких і вкрай тяжких хворих наростають частота розвитку і ступінь виразності ГНН.
Розвиток ГНН легкого ступеня із помірним підвищенням у крові концентрації продуктів азотистого обміну чинить негативний вплив на формування інфаркту ГМ. Проте за умови належної корекції інтенсивної терапії ці прояви можуть бути нівельовані з відносно сприятливими наслідками. У разі тяжкої ГНН із виразною азотемією і гіперволемією різко прогресує набряк ГМ, та смерть настає в межах 1‑2 діб. Тому ранні виявлення і корекція ГНН мають принципове значення для прогнозу основного захворювання.
Гостра патологія шлунково-кишкового тракту та печінки
Гостра патологія шлунково-кишкового тракту (ШКТ) представлена гострими змінами слизової стравоходу, виразками й ерозіями слизової оболонки шлунка та дванадцятипалої кишки, шлунково-кишковою кровотечею, динамічною кишковою непрохідністю, ентероколітом та синдромом Меллорі – Вейса. Проведене езофагогастродуоденоскопічне дослідження в гострому періоді тяжкого інсульту виявляє гострі зміни слизової ШКТ у 60% випадків у разі інфаркту та крововиливу в мозок. У патогенезі їх виникнення розглядаються неспецифічна стрес-реакція організму на критичний стан та порушення кровопостачання слизової оболонки ШКТ. Не слід виключати також травматичний вплив на слизову шлунка під час тривалого стояння назогастрального зонда. Загострення хронічної виразкової хвороби спостерігається у вигляді некрозу прилеглих до виразки ділянок слизової оболонки шлунка і дванадцятипалої кишки та кровотечі з хронічних виразок ШКТ. У пацієнтів із геморагічним характером ГПМК у 3% випадків розвиваються гострі масивні шлунково-кишкові кровотечі, які призводять до летального наслідку [28].
Докази щодо розвитку печінкової недостатності при ішемічному інсульті суперечливі. Як свідчать деякі автори, гостра печінкова недостатність не характерна для ішемічного інсульту. Проте є експериментальні дані, відповідно до яких гіпоксія, оксидативний стрес, гіперкатехоламінемія та дисфункція парасимпатичної іннервації при ішемічному інсульті сприяють розвитку гепатопатії, в основі якої лежать запалення й апоптоз гепатоцитів [33]. Розвиваються гіперферментемія (АЛТ, АСТ, ГГТ), гіпербілірубінемія, активація кетогенезу. Клінічне значення цих проявів залишається недостатньо вивченим.
Коагуляторна недостатність
Сама лише коагуляторна недостатність зі схильністю до кровоточивості не характерна для ішемічного інсульту. Існує ймовірність розвитку шлунково-кишкової кровотечі у пацієнтів із попередніми чинниками ризику (як-то виразкова хвороба шлунка й дванадцятипалої кишки), наявністю стрес-виразок та на тлі проведення антикоагулянтної терапії. Гемостаз в осіб з ішемічним інсультом схильний до гіперкоагуляції, яка посилюється із розвитком сепсису. Проте гемопоетична недостатність, що розвивається на тлі сепсису, може призводити до тромбоцитопенії, а надмірна коагуляція із масивним тромбоутворенням – до ДВЗ-синдрому (дисемінованого внутрішньосудинного згортання крові) та дифузної кровоточивості. На додачу, цей стан включає гіпопластичну анемію, лейкопенію та вторинний імунодефіцит. Недостатність факторів згортання може бути проявом гострої печінкової недостатності.
Білково-енергетична недостатність
Білково-енергетична недостатність (БЕН) за тяжкого ішемічного інсульту розвивається практично у всіх пацієнтів і проявляється зниженням ваги й гіпопротеїнемічними набряками, лабораторно – гіпопротеїнемією та гіпоальбумінемією. Механізмом розвитку слугує гіперкатаболізм/гіперметаболізм критичних станів, який первинно є мобілізувальною захисною реакцією для забезпечення імунної відповіді на ушкоджувальний чинник. Також імовірним механізмом є потужна екскреція білка у складі бронхіального секрету при трахеобронхіті; не можна виключати й роль підвищеної проникності альвеол при нейрогенному набряку легень. За недостатності нутрітивної підтримки явища БЕН досягають максимальної виразності [34].
Наслідками розвитку БЕН є:
- Виснаження імунної відповіді.
- Розвиток та прогресування інфекційних ускладнень.
- Посилення міопатії критичних станів.
- Утруднене відлучення від ШВЛ.
- Значне зменшення реабілітаційного потенціалу.
Зниження онкотичного тиску плазми та розвиток гіпопротеїнемічних набряків призводить до перерозподілу водних секторів в організмі та зміщення водно-електролітного балансу.
Таким чином, за тяжких форм інсульту наявне різноманіття форм екстрацеребральної патології на рівні окремого органа або системи. Одні захворювання внутрішніх органів являють собою загострення хронічної патології, що мала місце до розвитку порушення мозкового кровообігу, інші ж – вперше з’являються на тлі інсульту, зокрема внаслідок застосування інтенсивних методів лікування. Погіршує клінічний стан пацієнтів поєднання гострої та хронічної екстрацеребральної патології з ПОН.
Наведене нижче клінічне спостереження ілюструє розвиток ПОН у пацієнта з ішемічним інсультом.
Клінічний випадок
Пацієнт віком 52 роки, поступив у нейрореанімаційне відділення Військово-медичного клінічного центру Західного регіону (м. Львів) із ГПМК за ішемічним типом у басейні правої середньої мозкової артерії.
Анамнез. З анамнезу відомо, що чоловік захворів гостро – вранці раптово розвинулася слабкість у лівих кінцівках, свідомості не втрачав, блювоти не було. Бригадою швидкої медичної допомоги доставлений у зазначений лікувальний заклад, госпіталізований в ургентному порядку. Близько 10 років хворів на артеріальну гіпертензію із підйомами артеріального тиску (АТ) до 160‑170/90‑100 мм рт. ст. Даних, що свідчать про хронічні захворювання, зі слів родичів та відповідно до медичної документації не виявлено.
Обстеження. При госпіталізації перебував у тяжкому стані. У неврологічному статусі: свідомість за шкалою коми Глазго – 12 балів, приглушений, ригідності потиличних м’язів не було. Парез погляду вліво. Птоз правої повіки, легкий енофтальм справа. Зіниці круглі, S=D – 3 мм. Реакція зіниць на світло жвава. Конвергенція з акомодацією різко ослаблені. Корнеальні та кон’юнктивальні рефлекси ліворуч відсутні. Центральний парез мускулатури обличчя ліворуч. Девіація язика вліво. Глотковий рефлекс високий, під час ковтання поперхувався. Лівобічна геміплегія. М’язовий тонус підвищений за спастичним типом. Сухожилкові рефлекси високі, S>D. Симптом Бабінського ліворуч. Лівобічна гемігіпестезія.
У соматичному статусі при госпіталізації: шкірні покриви та слизові звичайного забарвлення, чисті. Нормостенік, підшкірно-жировий шар розвинений помірно. Частота дихання – 20/хв, дихання вільне, ритмічне. При аускультації дихання жорстке, проводилося у всі відділи легень, хрипів не було. АТ – 150/90 мм рт. ст., частота серцевих скорочень (ЧСС) – 82 уд./хв, ритм правильний. Перкуторно ліва межа серця відхилена на 1 см латеральніше від лівої середньо-ключичної лінії. При аускультації серця вислуховувалися ослаблені тони, патологічні шуми відсутні, акцент ішемічного інсульту над аортою. Живіт м’який, неболючий при пальпації, межі печінки перкуторно на рівні краю реберної дуги. Сечовипускання контролював, дизуричних явищ не було.
Дані за аналізами крові: еритроцити – 5,2Ч1012/л, гемоглобин – 142 г/л, кольоровий показник – 0,8, лейкоцити – 11,7Ч109/л, ШОЕ – 8 мм/год, загальний білок – 76 г/л, білірубін – 10,5 мкмоль/л, цукор – 6,2 ммоль/л, креатинін – 117,3 мкмоль/л, сечовина – 4,6 ммоль/л, холестерин – 6,3 ммоль/л, натрій сироватки – 142 ммоль/л, калій – 3,9 ммоль/л. Коагулограма: індекс фібринолізу – 1,2, фібриноген – 2,4 г/л, протромбіновий час – 23 с, антитромбін III – 96%, ретракція кров’яного згустку – 52%, осмолярність – 286 мОсм/л.
Електрокардіограма при госпіталізації: ритм синусовий, правильний, ЧСС – 82 уд./хв, горизонтальне положення електричної вісі серця, ознаки гіпетрофії лівого шлуночка, помірні дифузні зміни міокарда.
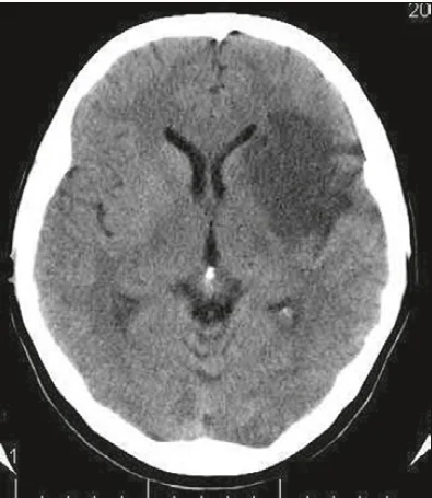
На рентгенограмі патологічних вогнищ не виявлено. При комп’ютерній томографії ГМ виявлене велике вогнище зниженої щільності у правій півкулі, відзначалася компресія правого бокового шлуночка (рисунок). Під час проведення правої каротидної ангіографії: закупорювання основного стовбура середньої мозкової артерії, контрастування кіркових гілок середньої мозкової артерії з заповненням із передньої та задньої мозкових артерій.
Рисунок. Комп’ютерна томографія ГМ пацієнта
Огляд нейроофтальмолога при госпіталізації: диски зорових нервів блідо-рожеві, межі чіткі, вени розширені, атонічні, артерії вузькі.
Лікування. Пацієнтові було проведено гемодилюцію, антикоагулянтну, дегідратаційну та нейропротекторну терапію, вводилися розчини глюкози та калію.
Незважаючи на лікування, стан чоловіка протягом 1-ї доби прогресувально погіршувався. На 2-гу добу інсульту рівень свідомості поглибився до сопору, гостро розвинулися задишка до 36/хв із залученням м’язів живота, гіпоксемія. У зв’язку із дихальними порушеннями пацієнт переведений на ШВЛ, проте важко «синхронізувався» з апаратом. У задньо-нижніх відділах легень з’явилися застійні хрипи.
В аналізах крові зазначені підвищення рівня креатиніну до 167 мкмоль/л, гіперглікемія до 11,5 ммоль/л. З’явилися ознаки гіперкоагуляції, позитивний етаноловий та протамін-сульфатний тести.
Клінічний висновок. Попри подальшу терапію, розвинулася кома, з’явилися анізокорія S<D, гіпотонія, гіпорефлексія. Через 10 год стан пацієнта був вкрай тяжкий, мали місце кома, арефлексія, атонія. На 5-ту добу було проведено роз’єднувальний тест та зареєстровано смерть мозку. Гемодинаміка підтримувалася на тлі введення вазопресорів: АТ на рівні 100/60 мм рт. ст., ЧСС – 70 уд./хв. Протягом наступної доби гемодинаміка стала нестабільною із тенденцією до гіпотензії. На 6-ту добу сталася зупинка серця, незважаючи на реанімаційні заходи, було констатовано біологічну смерть хворого.
У пацієнтів із тяжкими формами інсульту важливо визначити порядок залучення гострої екстрацеребральної патології до формування ПОН. Проте за гострої формі ПОН зробити це вкрай важко, що пов’язано із практично одномоментним розвитком багатокомпонентного ПОН у гострому періоді інсульту. Як було зазначено вище, здебільшого формування ПОН починається із гострої патології органів дихання. За гострого перебігу ПОН до неї у будь-якому порядку приєднується або ГССН, або ТЕЛА, або ГНН. Закінчується формування п’ятикомпонентного ПОН патологією ШКТ.
У переважної більшості пацієнтів у гострому періоді інсульту саме широке пошкодження ГМ і неврологічні ускладнення інсульту визначають тяжкість стану та є пусковим чинником розвитку ПОН. У хворих, які перенесли гострий період інсульту, значення первинного пошкодження зменшується, і протягом захворювання впливає гостра екстрацеребральна патологія.
Підсумки
ПОН у пацієнтів із тяжким ішемічним інсультом має багатокомпонентний характер із залученням до патологічного процесу не менш ніж трьох систем. Первинним компонентом є ГЦН, на тлі якої розвивається недостатність екстрацеребральних систем – насамперед ГДН, зумовлена як центральними вентиляційними порушеннями, так і бронхолегеневою патологією (як-то аспіраційний синдром, трахеобронхіт, пневмонія, ТЕЛА, нейрогенний набряк легень). Розвиток ГССН та ГНН також пояснюється поєднанням церебральних та екстрацеребральних механізмів. Виникнення гострої печінкової та коагуляторної недостатності менш характерне для ПОН, але є дані, які вказують на церебральні та екстрацеребральні механізми залучення цих систем. Значна роль у структурі ПОН належить БЕН. При цьому показано взаємозв’язок дисфункції кожної з систем одна з одною, що пояснює розвиток ПОН як єдиного патологічного процесу.
Прогнозування та рання діагностика ПОН можуть запобігти несприятливому клінічному розвитку за рахунок посилення інтенсивної терапії та більш раннього застосування окремих її складових. Сучасні можливості інтенсивної терапії та реабілітації дозволяють не допустити появу екстрацеребральних ускладнень і ПОН у пацієнтів із тяжким ішемічним інсультом, покращити життєвий та функціональний прогноз.
Основні зусилля лікарів мають були спрямовані на профілактику розвитку гострого інфаркту міокарда, ГССН, ТЕЛА та аспіраційної пневмонії як основних форм гострої екстрацеребральної патології, які впливають на динаміку ПОН, перебіг і наслідки інсульту. Рекомендовано проведення електрокардіографічного моніторингу, підтримання адекватного рівня АТ, застосування низькомолекулярних гепарнів та обов’язкове раннє зондове харчування.
Список літератури знаходиться в редакції
Тематичний номер «Неврологія. Психіатрія. Психотерапія» № 3 (74) 2025 р.
Стаднік С.М.