Головна Терапія та сімейна медицина Окремі питання профілактики та ефективності лікування післяопераційних рубців

5 листопада, 2025

Окремі питання профілактики та ефективності лікування післяопераційних рубців

Автори:
М. С. Волошинович, к.м.н., клініка спеціалізованої дерматології «Люкс Скін», кафедра дерматології та венерології, В. М. Волошинович, к.м.н., кафедра судової медицини, медичного та фармацевтичного права, Н. Р. Матковська, д.м.н., професор, кафедра терапії, сімейної та екстреної медицини ПО Івано-Франківського національного медичного університету; Т. Р. Бойчук, клініка спеціалізованої дерматології «Люкс Скін», м. Івано-Франківськ

ZU_17_2025_st31_foto.webpРубці є небажаним, але нормальним результатом загоєння ран. Гіпертрофічні рубці піднімаються над рівнем шкіри, проте відтворюють форму та розміри початкової рани, крім того, вони можуть спонтанно регресувати, тоді як келоїдні рубці поширюються далі меж первинного дефекту і залишаються об’ємними надалі. Формування рубця є типовим для ушкоджень, які проникають у сітчастий шар дерми.

Травми в підлітків і молодих людей зазвичай спричиняють гірше рубцювання порівняно із такими в людей літнього віку. Гіпертрофічні рубці та келоїди часто виникають на ділянках тіла, які зазнають розтягувань. Крім того, люди з пігментованою шкірою мають більшу ймовірність розвитку келоїдів порівняно з тими, хто має білу шкіру. Гіпертрофічні рубці й келоїди не лише фізично спотворюють та завдають психологічного дискомфорту, а й можуть зумовлювати значний біль і свербіж [1].

На сучасному етапі розвитку медичної допомоги існує багато різних варіантів лікування і профілактики рубців, які розподіляють на інвазивні та неінвазивні. До неінвазивних належать використання силіконових препаратів, компресійна та фізіотерапія, а до інвазивних – внутрішньовогнищеве введення кортикостероїдів, 5-фторурацилу, блеоміцину, верапамілу, використання кріотерапії, променевого і лазерного лікування. Ці методи можуть використовуватися окремо або як складова комбінованої терапії. За наявності рубця, що зростає, швидший початок лікування зазвичай сприяє кращому естетичному результату [2].

Профілактика появи гіпертрофічних та келоїдних рубців має розпочинатися ще в доопераційному періоді; вона полягає в адекватному плануванні меж і напряму видалення, що забезпечує зменшення натягу в зоні країв рани. Цього принципу необхідно дотримуватися і при закритті дефекту під час операції. У процесі загоєння переважне значення мають зменшення запалення й уникнення вторинного інфікування, а згодом – усунення подразнення та закриття рубця препаратами на основі силікону.

Наразі накопичено тривалий практичний досвід застосування засобів на основі силікону, наприклад Наскар Гель, що є золотим стандартом для профілактики та лікування гіпертрофічних рубців і келоїдів [3]. Ретельне тривале нанесення силіконового гелю Наскар Гель 2 р/добу в період до 3-6 міс після оперативного втручання сприяє досягненню мети щодо естетичного загоєння (рис. 1).

Рис. 1. Хвора 79 років. Ексцизія рецидивувальної пухлини в зоні лівої щоки: планування меж втручання (а); 7-й день напередодні зняття шовного матеріалу (б); через 1 міс застосування силіконового гелю Наскар Гель (в); через 3 міс застосування Наскар Гелю (г)Рис. 1. Хвора 79 років. Ексцизія рецидивувальної пухлини в зоні лівої щоки: планування меж втручання (а); 7-й день напередодні зняття шовного матеріалу (б); через 1 міс застосування силіконового гелю Наскар Гель (в); через 3 міс застосування Наскар Гелю (г)

Також зумовлює значний інтерес контроль ефективності лікування. Виконання серійних клінічних фото в стандартних умовах цілком може продемонструвати отриманий ефект; водночас зміни в тканинах часто відбуваються повільно, а за такого підходу може знадобитися тривалий час перед тим, як ми переконаємося в ефективності обраної методики.

Для ефективнішого та детальнішого огляду рубця використовується прижиттєва епілюмінісцентна мікроскопія – дермоскопія. Сучасні прилади мають 10-кратне оптичне збільшення, яке можна посилити за допомогою приєднаної камери, крім того, використовується пост­обробка зафіксованих фото [4].

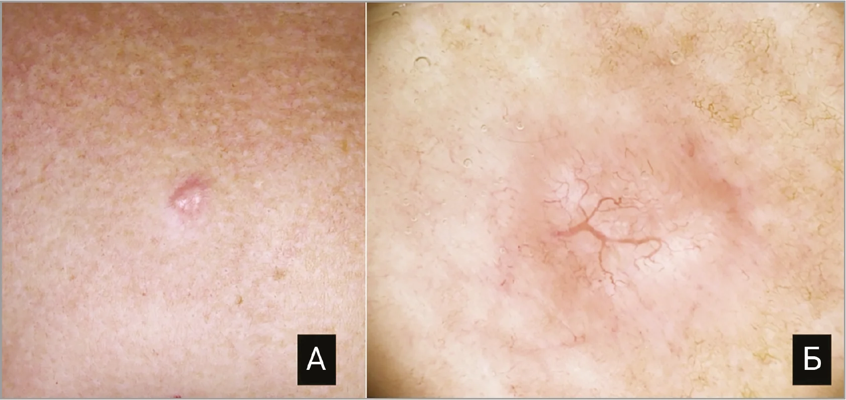
Щоразу більший рубець, імовірно, пов’язуватиметься з високою метаболічною потребою, отже, й посиленим кровопостачанням, що проявлятиметься візуальною еритемою та густою сіткою видимих при дермоскопії судин великого калібру і кровонаповнення (рис. 2).

Рис. 2. Хвора 57 років, зона грудної клітки:  клінічне фото (а); дермоскопія FF Medicam 1000s 20× Pol UTG (б)Рис. 2. Хвора 57 років, зона грудної клітки: клінічне фото (а); дермоскопія FF Medicam 1000s 20× Pol UTG (б)

Проте за наявності значної кількості дрібних судин спостерігатимемо дифузне рожеве забарвлення, яке складніше інтерпретувати чи зіставити. Навіть за легкої компресії судини знекровлюються та частково чи повністю зникають на отриманому зображенні.

Водночас сучасні дерматоскопи обладнані джерелами ультрафіолетового (УФ) світла, що успішно застосовуються для діагностики низки пухлинних і непухлинних дерматозів [5]. Зокрема, при базальноклітинній карциномі описано феномен dark silhouette («темний силует») – пухлина візуалізується як темна пляма, що контрастує з навколишніми тканинами [6].

Цікавим є спостереження, що подібне затемнення можна відзначити і при дослідженні активно васкуляризованих рубців: імовірно, УФ-світло в такому середовищі ефективніше поглинається завдяки підвищеній щільності судинних структур, порівняно зі зрілою рубцевою тканиною, яка має слабке кровопостачання. Таким чином, інтенсивність світіння в УФ-дермоскопії може бути обернено пропорційною до рівня васкуляризації і потенційно використовуватись як опосередкований критерій активності процесу та ефективності лікування.

Також можна припустити, що УФ-зображення є менш чутливим до артефактів, зумовлених притиском лінзи, порівняно зі звичайною дермоскопією (рис. 3).

Рис. 3. Хвора 33 років. Стан після хірургічного лікування утворення на грудях:  клінічне фото гіпертрофічного рубця через 3 міс після операції (а);  дермоскопія FF Dermlite DL5 10× Pol (б); дермоскопія в УФ-світлі FF Dermlite DL5 10× UVFD (в);  клінічне фото рубця в процесі лікування через 1 міс (ін’єкція ГКС і Наскар Гель 2 р/добу) (г); дермоскопія FF Dermlite DL5 10x Pol через 1 міс лікування (д);  дермоскопія в УФ-світлі FF Dermlite DL5 10× UVFD через 1 міс лікування (е)Рис. 3. Хвора 33 років. Стан після хірургічного лікування утворення на грудях: клінічне фото гіпертрофічного рубця через 3 міс після операції (а); дермоскопія FF Dermlite DL5 10× Pol (б); дермоскопія в УФ-світлі FF Dermlite DL5 10× UVFD (в); клінічне фото рубця в процесі лікування через 1 міс (ін’єкція ГКС і Наскар Гель 2 р/добу) (г); дермоскопія FF Dermlite DL5 10x Pol через 1 міс лікування (д); дермоскопія в УФ-світлі FF Dermlite DL5 10× UVFD через 1 міс лікування (е)

 

Отже, гіпертрофічні та келоїдні рубці залишаються актуальною проблемою сучасної медицини, оскільки можуть суттєво погіршувати якість життя пацієнтів. Попри численні дослідження, багато питань, зокрема щодо якісного моніторингу ефективності терапії, все ще залишаються відкритими. У цьому контексті дермоскопію та УФ-дермоскопію розглядають як перспективні інструменти для оцінки динаміки лікування, хоча для підтвердження їхньої інформативності необхідні подальші дослідження.

Серед доступних методів профілактики та лікування післяопераційних рубців особливе місце посідають силіконові гелі, які визнано золотим стандартом ведення гіпертрофічних і келоїдних рубців. Їхня ефективність підтверджена численними клінічними спостереженнями та ґрунтується на зменшенні трансепідермальної втрати вологи, нормалізації колагеноутворення і зниженні симптомів свербежу й дискомфорту. Важливо підкреслити, що ранній початок застосування силіконового гелю у фазі формування рубця (протягом перших тижнів або місяців після операції) значною мірою визначає успіх терапії.

Наскар Гель – сучасний засіб на основі силікону, який рекомендовано для стартової терапії рубців різної етіології. Регулярне нанесення гелю вже з раннього післяопераційного періоду дозволяє досягти кращого естетичного результату, знизити ризик гіпертрофічного росту тканин і поліпшити якість життя пацієнтів.

Список літератури знаходиться в редакції.

Медична газета «Здоров’я України 21 сторіччя» № 17 (603), 2025 р

Номер: Медична газета «Здоров’я України 21 сторіччя» № 17 (603), 2025 р
Досліджуйте цей контент за допомогою штучного інтелекту:
Матеріали по темі Більше
Розсіяний склероз (РС) – це хронічне автоімунне захворювання, що характеризується розладом із боку імунної системи та супроводжується ураженням мієлінової оболонки...
Сучасне визначення кардіоваскулярного прогнозу здається чітким і передбачуваним: у клінічній практиці орієнтуються на добре відомі параметри – рівень артеріального тиску,...
Ватні палички, які були винайдені в 1923 р. Лео Герстенцангом для очищення вух його немовляти, дотепер залишаються поширеним засобом. Їх...
У 2023 р. було опубліковано новий позиційний документ Європейської академії алергії та клінічної імунології (EAACI) щодо номенклатури алергічних захворювань (АЗ)....