9 листопада, 2025
Клінічні особливості фарингіту, спричиненого штамом Омікрон вірусу SARS-CoV‑2
Штам Омікрон швидко поширився в усьому світі. Порівняно з попередніми варіантами SARS-CoV‑2 Омікрон характеризується меншою швидкістю реплікації та патогенністю, але має вищу трансмісивність. Лихоманка, втома, біль у горлі та кашель є одними з найпоширеніших клінічних скарг пацієнтів на ранніх стадіях інфекції. Деякі хворі також відзначають біль, сухість та утруднене ковтання, які часто асоціюються з іншими інфекціями верхніх дихальних шляхів. Клінічні прояви фарингіту, спричиненого штамом Омікрон, зумовлюють занепокоєння серед лікарів.
Як новий штам із високою патогенністю та контагіозністю Омікрон також характеризується специфічними патогенетичними механізмами і патофізіологічними процесами ураження клітин. Під час проведення клінічного дослідження китайським вченими зібрано та проаналізовано основні прояви і патогенетичні механізми дії вірусу, які можуть бути корисними для проведення диференційної діагностики між станами, спричиненими штамом Омікрон й іншими захворюваннями.
Матеріали та методи
Під час проведення дослідження проаналізовано симптоми 15 пацієнтів, у яких установили діагноз інфекційного захворювання, спричиненого штамом Омікрон, шляхом отримання позитивних результатів на антиген SARS-CoV‑2 або РНК вірусу. До групи порівняння залучили 24 пацієнтів, котрі скаржилися на біль у горлі. 5 клінічних ознак, зафіксованих клініцистами під час аналізу, включали такі симптоми: гіперемія слизової оболонки ротоглотки, набряк слизової оболонки, виразки слизової оболонки ротоглотки, відсутність набряку мигдаликів і відсутність ексудату мигдаликів. Перші 2 ознаки були зафіксовані за допомогою візуальної аналогової шкали (ВАШ), останні 3 – записані як «так» або «ні». Отже, науковці отримали 2 набори даних для 5 клінічних ознак. Для зіставлення даних перші 2 ознаки оцінили за шкалою ВАШ, а останні 3 були записані як «так» або «ні» після об’єктивного огляду пацієнтів двома лікарями.
Результати
Загальна вибірка, охоплена під час дослідження, включала 15 пацієнтів із підтвердженим діагнозом інфікування штамом Омікрон (11 жінок, 4 чоловіків) і 24 пацієнти з болем у горлі (15 жінок, 9 чоловіків), середній вік яких становив 28 і 32 роки відповідно. З 5 основних проаналізованих ознак фарингіту гіперемія слизової оболонки глотки, набряк слизової оболонки та відсутність набряку піднебінних мигдаликів мали достовірну статистичну різницю (p<0,05) (табл. 1). Це були 3 основні клінічні характеристики, які відрізняли омікроновий фарингіт від інших фарингітів. Згодом ці ознаки були обрані для складання діагностичної групи, яка оцінювала 39 пацієнтів із гострим тонзилітом щодо того, чи був у них фарингіт, спричинений штамом Омікрон.
|
Таблиця 1. Результати оцінки ознак фарингіту, спричиненого штамом Омікрон, і в контрольній групі |
||
|
Симптом |
Група контролю (n=24) |
Група Омікрон (n=15) |
|
Гіперемія слизової оболонки |
6,04±1,37 |
7,80±2,19* (р=0,001) |
|
Набряк слизової оболонки |
1,00±2,08 |
3,40±3,85* (р=0,005) |
|
Виразка |
2/24 |
5/15 (р=0,048) |
|
Відсутність набряку мигдаликів |
8/24 |
15/15* (р=0,000) |
|
Відсутність ексудату мигдаликів |
19/24 |
15/15 (р=0,058) |
|
Примітки: оцінка за ВАШ (гіперемія та набряк слизової); дані підрахунку (виразка слизової оболонки, відсутність набряку мигдаликів і ексудату); * p<0,05. |
||
Статистичні результати показали, що значення виключення для гіперемії = 7,5, для набряку слизової оболонки = 1, тобто значення для 2 клінічних ознак, які перевищують зазначені показники, є найдостовірнішою комбінованою групою симптомів для діагностики фарингіту, спричиненого штамом Омікрон. З огляду на відсутність набряку мигдаликів ця комбінована діагностична група із 3 ознак є найоптимальнішою. Чутливість і специфічність панелі в діагностиці омікронового фарингіту становила 66,7 і 91,7% відповідно (табл. 2).
|
Таблиця 2. Порівняння результатів діагностики: |
||||
|
|
Золотий стандарт |
Загальна кількість пацієнтів |
||
|
позитивний результат |
негативний результат |
|||
|
3-знакова панель |
Позитивний результат |
10 |
2 |
12 |
|
Негативний результат |
5 |
22 |
27 |
|
|
Загальна кількість пацієнтів |
|
15 |
24 |
39 |
|
Примітки: чутливість 3-знакової комбінованої панелі становить 66,7% – істинний позитивний (істинний позитивний + хибнонегативний); специфічність – 91,7% – істинно негативний (істинно негативний + хибнопозитивний). Золотий стандарт: антиген вірусу SARS-CoV‑2 або полімеразна ланцюгова реакція РНК; комбінована панель за трьома ознаками: гіперемія >7,5, набряк >1 і відсутність набряку мигдаликів. |
||||
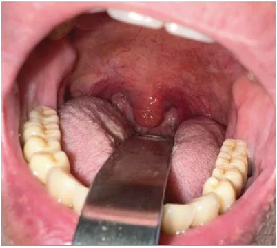
На рисунку 1 показано стан ротоглотки в декількох випадках інфікування штамом Омікрон. Знімки зроблено лікарями в умовах особистого прийому чи надано пацієнтами, які звернулися по допомогу через медичну онлайн-службу. Слизова оболонка глотки гіперемована та набрякла, мигдалики без набряку і без ексудату. Виразки слизової оболонки часто спостерігаються при омікроновому фарингіті.
На рисунку 2 продемонстровано набряк язичка, що є поширеним явищем за омікронового фарингіту. Язичок і піднебіння були набряклими, а кут з’єднання між язичком та м’яким піднебінням – тупішим (порівняно з нормою).
На рисунку 3 показано вигляд гортані за гострого омікронового фарингіту: виражена гіперемія (ліворуч) і псевдомембранозна ексудація внаслідок некрозу інфікованих епітеліальних клітин (праворуч).
Рис. 1. Стан ротоглотки в пацієнтів, інфікованих штамом Омікрон
Рис. 2. Стан ротоглотки та піднебіння при омікроновому фарингіті
Рис. 3. Вигляд гортані при гострому омікроновому фарингіті
Особливості перебігу омікронового фарингіту
Вірус SARS-CoV‑2 уражає епітелій дихальних шляхів через ангіотензинперетворювальний фермент-2 та трансмембранну протеазу серину 2 типу, перший з яких є білком, що зв’язує шип (S-білок), тоді як друга спричиняє злиття вірусної оболонки із клітинною мембраною. Мутація S‑білка вірусу варіанту Омікрон підвищує його трансмісивність, але порівняно з іншими варіантами SARS-CoV‑2 Омікрон не здатний інфікувати легені через цю мутацію. Саме тому клінічні скарги при омікроновій інфекції є незначними з боку нижніх дихальних шляхів, натомість можуть бути вираженішими з боку верхніх дихальних шляхів і проявлятися у вигляді болю в горлі, кашлю, закладеності носа, гнійних та кров’янистих виділень з носової порожнини, а також мокротиння. Незважаючи на те що фарингіт після інфікування Омікроном може бути схожим на симптоми інфекції верхніх дихальних шляхів, спричиненої іншими збудниками, клінічна картина омікронового фарингіту є вираженішою. Ротоглотка виглядає різко гіперемованою та набряклою. Больові відчуття також є інтенсивнішими, що зумовлено посиленим синтезом і вивільненням брадикініну під впливом вірусу. Брадикініновий шторм – причина гострого епіглотиту, який часто зустрічається на стадії інфікування омікроном.
Цікаво, що мигдалик як частина кільця Вальдеєра має бути набряклим у гострій фазі захворювання та збільшеним при хронічному перебігу, що спостерігається за інфікування α-гемолітичним стрептококом групи А. Натомість у дослідженні не виявлено ознак набряку й ексудації мигдаликів у жодному випадку омікронового фарингіту. Це пов’язувалося з тим, що вірус SARS-CoV‑2 спричиняв щоразу більшу вроджену імунну відповідь, характерну для гострої стадії захворювання. Встановити тип інфекції залежно від того, чи є набряк мигдаликів або ні, неможливо. У клінічній практиці набряк слизової оболонки глотки часто не супроводжується набряком мигдаликів. Набряк слизової свідчить про потужний вроджений імунітет, а набряк мигдаликів може пов’язуватися з адаптивною імунною реакцією. Ці дві клінічні ознаки зазвичай не можуть співіснувати одночасно. Варто зауважити, що гіпертрофія і набряк мигдаликів – не одне й те саме поняття. Гостра імунна реакція лімфоцитів зумовлює набряк тканини мигдаликів, не пов’язаний із розміром мигдаликів, тоді як хронічне та рецидивувальне запалення спричиняє гіпертрофію тканин.
Виразки слизової оболонки також є поширеною ознакою за інфікування Омікроном. Інфіковані епітеліальні клітини, що злущуються, можуть спричиняти виразкування слизової оболонки, а це схоже на герпетичний фарингіт. У проведеному дослідженні один випадок гострого фарингіту, спричинений герпесвірусом, можна сплутати з фарингітом, зумовленим Омікроном. Зазвичай інтенсивність болю, гіперемії та набряку слизової оболонки при омікроновому фарингіті є вищими; мигдалики не мають набрякати. Лихоманка спостерігається майже в усіх випадках інфікування Омікроном. Це важлива ознака для проведення диференційної діагностики.
Висновки
Фарингіт, спричинений вірусом штаму Омікрон, має специфічний перебіг. За використання панелі з комбінацією 3 ознак можна провести диференційну діагностику омікронового фарингіту, щоб відрізнити його від інших поширених інфекцій верхніх дихальних шляхів. Вважають, що гіперемія та набряк слизової ротоглотки, відсутність набряку й ексудату мигдаликів є характерними проявами омікронового фарингіту.
За матеріалами: Lei Zhou et al. The combined manifestations of dramatically sore throat, congested and edematous mucosa, no-swelling tonsil are specific in acute Omicron pharyngitis. BMC Infectious Diseases 2025. doi.org/10.1186/s12879-024-10364-6.
Підготувала Катерина Пашинська
Медична газета «Здоров’я України 21 сторіччя» № 18 (604), 2025 р

