9 листопада, 2025
UEG Week 2025: ключові тренди, інновації та провідні орієнтири
Берлін восени має особливу магію: м’яке світло, аромат кави на вузьких вулицях і шум трамваїв, що перегукується з багатомовним гомоном учених з усього світу. Саме тут, у серці Європи, з 4 по 7 жовтня відбувся UEG Week 2025 – наймасштабніший науковий форум у галузі гастроентерології. Конгрес-хол Messe Berlin, занурений у традиційні кольори Союзу європейських гастроентерологів (United European Gastroenterology, UEG) – спільноти, що об’єднує понад 30 тис. фахівців у сфері гастроентерології, зустрічав гостей теплом та динамічним рухом. Зелений – колір життя, відновлення й постійного руху вперед – став ідеальним фоном для девізу #weareUEG, який лунатиме ще довго після завершення конференції. Понад 12 тис. делегатів зі 115 країн світу, сотні лекцій, десятки симпозіумів, тисячі ідей і відкриттів – усе це створило особливу атмосферу піднесення, в якій Берлін перетворився не просто на місце зустрічі, а на простір наукового натхнення.
Вітальне слово президента UEG, професора Matthias Löhr: вражаючі цифри та факти про UEG Week 2025
Перша наукова сесія
Відкривати роботу конференції такого рівня – завжди велика честь і водночас відповідальність. Цьогоріч це почесне право випало професору Yorick van de Pavert (Нідерланди), який став першим спікером UEG Week 2025. Його доповідь відкрила наукову програму конгресу та була присвячена результатам голландського рандомізованого контрольованого дослідження (РКД) Enduro. Унікальність цього РКД полягає в тому, що завдяки йому вперше у рандомізованому форматі порівняли ефективність ендоскопічного та хірургічного лікування малігнізованої обструкції вихідного відділу шлунка. До цього більшість наявних доказів базувалася на ретроспективних даних, тому результати Enduro стали справжнім проривом у підходах до ведення таких пацієнтів. Класичним методом лікування таких хворих є хірургічна гастроеюностомія, котра дає змогу відновити можливість прийому твердої їжі, але супроводжується високим ризиком післяопераційних ускладнень, зокрема персистивного гастропарезу. Альтернативою цьому є ендоскопічна гастроентеростомія, виконана під контролем ультразвукової ендоскопії з імплантацією металевого стента (lumen apposing metal stent, LAMS), який створює пряме сполучення між відділами шлунково-кишкового тракту (ШКТ).
У РКД Enduro взяли участь 12 голландських центрів. Пацієнтів із неопластичною обструкцією дистального відділу шлунка (n=98) рандомізували для проведення ендоскопічної імплантації стента (n=48) або хірургічної гастроеюностомії (n=50). Основними кінцевими точками стали швидкість відновлення прийому твердої їжі та частота повторних втручань упродовж 6 міс. У групі ендоскопічного втручання можливість самостійного прийому твердої їжі відновлювалася вже через 1 день після процедури, тоді як у хірургічній групі – у середньому через 3 дні (p<0,05). Частота повторних втручань була зіставною: 10 vs 12% відповідно, що підтвердило не меншу ефективність ендоскопічного підходу. Цікаво, що початкова виживаність у пацієнтів після ендоскопічного втручання була дещо вищою, хоча різниця нівелювалася після 50 днів спостереження. Отримані результати дозволяють розглядати ендоскопічне встановлення LAMS як метод вибору в паліативному веденні пацієнтів із малігнізованою обструкцією шлунка.
Перша наукова лекція на UEG Week 2025:професор Yorick van de Pavert представляє результати РКД Enduro
Зміна правил гри: таргетна терапія метаболічно асоційованої стеатотичної хвороби печінки (МАСХП)
Після урочистого відкриття наукова програма набрала обертів. Делегати розійшлися по залах, де одночасно стартували десятки секцій, присвячених найрізноманітнішим аспектам гастроентерології – від фундаментальних досліджень до клінічних кейсів і нових технологій. Особливу увагу цьогоріч привернули сесії, присвячені МАСХП – темі, що залишається однією з найдинамічніших у сучасній гепатології. З огляду на оновлені міжнародні рекомендації та появу нових терапевтичних підходів інтерес до цієї патології був надзвичайно високим.
Знаковою подією UEG Week 2025 стала сесія «Нова ера в лікуванні метаболічно асоційованого стеатогепатиту (МАСГ): як таргетні терапії змінюють правила гри та як інтегрувати їх у клінічну практику», що продовжила обговорення проблеми МАСГ. У центрі уваги опинився препарат, який уже увійшов в історію як перший схвалений таргетний засіб для лікування цієї патології: ресметиром. Сесію модерували три провідні експерти у галузі гепатології – професори Frank Tacke (Німеччина), Naim Alkhouri (США) та Jörn Schattenberg (Німеччина). Вони представили сучасне бачення патогенезу МАСГ, узагальнили ключові клінічні дані останніх років та окреслили перспективи персоналізованої терапії.
Ресметиром – селективний агоніст β-рецепторів тиреоїдних гормонів, який діє переважно в печінці. Його механізм спрямований на активацію β-оксидації жирних кислот, покращення ліпідного обміну та зменшення запалення й фіброзу. На відміну від попередніх експериментальних підходів ресметиром безпосередньо впливає на ключову ланку патогенезу: метаболічну дисфункцію гепатоцитів. У масштабному РДК III фази MAESTRO-NASH через 52 тиж лікування ресметиромом спостерігали розрішення МАСГ у 25,9 та 29,9% пацієнтів, які отримували 80 або 100 мг/добу відповідно (порівняно з 9,7% у групі плацебо). Регрес фіброзу щонайменше на одну стадію спостерігався у 24,2 та 25,9% хворих, які приймали ресметиром у тих самих дозах. Крім того, препарат достовірно знижував рівень холестерину ліпопротеїнів низької щільності: на 13,6 і 16,3% відповідно (p<0,001), що, за словами професора Alkhouri, є важливим бонусом для пацієнтів із цукровим діабетом та ожирінням.
Після схвалення FDA (2024) та EMA (2025) ресметиром став першим офіційно рекомендованим препаратом для лікування МАСГ у пацієнтів із фіброзом F2-F3, підтвердженим за даними еластографії або біомаркерів (наприклад, ELF-тесту).
Окрему увагу доповідачі приділили перспективам комбінованої терапії ресметиромом і агоністами глюкагоноподібного пептиду‑1 (зокрема, семаглутидом). Такий підхід дозволяє впливати на різні ланки метаболічного каскаду: семаглутид контролює масу тіла, апетит і глікемію, тоді як ресметиром модулює ліпідний обмін у печінці. Експерти наголосили, що така комбінація може забезпечити синергічний ефект: зменшити жирову інфільтрацію, запалення та фіброз, що є оптимальним для пацієнтів із поєднанням МАСГ, ожиріння і діабету.
Цей багатофакторний підхід відкриває шлях до нової парадигми персоналізованої терапії МАСГ, у якій лікування підбирається відповідно до фенотипу пацієнта та стадії фіброзу. Як підсумували модератори сесії, саме такі підходи сьогодні «змінюють правила гри» в гепатології, перетворюючи МАСГ із невиліковного діагнозу на контрольоване хронічне захворювання.
Професор Frank Tacke (Німеччина) коментує оновлені рекомендації EASL-EASD-EASO та наголошує на ключовій ролі ресметирому в лікуванні МАСХП
Попри значну кількість доповідей, присвячених діагностиці, патогенезу та терапії МАСХП, на цьогорічному UEG Week 2025 окреме місце посіла сесія, що торкалася зовсім іншого аспекту цієї проблеми: термінології. Під час дискусійної панелі «Логіка та парадокси нової номенклатури» експерти з різних країн намагалися з’ясувати, чи справді нова назва допомагає точніше відобразити суть захворювання, чи це лише семантична модернізація, яка породжує більше запитань, ніж надає відповідей.
Центральною подією сесії стала доповідь професора Maria Effenberger (Німеччина), яка наголосила, що зміна терміна «неалкогольна жирова хвороба печінки» (НАЖХП) на МАСХП – це не просто оновлення абревіатури, а спроба переосмислити основи цієї патології та впровадити нове клінічне мислення. Оновлена дефініція фокусується на метаболічній дисфункції як головному рушієві патологічного процесу, а не на виключенні алкоголю, як це було раніше. Водночас, як зауважила доповідачка, за очевидною логікою цієї модернізації криються й потенційні ризики. «МАСХП справді краще відображає системний характер хвороби», – зазначила професор M. Effenberger. «Але ми водночас ризикуємо втратити діагностичну точність та посилити плутанину у випадках комбінованих форм». Вона підкреслила, що в клінічних дослідженнях між НАЖХП і МАСХП спостерігається мінімальна різниця: демографічні характеристики пацієнтів, клінічні прояви та результати неінвазивних тестів переважно збігаються. Це ставить під сумнів практичну користь нової номенклатури, якщо її не супроводжують оновлені алгоритми стратифікації ризику та ведення пацієнтів.
Водночас головна мета впровадження терміна МАСХП полягає у наголошенні на тому, що ураження печінки є лише одним із проявів системного метаболічного синдрому. Отже, 5 кардіометаболічних критеріїв (ожиріння, цукровий діабет або переддіабет, артеріальна гіпертензія, гіпертригліцеридемія та зниження рівня ліпопротеїнів високої щільності) стали обов’язковими складовими діагнозу. Це дозволяє точніше ідентифікувати пацієнтів із високим ризиком прогресування хвороби, але водночас може виключити тих, у кого спостерігається «чистий» гепатологічний фенотип без виражених метаболічних порушень.
Отже, нова номенклатура МАСХП – це водночас крок уперед і новий виклик для клініцистів. Вона потребує міждисциплінарного підходу та співпраці гепатологів, ендокринологів, кардіологів і нутриціологів, адже МАСХП не лише є хворобою печінки, а й віддзеркалює загальний метаболічний дисбаланс в організмі.
JAK-революція у лікуванні запальних захворювань кишечнику (ЗЗК)
Інший напрям, який традиційно привертає особливу увагу делегатів UEG Week, – це ЗЗК. У 2025 р. інтерес до цієї теми був як ніколи високим: нові таргетні молекули, комбіновані терапевтичні стратегії та персоналізований підхід відкривають абсолютно новий етап у лікуванні хвороби Крона та виразкового коліту.
Науково-клінічний прогрес у цій галузі було представлено під час сесії «Що нового в сучасній терапії ЗЗК у 2025 році?», яка об’єднала три змістовні доповіді, присвячені новим напрямам таргетного лікування, інноваційним молекулам і шляхам оптимізації терапії.
Одну з найочікуваніших лекцій – «Фокус на JAK-інгібіторах» – представив професор Sebastian Zeissig (Швейцарія). Незважаючи на лаконічну назву, виступ виявився надзвичайно змістовним. Доповідач окреслив сучасне місце цього класу препаратів у лікуванні ЗЗК і нові горизонти їхнього клінічного застосування. JAK-інгібітори відрізняються від класичних біологічних засобів: вони не блокують окремих цитокінів, а впливають на внутрішньоклітинні сигнальні шляхи, які регулюють одразу декілька запальних каскадів. Такий механізм дії забезпечує ширший контроль запалення та має значний потенціал для індивідуалізації терапії.
Нині для лікування ЗЗК схвалено 3 представники із класу JAK-інгібіторів: тофацитиніб, філготиніб і упадацитиніб. Перші 2 застосовують при виразковому коліті, а упадацитиніб – також при хворобі Крона. Незважаючи на відсутність прямих порівняльних досліджень, результати метааналізів і клінічних досліджень, проведених у реальній клінічній практиці, свідчать, що упадацитиніб має найвищу ефективність, особливо в пацієнтів, які раніше не отримували біологічної терапії. Водночас препарат частіше може сприяти появі акне та реактивації VZV – переважно на індукційних дозах. Важливо, що серйозних серцево-судинних або онкологічних ризиків у хворих на ЗЗК не зафіксовано.
Нові дослідження вивчають можливість використання JAK-інгібіторів як альтернативи стероїдам в індукції ремісії у складі комбінаційної терапії (наприклад, із ведолізумабом) та як «терапію порятунку» при стероїдорезистентному коліті.
Отже, професор S. Zeissig наголосив, що JAK-інгібітори поєднують швидкий початок дії, високу ефективність та значний потенціал для персоналізації терапії, тому залишаються одним із найперспективніших класів лікарських засобів у сучасній терапії ЗЗК.
Професор Sebastian Zeissig (Швейцарія) підкреслює ефективність упадацитинібу в лікуванні ЗЗК
Ускладнення хронічних захворювань печінки: нові тренди
Ще один напрям, який спричинив значний інтерес серед делегатів UEG Week 2025, стосувався нових підходів до профілактики та лікування ускладнень хронічних захворювань печінки. Ця тема стала центральною у сесії «Що нового в ускладненнях хронічних захворювань печінки у 2025 році?», де обговорювалися останні досягнення у веденні пацієнтів із портальною гіпертензією, енцефалопатією та метаболічними порушеннями.
На особливу увагу заслуговувала лекція «Етіологічні особливості тромбозу портальної вени (ТПВ) та диференційоване лікування», яку представила професор Verena Keitel-Anselmino (Німеччина). Лекторка розглянула одну з найскладніших проблем сучасної гепатології: ТПВ, який залишається частим і водночас недооціненим ускладненням як у пацієнтів із цирозом печінки, так і без нього. У своїй презентації професор V. Keitel-Anselmino окреслила дві головні осі класифікації ТПВ: за перебігом (гострий – <6 міс / хронічний – >6 міс або з ознаками кавернозної трансформації) та за наявністю/відсутністю цирозу.
У пацієнтів без цирозу печінки більшість випадків ТПВ асоційовані з протромботичними станами (вродженими чи набутими) або локальними чинниками: гострим панкреатитом, абдомінальними інфекціями, хірургічними втручаннями. Для них типовою є повна обструкція портальної вени. Натомість у пацієнтів із цирозом печінки ТПВ зазвичай частковий і формується на тлі вираженої портальної гіпертензії. Основними предикторами цього ускладнення є зниження швидкості кровотоку в портальній вені, збільшення об’єму селезінки, низький рівень тромбоцитів та наявність варикозних кровотеч в анамнезі. Додатковим незалежним фактором ризику розвитку ТПВ визнана гепатоцелюлярна карцинома (ГЦК), яка підвищує ймовірність виникнення ТПВ протягом року до 25%.
За словами спікерки, у ≈⅔ пацієнтів ТПВ може регресувати спонтанно, однак гостра обструкція або симптоматична прогресія є чітким показанням до лікування. Особливу увагу слід приділяти кандидатам на трансплантацію печінки, оскільки ТПВ може суттєво ускладнити як саме оперативне втручання, так і післяопераційний прогноз. Основою лікування є антикоагулянтна терапія з використанням низькомолекулярних гепаринів або прямих пероральних антикоагулянтів. Мінімальна тривалість антикоагулянтної терапії становить 6 міс, а для пацієнтів, які очікують трансплантацію, вона подовжується до проведення оперативного втручання. Якщо спостерігається прогресування тромбозу чи є протипоказання до призначення антикоагулянтів, застосовують інтервенційні методи, зокрема транс’югулярне внутрішньопечінкове портосистемне шунтування (TIPS).
Професор V. Keitel-Anselmino наголосила, що TIPS залишається ефективним способом лікування ТПВ навіть при кавернозній трансформації портальної вени, адже у таких випадках можливий доступ через селезінкову вену. Посилаючись на дані проспективних досліджень, доповідачка підкреслила, що антикоагулянтна терапія достовірно знижує загальну летальність без істотного підвищення ризику кровотечі. Водночас у пацієнтів із цирозом печінки ключовим предиктором ТПВ визнана тяжкість портальної гіпертензії, а не класичні коагуляційні фактори. Спікерка підкреслила необхідність регулярного скринінгу ТПВ під час рутинного ультразвукового контролю (разом із перевіркою на ГЦК) та тісної координації з хірургами при плануванні TIPS у кандидатів на трансплантацію печінки.
Кому справді потрібна терапія при ТПВ? Професор Verena Keitel-Anselmino пояснює ключові клінічні сценарії
Пухлини ШКТ у фокусі UEG Week 2025
Сесії, присвячені неопластичним ураженням ШКТ, традиційно збирають повні зали. Цьогоріч однією з найобговорюваніших стала доповідь «Скринінг раку шлунка: чи здійснимо це?». Професор Mario Dinis-Ribeiro (Португалія) розпочав із важливої тенденції: незважаючи на те що віково-стандартизована захворюваність на рак шлунка поступово зменшується, загальна кількість випадків зростатиме через старіння населення, що означає постійне навантаження на системи охорони здоров’я. Аргументи на користь популяційного скринінгу звучали переконливо. Природний перебіг захворювання добре вивчений: від інфікування Helicobacter pylori до розвитку атрофічного гастриту, кишкової метаплазії, дисплазії та інвазивної карциноми минає декілька років. Це створює т. зв. вікно можливостей – час, коли втручання може запобігти розвитку злоякісного процесу.
Масове виявлення та ерадикація H. pylori розглядаються як первинна профілактика, здатна істотно знизити захворюваність і смертність. У Європі триває низка пілотних програм – TOGAS, EUROHELICAN, GISTAR, що вивчають ефективність різних стратегій популяційного скринінгу. У Словенії пілотний проєкт показав залученість ≈40% населення та високі показники успішної ерадикації після лікування. У Португалії модель «серологічний скринінг → підтвердження → ерадикація» виявилася економічно доцільною у регіонах із середнім і високим ризиком раку шлунка. Перспективним напрямом є інтеграція шлункового скринінгу зі скринінговими програмами колоректального раку (КРР). Досвід Тайваню свідчить, що поєднання тестування на H. pylori з аналізом калу або одночасна верхня ендоскопія у пацієнтів із позитивними результатами тесту на H. pylori дозволяє раціональніше використовувати ресурси та збільшити охоплення населення.
Доповідач підкреслив, що скринінг раку шлунка та ерадикація H. pylori є технічно здійсненними й економічно виправданими у європейських умовах. Найефективнішим підходом є поєднання скринінгу раку шлунка зі скринінгом КРР. Для широкого впровадження необхідна адаптація до національних особливостей: рівня інфікованості, доступності ендоскопії та готовності системи охорони здоров’я. Популяційний скринінг раку шлунка в Європі – це реалістична мета, досягнення якої потребує скоординованих пілотних програм, ефективного управління ресурсами та міждержавної співпраці. Саме такий підхід може стати запорукою зменшення онкологічного тягаря найближчими десятиліттями.
Професор Mario Dinis-Ribeiro (Португалія) наголошує на доцільності популяційного скринінгу раку шлунка в Європі
Серед лекцій сесії «Переломні моменти в патології нижніх відділів ШКТ за останнє десятиліття: новоутворення» особливо вирізнилася доповідь «Для медичного онколога» професора Francesco Sclafani (Бельгія). Вона була присвячена тим інноваціям, які справді змінили підхід до лікування КРР. Професор F. Sclafani розпочав із простого, але влучного запитання: що таке переломний момент у медицині? Це подія, ідея або технологія, що докорінно змінює спосіб мислення та клінічну практику. Хоча за останнє десятиліття рівень смертності через КРР майже не знизився, у цій галузі відбулися два справжні переломні моменти – впровадження рідинної біопсії та імунотерапії.
Рідинна біопсія – аналіз невеликої кількості плазми крові для виявлення циркулюючої пухлинної ДНК (ctDNA), тобто фрагментів ДНК, які вивільняються пухлинними клітинами у кровоток. Усього декілька мілілітрів крові можуть надати цінну інформацію про мутації, генні перебудови чи епігенетичні зміни пухлини. За словами професора F. Sclafani, найперспективнішим напрямом застосування цього методу є його використання при ухваленні рішень у післяопераційному (ад’ювантному) лікуванні пацієнтів із ранніми стадіями КРР.
Дослідження довели, що виявлення ctDNA після операції має потужне прогностичне значення: пацієнти з позитивним тестом мають високий ризик рецидиву, тоді як у тих, у кого ctDNA не виявлена, часто можна безпечно уникнути хіміотерапії. Ці висновки отримані в РКД DYNAMIC, у якому доведено, що ctDNA-керована стратегія ведення хворих зменшує надмірне лікування без втрати ефективності. Нині тривають десятки клінічних випробувань, у яких досліджується можливість використання ctDNA як маркера мінімальної залишкової хвороби та інструмента персоналізації терапії. Хоча тест ще не став рутинним, він стрімко наближається до цього статусу (на жаль, його орієнтовна вартість становить ≈2000 євро; і поки що без відшкодування за страховими виплатами).
Другим переломним моментом, на думку професора F. Sclafani, стала імунотерапія: цю революцію зробили інгібітори контрольних точок PD‑1/CTLA‑4. Вони стали справжнім проривом у лікуванні онкологічних пацієнтів із мікросателітною нестабільністю (MSI-H) або дефіцитом репарації ДНК (dMMR). Застосування інгібіторів контрольних точок саме у цих хворих асоціюється з безпрецедентною тривалістю відповіді та виживаністю. Подальший розвиток цієї стратегії – комбінації ад’ювантної та неоад’ювантної імунотерапії – дозволяє досягти майже 100% відповіді без необхідності хірургічного втручання. Зараз тривають великі РКД, у яких, імовірно, буде визначений новий стандарт лікування КРР.
Наостанок професор F. Sclafani наголосив: «Аналіз ctDNA та імунотерапія – це справжні переломні моменти в лікуванні КРР. Вони відкривають нову еру персоналізованої онкології, у якій надмірна терапія поступається місцем точності та доказам».
Перший переломний момент у лікуванні КРР: професор Francesco Sclafani (Бельгія) розкриває переваги застосування ctDNA
Трансплантація фекальної мікробіоти (ТФМ) без табу: Європа формує нові правила
Серед найцікавіших подій сесії «ТФМ: що нового?» особливо вирізнялася доповідь «Регуляція мікробіоти: тканина, ліки або… що?» професора Josbert Keller (Нідерланди). Вона була присвячена огляду сучасного стану, проблем і перспектив ТФМ – напрямку, що демонструє великий потенціал у лікуванні дисбіозу та складних клінічних випадків.
Професор J. Keller зосередив увагу на ключових питаннях безпеки, регулюванні та стандартизації ТФМ у Європі й США, а також на практичних аспектах її застосування. ТФМ довела високу ефективність у відновленні мікробіоти при інфекції Clostridium difficile, особливо в пацієнтів із повторними рецидивами, а також у хворих із першим епізодом інфекції C. difficile, де її ефективність значно перевершує таку антибіотикотерапії. Якщо раніше ТФМ була суто експериментальним методом, сьогодні її внесено у клінічні рекомендації, проте її впровадження у практичну діяльність все ще супроводжується низкою викликів.
Серед головних перешкод доповідач виокремив нестачу донорського матеріалу, складність організаційної логістики та відсутність чітких регуляторних норм. У минулому процедура ТФМ була фактично нерегульованою з юридичного погляду, а питання фінансування залишалося відкритим. У Європі вдалося частково подолати ці труднощі завдяки створенню централізованих банків фекальних мас, впровадженню суворих протоколів скринінгу донорів та веденню реєстрів клінічної активності. Сьогодні у європейських центрах виконано вже >2000 процедур ТФМ із дотриманням високих стандартів безпеки та якості.
Регуляторна складова залишається ключовим питанням. У США після появи комерційних продуктів доступ до традиційних банків фекальних мас став обмеженим; пацієнти з тяжкими формами інфекції C. difficile фактично втратили можливість отримати ТФМ-препарати. У Європі підхід виявився гнучкішим: ще у 2012 р. законодавчі постанови щодо ТФМ вирішили не класифікувати як акти, котрі регулюють використання препаратів крові, тканин і клітин, а ухвалений у 2024 р. регламент ЄС установлює мінімальні стандарти для процедур із мікробіотою, водночас дозволяючи країнам запроваджувати суворіші норми. Документ передбачає ведення реєстрів, протоколів біонагляду та обов’язкову участь лікаря у скринінгу донорів.
Особливу увагу в доповіді приділено класифікації продуктів для ТФМ. Донорський матеріал розглядається як тканинний продукт людини, однак додаткова обробка з метою стандартизації матеріалу може перевести його у категорію лікарського засобу, який підлягає фармаконагляду. Появу остаточних визначень для мінімально оброблених і стандартизованих продуктів очікують протягом найближчих 1-2 років.
Професор Josbert Keller (Нідерланди): «День офіційного схвалення ТФМ європейським регулятором – знакова дата для ЄС»
Професор J. Keller наголосив на важливості створення реєстрів та довгострокового збору даних для підтвердження безпеки ТФМ. Наразі не існує доказів передачі хронічних захворювань при трансплантації мікробіоти, однак стандартизація процедур, контроль здоров’я донорів і прозора звітність залишаються критично важливими. Отже, ТФМ у Європі поступово стає безпечнішою, регламентованішою та прозорішою процедурою, відкриваючи нові можливості для пацієнтів і клінічних центрів, хоча впровадження нового регламенту потребує додаткових ресурсів і часу.
Штучний інтелект (ШІ) у панкреатології
У межах сесії «Актуальні теми європейської гастроентерології» професор Adrian Saftoiu (Румунія) представив доповідь «ШІ у візуалізації підшлункової залози (ПЗ)», присвячену впровадженню ШІ-технологій у щоденну діяльність панкреатологів. Він зазначив, що сьогодні комп’ютерна томографія, магнітно-резонансна томографія та ендоскопічне ультразвукове дослідження (EUS) залишаються ключовими методами обстеження ПЗ, однак інтерпретація таких зображень стає дедалі складнішою навіть для досвідчених фахівців. Саме тому роль ШІ стрімко зростає: він допомагає оптимізувати скринінг, підвищити точність діагностики й прогнозування перебігу захворювань.
Професор А. Saftoiu навів приклади клінічного застосування ШI. Зокрема, у Массачусетському технологічному інституті розроблено прогностичну модель ризику розвитку раку ПЗ, яка завдяки аналізу клінічних, біохімічних і візуалізаційних даних дозволяє виявляти у 3,5 раза більше випадків пухлин ПЗ, ніж чинні скринінгові рекомендації. Ці результати демонструють значний потенціал ШІ у розширенні цільової популяції для скринінгу. В іншому дослідженні, опублікованому в Nature Medicine, було продемонстровано, що навіть безконтрастна КТ не поступається результативності контрастної за умов застосування ШІ. Останній дозволяє виявляти дрібні ураження й диференціювати аденокарциному ПЗ від автоімунного панкреатиту та інших типів пухлин.
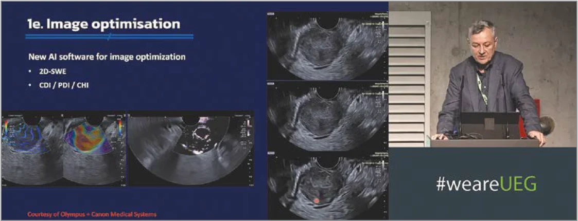
Особливу увагу доповідач приділив застосуванню ШI в EUS. Ця технологія, яка потребує довгого та ретельного навчання, заснована на точному розпізнаванні анатомічних структур і судин. Системи із вбудованими алгоритмами ШІ допомагають молодим лікарям краще орієнтуватися під час проведення дослідження, автоматично розпізнаючи й пізнаючи ПЗ, судини, кісти та пухлини. У спільному дослідженні з клінікою Orlando Health, що включало 308 пацієнтів, ШI-система в реальному часі продемонструвала точність, не нижчу за рівень експертів-ендоскопістів, при виявленні пухлин ПЗ. Сучасні платформи (зокрема, Olympus і Canon) уже інтегрують схожі алгоритми, які покращують якість зображення та структурують дані під час дослідження.
За словами професора А. Saftoiu, потенціал ШІ виходить далеко за межі діагностики. Уже сьогодні системи ШІ здатні автоматично виявляти камені, змінені протоки, судини та інші патологічні структури, а також допомагати в диференціації аденокарциноми, нейроендокринних пухлин і хронічного панкреатиту. Активно розвиваються інші напрями застосування ШI в діагностичному пошуку: моделі з високою точністю ідентифікують у гістологічних зображеннях зони аденокарциноми ПЗ. ШІ має високий потенціал для використання в реальному часі разом із конфокальною мікроскопією. Водночас поєднання моделей комп’ютерного зору з великими мовними моделями, як-от ChatGPT, відкриває перспективу створення автоматичних систем опису зображень і формування звітів, що значно спростить роботу лікаря.
Доповідач також звернув увагу на те, що ШІ поступово входить і в галузь роботизованої хірургії: сучасні моделі вже здатні самостійно накладати шви або виконувати холецистектомію на експериментальних тваринних моделях. На думку експерта, розвиток таких технологій окреслює нову еру, в якій ШI стає не лише допоміжним інструментом, а й активним учасником клінічного процесу. Отже, за словами професора А. Saftoiu, ШІ посідає значне місце в панкреатології, переходячи від експериментального рішення до клінічно валідованої технології, здатної підтримувати лікаря на всіх етапах – від скринінгу та діагностики до лікування й хірургії. Найближчими роками очікується інтеграція ШІ-систем у рутинну практику, що зробить діагностику точнішою, швидшою й персоналізованішою.
Професор Adrian Saftoiu (Румунія) розкриває сучасні можливості застосування ШІ в панкреатології: один із напрямів – оптимізація якості зображень
Берлін зачинив двері залів, але не закрив дискусій. UEG Week 2025 залишив після себе не лише цифри та слайди, а й відчуття, що наука реально змінює клінічну практику, вносячи корективи в діагностичні, терапевтичні та прогностичні напрями. Зелений колір конгресу став не декором, а метафорою росту, відновлення і сміливих стартів. І коли припинив лунати шум дискусій, залишився головний імператив конгресу: #weareUEG, необхідно діяти! Наступна зупинка – UEG Week 2026 у Барселоні.
Медична газета «Здоров’я України 21 сторіччя» № 18 (604), 2025 р




